Suppr超能文献

Lethal tracheal dissolution during treatment for thyroid lymphoma.

作者信息

Melnyk A, Graham N J, Weber D, Walsh G L

机构信息

Department of Internal Medicine, University of Texas MD Anderson Cancer Center, Houston 77030, USA.

出版信息

Thorax. 1995 Oct;50(10):1120-1. doi: 10.1136/thx.50.10.1120.

Abstract
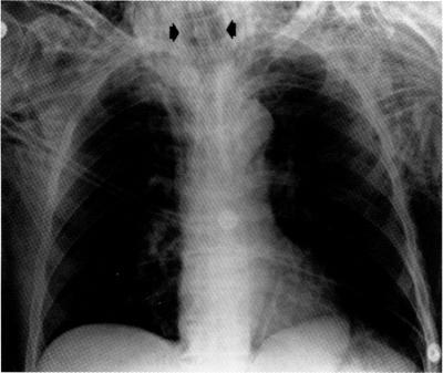
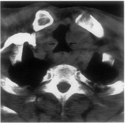
  • A case of primary thyroid T cell lymphoma leading to lethal tracheal perforation during chemotherapy is described.
摘要
https://cdn.ncbi.nlm.nih.gov/pmc/blobs/fb78/475032/a56e79a1b5e0/thorax00315-0110-a.jpg

文献AI研究员

20分钟写一篇综述,助力文献阅读效率提升50倍。

立即体验

用中文搜PubMed

大模型驱动的PubMed中文搜索引擎

马上搜索

文档翻译

学术文献翻译模型,支持多种主流文档格式。

立即体验