Suppr超能文献

一种基于容积调强弧形治疗的动态适形弧形技术,采用有限的监测单位(VMATliMU)以减少多叶准直器相互作用效应:针对I期非小细胞肺癌的计算体模研究

A volumetric modulated arc therapy-based dynamic conformal arc technique with limited monitor units (VMATliMU) to reduce multileaf collimator interplay effects: A computational phantom study for stage I non-small-cell lung cancer.

作者信息

Jung Dong Min, Kwon Yong Jae, Cho Yong Wan, Baek Jong Geol, Jang Dong Jae, Yun Yongdo, Lee Seok-Ho, Son Gahee, Yoo Hyunjong, Han Min Cheol, Kim Jin Sung

机构信息

Department of Radiation Oncology, Yonsei Cancer Center, Heavy Ion Therapy Research Institute, Yonsei University College of Medicine, Seoul, Korea.

Medical Physics and Biomedical Engineering Lab (MPBEL), Yonsei University College of Medicine, Seoul, Korea.

出版信息

PLoS One. 2025 Sep 9;20(9):e0332190. doi: 10.1371/journal.pone.0332190. eCollection 2025.

Abstract

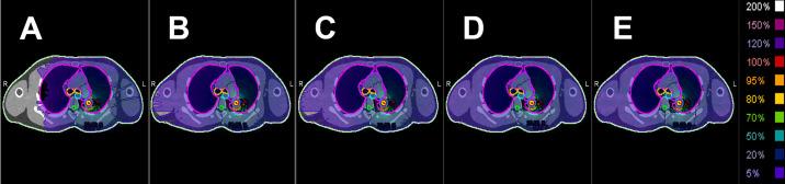
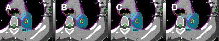
Volumetric modulated arc therapy (VMAT) for lung cancer involves complex multileaf collimator (MLC) motion, which increases sensitivity to interplay effects with tumour motion. Current dynamic conformal arc methods address this issue but may limit the achievable dose distribution optimisation compared with standard VMAT. This study examined the clinical utility of a VMAT technique with monitor unit limits (VMATliMU) to mimic conformal arc delivery and reduce interplay effects while maintaining plan quality. VMATliMU was implemented by applying monitor unit limitations during VMAT reoptimisation to minimise MLC encroachment into target volumes. Using mesh-type reference computational phantom CT images, treatment plans were generated for a simulated stage I lung cancer case prescribed to 45 Gy in three fractions. VMATliMU, conventional VMAT, VMAT with leaf speed limitations, dynamic conformal arc therapy, and constant dynamic conformal arc therapy were compared. Plans were optimised for multiple isodose line prescriptions (50%, 60%, 70%, 80%, and 90%) to investigate the impact of dose distribution. Evaluation parameters included MLC positional accuracy using area difference ratios, dosimetric indices, gradient metrics, and organ-at-risk doses. VMATliMU prevented MLC encroachment into the internal target volume across 60%-90% isodose lines, showing superior MLC accuracy compared with other methods. At the challenging 50% isodose line, VMATliMU had 4.5 times less intrusion than VMAT with leaf speed limits. VMAT plans had better dosimetric indices than dynamic conformal arc plans. VMATliMU reduced monitor units by 5.1%-19.2% across prescriptions. All plans met the clinical dose constraints, with the aortic arch below tolerance and acceptable lung doses. VMATliMU combines VMAT's dosimetric benefits with the dynamic conformal arcs's simplicity, minimising MLC encroachment while maintaining plan quality. Reduced monitor units lower low-dose exposure, treatment time, and interplay effects. VMATliMU is usable in existing planners with monitor unit limits, offering a practical solution for lung stereotactic body radiation therapy.

摘要

肺癌的容积调强弧形放疗(VMAT)涉及复杂的多叶准直器(MLC)运动,这增加了对与肿瘤运动相互作用效应的敏感性。当前的动态适形弧形放疗方法解决了这个问题,但与标准VMAT相比,可能会限制可实现的剂量分布优化。本研究探讨了一种带有监测单位限制的VMAT技术(VMATliMU)的临床实用性,该技术可模拟适形弧形放疗并减少相互作用效应,同时保持计划质量。VMATliMU是通过在VMAT重新优化过程中应用监测单位限制来实现的,以尽量减少MLC侵入靶区体积。使用网格型参考计算体模CT图像,为一例模拟的I期肺癌病例制定治疗计划,处方剂量为45 Gy,分三次照射。比较了VMATliMU、传统VMAT、有叶片速度限制的VMAT、动态适形弧形放疗和恒定动态适形弧形放疗。针对多个等剂量线处方(50%、60%、70%、80%和90%)对计划进行优化,以研究剂量分布的影响。评估参数包括使用面积差异比的MLC位置准确性、剂量学指标、梯度度量和危及器官剂量。VMATliMU在60% - 90%等剂量线上防止了MLC侵入内部靶区体积,与其他方法相比,显示出更高的MLC准确性。在具有挑战性的50%等剂量线上,VMATliMU的侵入比有叶片速度限制的VMAT少4.5倍。VMAT计划的剂量学指标优于动态适形弧形放疗计划。VMATliMU在所有处方中减少了5.1% - 19.2%的监测单位。所有计划均符合临床剂量限制,主动脉弓低于耐受剂量,肺部剂量可接受。VMATliMU将VMAT的剂量学优势与动态适形弧形放疗的简单性相结合,在保持计划质量的同时最大限度地减少了MLC侵入。减少的监测单位降低了低剂量照射、治疗时间和相互作用效应。VMATliMU可在具有监测单位限制的现有计划系统中使用,为肺部立体定向体部放疗提供了一种实用的解决方案。

https://cdn.ncbi.nlm.nih.gov/pmc/blobs/ac44/12419622/40494cae5e2f/pone.0332190.g001.jpg

文献AI研究员

20分钟写一篇综述,助力文献阅读效率提升50倍。

立即体验

用中文搜PubMed

大模型驱动的PubMed中文搜索引擎

马上搜索

文档翻译

学术文献翻译模型,支持多种主流文档格式。

立即体验