Suppr超能文献

一个隐匿的入侵者:异位促肾上腺皮质激素依赖性库欣综合征患者中发现的无症状红球菌感染

A Silent Invader: Asymptomatic Rhodococcus Infection Unmasked in A Patient with Ectopic ACTH-Dependent Cushing's Syndrome.

作者信息

Saeed Shahzeb, Fawzy George, Shah Ayesha, John Molly

机构信息

Charleston Area Medical Center, Charleston, USA.

出版信息

Eur J Case Rep Intern Med. 2025 Aug 1;12(9):005711. doi: 10.12890/2025_005711. eCollection 2025.

Abstract

INTRODUCTION

species, particularly , are rare opportunistic pathogens that typically affect immunocompromised individuals. These infections usually present with respiratory or systemic symptoms and are often linked to environmental exposure. Asymptomatic infections are exceedingly rare and pose unique diagnostic and therapeutic challenges.

CASE DESCRIPTION

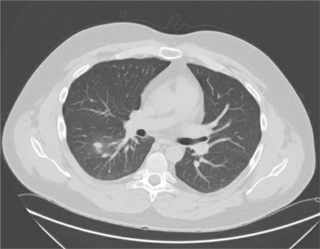
We report the case of a 29-year-old male who presented with new-onset diabetes mellitus, resistant hypertension and significant weight gain. Physical examination revealed features consistent with Cushing's syndrome. Biochemical evaluation confirmed ACTH-dependent hypercortisolism with an elevated plasma ACTH level, and a lack of suppression on high-dose dexamethasone testing; imaging identified a suspicious pulmonary nodule. Bronchoscopic biopsy revealed no malignancy, however cultures grew species. The patient denied any respiratory symptoms or environmental exposure. Initial antibiotic therapy with ciprofloxacin and rifampin was started. Follow-up imaging showed rapid enlargement of the pulmonary mass, prompting surgical resection. Histopathology revealed malakoplakia, and repeat cultures again yielded Antibiotics were adjusted to azithromycin and rifampin, and the patient was started on ketoconazole to manage hypercortisolism.

CONCLUSION

This case highlights the importance of considering opportunistic infections such as in immunocompromised patients, even in the absence of symptoms. It underscores the diagnostic value of investigating incidental findings in such populations and illustrates the need for prompt, multidisciplinary management to prevent disease progression.

LEARNING POINTS

This case highlights the diagnostic complexity of incidental pulmonary nodules in immunocompromised patients, reinforcing the need for thorough microbiological investigation even in the absence of infection symptoms.It illustrates a rare, asymptomatic presentation of infection in the context of ectopic ACTH-dependent Cushing's syndrome, a scenario not widely reported in the literature.Practical is given guidance on managing opportunistic infections and evaluating ectopic ACTH sources, aiding internists in navigating similar diagnostic and therapeutic challenges in complex endocrine-infectious overlaps.

摘要

引言

[具体物种名称],尤其是[具体物种名称],是罕见的机会性病原体,通常感染免疫功能低下的个体。这些感染通常表现为呼吸道或全身症状,且常与环境暴露有关。无症状的[具体物种名称]感染极为罕见,带来了独特的诊断和治疗挑战。

病例描述

我们报告一例29岁男性病例,该患者出现新发糖尿病、难治性高血压和显著体重增加。体格检查发现符合库欣综合征的特征。生化评估证实为促肾上腺皮质激素(ACTH)依赖性皮质醇增多症,血浆ACTH水平升高,且高剂量地塞米松试验无抑制反应;影像学检查发现一个可疑的肺结节。支气管镜活检未发现恶性肿瘤,但培养物中生长出[具体物种名称]。患者否认有任何呼吸道症状或环境暴露史。开始使用环丙沙星和利福平进行初始抗生素治疗。随访影像学检查显示肺部肿块迅速增大,促使进行手术切除。组织病理学显示为软斑病,再次培养又分离出[具体物种名称]。抗生素调整为阿奇霉素和利福平,并开始让患者服用酮康唑来控制皮质醇增多症。

结论

本病例强调了在免疫功能低下患者中考虑诸如[具体物种名称]等机会性感染的重要性,即使没有症状。它强调了在此类人群中调查偶然发现的病变的诊断价值,并说明了需要及时进行多学科管理以防止疾病进展。

学习要点

本病例突出了免疫功能低下患者偶然发现的肺结节的诊断复杂性,强化了即使没有感染症状也需要进行全面微生物学调查的必要性。它说明了在异位ACTH依赖性库欣综合征背景下罕见的无症状[具体物种名称]感染表现,这种情况在文献中报道较少。针对管理机会性感染和评估异位ACTH来源提供了实用指导,有助于内科医生应对复杂内分泌 - 感染重叠情况下的类似诊断和治疗挑战。

https://cdn.ncbi.nlm.nih.gov/pmc/blobs/2727/12416799/51f608545b8a/5711_Fig1.jpg

文献AI研究员

20分钟写一篇综述,助力文献阅读效率提升50倍。

立即体验

用中文搜PubMed

大模型驱动的PubMed中文搜索引擎

马上搜索

文档翻译

学术文献翻译模型,支持多种主流文档格式。

立即体验