Suppr超能文献

转导软骨细胞的移植可保护关节软骨免受白细胞介素1诱导的细胞外基质降解。

Transplantation of transduced chondrocytes protects articular cartilage from interleukin 1-induced extracellular matrix degradation.

作者信息

Baragi V M, Renkiewicz R R, Jordan H, Bonadio J, Hartman J W, Roessler B J

机构信息

Parke-Davis Pharmaceutical Research, Division of Warner-Lambert Company, Ann Arbor, Michigan 48105, USA.

出版信息

J Clin Invest. 1995 Nov;96(5):2454-60. doi: 10.1172/JCI118303.

Abstract

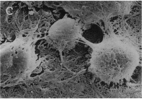
Gene therapy used in the context of delivering a therapeutic gene(s) to chondrocytes offers a new approach for treating chondrocyte-mediated cartilage degradation associated with various human arthropathies including osteoarthritis. In this study, gene delivery to human osteoarthritis chondrocytes in monolayer culture was demonstrated using two adenoviral vectors (Ad.CMVlacZ and Ad.RSVntlacZ) carrying the Escherichia coli beta-galactosidase marker gene, and a third vector (Ad.RSV hIL-1ra) containing the cDNA for human interleukin-1 receptor antagonist. At an moi of 10(3) plaque-forming units/chondrocyte, > 90% of the infected cells stained positive for E. coli beta-galactosidase activity, indicating a high efficiency of transduction. Genetically modified chondrocytes were then transplanted onto the articular surface of osteoarthritic cartilage organ cultures with and without the underlying subchondral bone. Both in situ staining of the cartilage organ cultures for E. coli beta-galactosidase activity and examination by scanning electron microscopy indicated that the transplanted chondrocytes adhered and integrated into the articular surface and continued to express transgenic protein. Chondrocytes transduced with Ad.RSV hIL-1ra and seeded onto the surface of osteoarthritic cartilage secreted high levels of biologically active IL-1 receptor antagonist. The Ad.RSV hIL-1ra-treated cartilage samples were resistant to IL1-induced proteoglycan degradation over 10 d of sustained organ culture. These data demonstrate that transplantation of transduced chondrocytes onto the articular surface protects cartilage from IL-1-induced extracellular matrix degradation.

摘要

在向软骨细胞递送治疗性基因的背景下使用基因疗法,为治疗与包括骨关节炎在内的各种人类关节病相关的软骨细胞介导的软骨降解提供了一种新方法。在本研究中,使用携带大肠杆菌β-半乳糖苷酶标记基因的两种腺病毒载体(Ad.CMVlacZ和Ad.RSVntlacZ)以及包含人白细胞介素-1受体拮抗剂cDNA的第三种载体(Ad.RSV hIL-1ra),证明了向单层培养的人骨关节炎软骨细胞进行基因递送。在感染复数为10³ 空斑形成单位/软骨细胞时,>90%的感染细胞对大肠杆菌β-半乳糖苷酶活性染色呈阳性,表明转导效率高。然后将基因修饰的软骨细胞移植到有或没有下方软骨下骨的骨关节炎软骨器官培养物的关节表面。软骨器官培养物对大肠杆菌β-半乳糖苷酶活性的原位染色和扫描电子显微镜检查均表明,移植的软骨细胞粘附并整合到关节表面,并继续表达转基因蛋白。用Ad.RSV hIL-1ra转导并接种到骨关节炎软骨表面的软骨细胞分泌高水平的生物活性白细胞介素-1受体拮抗剂。在持续10天的器官培养中,用Ad.RSV hIL-1ra处理的软骨样品对IL-1诱导的蛋白聚糖降解具有抗性。这些数据表明,将转导的软骨细胞移植到关节表面可保护软骨免受IL-1诱导的细胞外基质降解。

https://cdn.ncbi.nlm.nih.gov/pmc/blobs/2024/185898/55a04a5b460e/jcinvest00017-0365-a.jpg

文献AI研究员

20分钟写一篇综述,助力文献阅读效率提升50倍。

立即体验

用中文搜PubMed

大模型驱动的PubMed中文搜索引擎

马上搜索

文档翻译

学术文献翻译模型,支持多种主流文档格式。

立即体验