Suppr超能文献

一名乙型肝炎病毒阳性的局部晚期直肠腺癌患者的新辅助化疗与免疫治疗联合应用:病例报告及文献综述

Combined neoadjuvant chemotherapy and immunotherapy in a hepatitis B virus-positive patient with locally advanced rectal adenocarcinoma: a case report and literature review.

作者信息

Li Qiyun, Wu Xue, Xu Zhibin, Li Taidong

机构信息

Department of Medical Oncology, Central Hospital of Guangdong Provincial Nongken, Zhanjiang, Guangdong, China.

Department of Organ Transplantation, The First Affiliated Hospital of Guangzhou Medical University, Guangzhou, Guangdong, China.

出版信息

Front Oncol. 2025 Aug 20;15:1560508. doi: 10.3389/fonc.2025.1560508. eCollection 2025.

Abstract

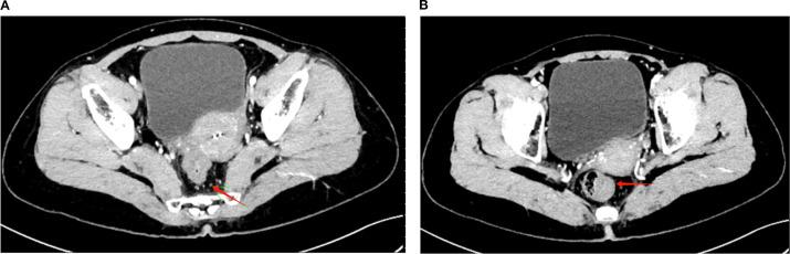
Microsatellite-stable (MSS) rectal adenocarcinoma remains a therapeutic challenge, particularly in patients with complicating factors such as chronic hepatitis B virus (HBV) infection. Advances in immunotherapy, including immune checkpoint inhibitors (ICIs), have introduced new opportunities to improve the treatment outcomes in this subset, yet their application in HBV-positive cancer patients is less well understood. Here we report the case of a 46-year-old female with MSS locally advanced rectal adenocarcinoma and active HBV infection, successfully treated with cmFOLFOXIRI combined with camrelizumab as neoadjuvant therapy. The patient presented with a circumferential rectal mass, elevated tumor markers, and virological evidence of high HBV viral load, necessitating prophylactic antiviral management with entecavir. Following five cycles of cmFOLFOXIRI and two cycles of camrelizumab, significant tumor regression was achieved, with further response observed after long-course radiotherapy combined with irinotecan and capecitabine. Laparoscopic low anterior resection revealed complete pathological remission (pCR), with no residual tumor cells or lymph node metastases identified. This case underscores the potential of integrating immunotherapy into multimodal neoadjuvant regimens for MSS rectal cancer while highlighting the critical importance of HBV management to minimize reactivation risks during treatment. These findings offer valuable insights into the safe and effective use of ICIs in HBV-positive cancer patients, warranting further investigation in larger clinical studies.

摘要

微卫星稳定(MSS)的直肠腺癌仍然是一个治疗挑战,尤其是对于伴有慢性乙型肝炎病毒(HBV)感染等复杂因素的患者。免疫疗法的进展,包括免疫检查点抑制剂(ICI),为改善这一亚组患者的治疗结果带来了新机遇,但其在HBV阳性癌症患者中的应用仍了解较少。在此,我们报告一例46岁女性患者,患有MSS局部晚期直肠腺癌且伴有活动性HBV感染,接受了cmFOLFOXIRI联合卡瑞利珠单抗作为新辅助治疗并获得成功。该患者表现为直肠环周肿物、肿瘤标志物升高以及HBV病毒载量高的病毒学证据,因此需要使用恩替卡韦进行预防性抗病毒治疗。经过五个周期的cmFOLFOXIRI和两个周期的卡瑞利珠单抗治疗后,肿瘤显著退缩,在接受长程放疗联合伊立替康和卡培他滨治疗后观察到进一步缓解。腹腔镜下低位前切除术显示完全病理缓解(pCR),未发现残留肿瘤细胞或淋巴结转移。该病例强调了将免疫疗法纳入MSS直肠癌多模式新辅助治疗方案的潜力,同时突出了HBV管理对于将治疗期间再激活风险降至最低的至关重要性。这些发现为在HBV阳性癌症患者中安全有效地使用ICI提供了有价值的见解,值得在更大规模的临床研究中进一步探究。

https://cdn.ncbi.nlm.nih.gov/pmc/blobs/5608/12404937/87016ba7d23d/fonc-15-1560508-g001.jpg

文献AI研究员

20分钟写一篇综述,助力文献阅读效率提升50倍。

立即体验

用中文搜PubMed

大模型驱动的PubMed中文搜索引擎

马上搜索

文档翻译

学术文献翻译模型,支持多种主流文档格式。

立即体验