Suppr超能文献

内侧视前区胆囊收缩素受体介导雄性小鼠慢性情绪应激诱导的焦虑和攻击行为。

Medial preoptic CCKAR mediates anxiety and aggression induced by chronic emotional stress in male mice.

作者信息

Tang Meng-Yu, Zhang Yan-Yi, Lin Lin, Wu Lin-Lin, Hu Meng-Ting, Tan Li-Heng, Yu Chen-Xi, Wang Hao, Yu Yan-Qin, Ding Yu, Han Jia-Xuan, Hu Hailan, Li Xiao-Ming, Lian Hong

机构信息

Department of Neurology and Department of Psychiatry, the Second Affiliated Hospital, Zhejiang University School of Medicine, Hangzhou 310058, China.

Nanhu Brain-computer Interface Institute, Hangzhou 311100, China.

出版信息

Natl Sci Rev. 2025 May 21;12(10):nwaf152. doi: 10.1093/nsr/nwaf152. eCollection 2025 Oct.

Abstract

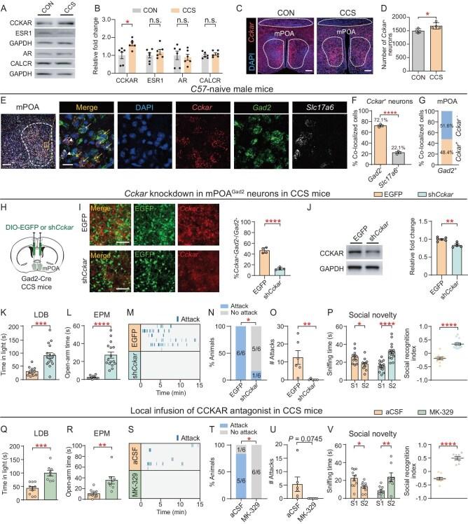
Anxiety disorders frequently accompany aggression, with their co-occurrence predicting greater functional impairment and poor prognosis. Nevertheless, the underlying neural mechanisms remain elusive, primarily due to a lack of appropriate animal models. Here, we designed a chronic conspecific outsider stress (CCS) model in which male mice underwent perceived social threats and exhibited increased anxiety-like behaviors accompanied by aggression. CCS led to activation and hyperexcitability of GABAergic neurons in the medial preoptic area (mPOA). Inhibition of mPOA GABAergic (mPOA) neurons rescued CCS-induced anxiety-like and aggressive behaviors, whereas activating these cells induced susceptibility to CCS. Moreover, CCS upregulated the mRNA and protein expression of the sexual-dimorphic gene, cholecystokinin A receptor (CCKAR)-encoding gene in the mPOA. Importantly, the knock-down and overexpression of CCKAR in the mPOA neurons had alleviating and promoting effects on anxiety-like and aggressive behaviors, aligning with decreased and increased excitability by the anxiolytic CCKAR antagonist MK-329 and the anxiogenic CCKAR agonist A71623 in mPOA neurons, respectively. Overall, our study characterizes a novel mouse model of anxiety disorders accompanied by aggression and the neuronal subpopulation and molecular mediator of the aberrant behaviors provide potential targets of intervention for anxiety disorders with aggression.

摘要

焦虑症常与攻击行为相伴,二者同时出现预示着更严重的功能损害和不良预后。然而,其潜在的神经机制仍不清楚,主要原因是缺乏合适的动物模型。在此,我们设计了一种慢性同种异体陌生应激(CCS)模型,在该模型中,雄性小鼠经历可感知的社会威胁,并表现出焦虑样行为增加且伴有攻击行为。CCS导致内侧视前区(mPOA)的GABA能神经元激活和兴奋性增强。抑制mPOA的GABA能神经元可挽救CCS诱导的焦虑样行为和攻击行为,而激活这些细胞则会导致对CCS敏感。此外,CCS上调了mPOA中性二态性基因胆囊收缩素A受体(CCKAR)编码基因的mRNA和蛋白质表达。重要的是,mPOA神经元中CCKAR的敲低和过表达分别对焦虑样行为和攻击行为有缓解和促进作用,这与mPOA神经元中抗焦虑CCKAR拮抗剂MK-329和致焦虑CCKAR激动剂A71623分别降低和增加兴奋性的作用一致。总体而言,我们的研究描述了一种伴有攻击行为的新型焦虑症小鼠模型,异常行为的神经元亚群和分子介质为伴有攻击行为的焦虑症提供了潜在的干预靶点。

https://cdn.ncbi.nlm.nih.gov/pmc/blobs/33fb/12418936/da41eab25ec4/nwaf152fig1.jpg

文献AI研究员

20分钟写一篇综述,助力文献阅读效率提升50倍。

立即体验

用中文搜PubMed

大模型驱动的PubMed中文搜索引擎

马上搜索

文档翻译

学术文献翻译模型,支持多种主流文档格式。

立即体验