Suppr超能文献

衰老的表皮渗透屏障。人类及衰老小鼠模型中的结构、功能和脂质生化异常。

The aged epidermal permeability barrier. Structural, functional, and lipid biochemical abnormalities in humans and a senescent murine model.

作者信息

Ghadially R, Brown B E, Sequeira-Martin S M, Feingold K R, Elias P M

机构信息

Department of Dermatology, University of California, San Francisco 94143, USA.

出版信息

J Clin Invest. 1995 May;95(5):2281-90. doi: 10.1172/JCI117919.

Abstract

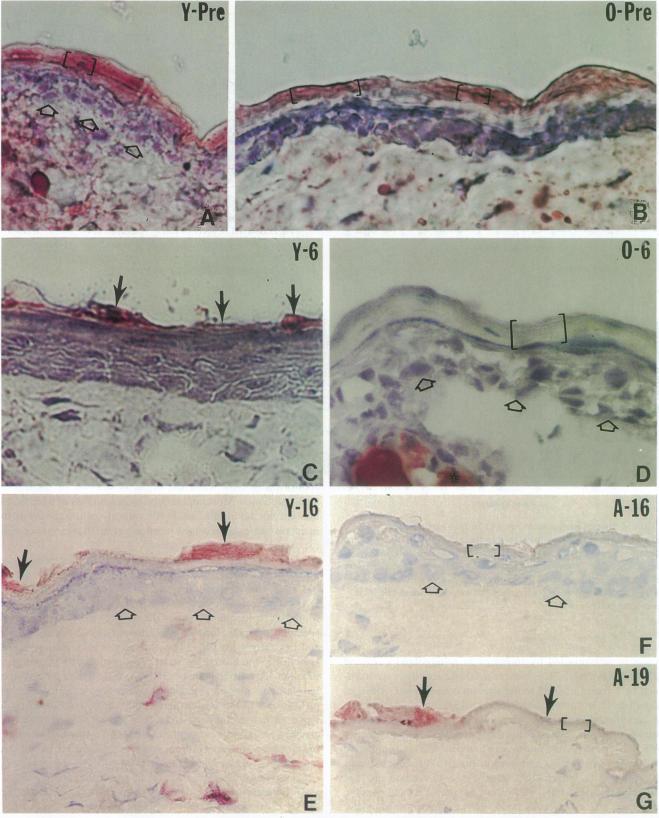
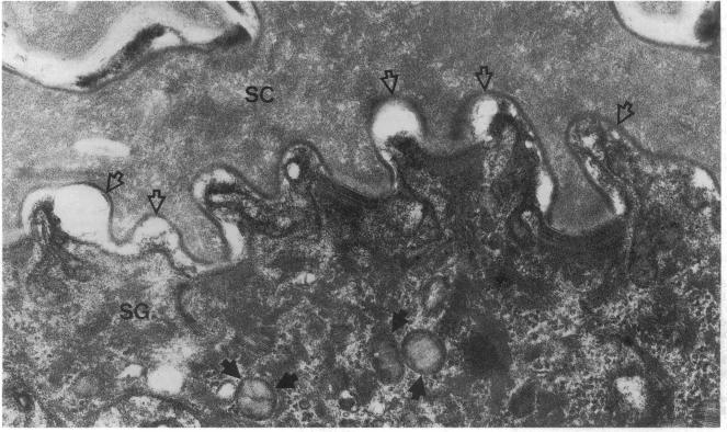
Aged epidermis displays altered drug permeability, increased susceptibility to irritant contact dermatitis, and often severe xerosis, suggesting compromise of the aged epidermal barrier. To delineate the functional, structural, and lipid biochemical basis of epidermal aging, we compared barrier function in young (20-30 yr) vs aged (> 80 yr) human subjects, and in a murine model. Baseline transepidermal water loss in both aged humans and senescent mice was subnormal. However, the aged barrier was perturbed more readily with either acetone or tape stripping (18 +/- 2 strippings vs 31 +/- 5 strippings in aged vs young human subjects, respectively). Moreover, after either acetone treatment or tape stripping, the barrier recovered more slowly in aged than in young human subjects (50 and 80% recovery at 24 and 72 h, respectively, in young subjects vs 15% recovery at 24 h in aged subjects), followed by a further delay over the next 6 d. Similar differences in barrier recovery were seen in senescent vs young mice. Although the total lipid content was decreased in the stratum corneum of aged mice (approximately 30%), the distribution of ceramides (including ceramide 1), cholesterol, and free fatty acids was unchanged. Moreover, a normal complement of esterified, very long-chain fatty acids was present. Finally, stratum corneum lamellar bilayers displayed normal substructure and dimensions, but were focally decreased in number, with decreased secretion of lamellar body contents. Thus, assessment of barrier function in aged epidermis under basal conditions is misleading, since both barrier integrity and barrier repair are markedly abnormal. These functional changes can be attributed to a global deficiency in all key stratum corneum lipids, resulting in decreased lamellar bilayers in the stratum corneum interstices. This constellation of findings may explain the increased susceptibility of intrinsically aged skin to exogenous and environmental insults.

摘要

老年表皮表现出药物渗透性改变、对刺激性接触性皮炎的易感性增加以及常伴有严重的皮肤干燥,这表明老年表皮屏障受损。为了阐明表皮衰老的功能、结构和脂质生化基础,我们比较了年轻(20 - 30岁)与老年(> 80岁)人类受试者以及小鼠模型中的屏障功能。老年人类和衰老小鼠的基线经表皮水分流失均低于正常水平。然而,无论是丙酮处理还是胶带剥离,老年屏障更容易受到干扰(老年与年轻人类受试者分别为18 ± 2次剥离和31 ± 5次剥离)。此外,无论是丙酮处理还是胶带剥离后,老年受试者的屏障恢复比年轻受试者更慢(年轻受试者在24小时和72小时分别恢复50%和80%,而老年受试者在24小时仅恢复15%),随后在接下来的6天进一步延迟。衰老小鼠与年轻小鼠在屏障恢复方面也存在类似差异。尽管老年小鼠角质层中的总脂质含量降低(约30%),但神经酰胺(包括神经酰胺1)、胆固醇和游离脂肪酸的分布未发生变化。此外,存在正常的酯化超长链脂肪酸补充。最后,角质层板层双分子层显示出正常的亚结构和尺寸,但数量局部减少,板层小体内容物的分泌减少。因此,在基础条件下评估老年表皮的屏障功能会产生误导,因为屏障完整性和屏障修复均明显异常。这些功能变化可归因于所有关键角质层脂质的整体缺乏,导致角质层间隙中的板层双分子层减少。这一系列发现可能解释了自然衰老皮肤对外源性和环境损伤易感性增加的原因。

https://cdn.ncbi.nlm.nih.gov/pmc/blobs/cd42/295841/53d4413e28f9/jcinvest00026-0346-a.jpg

文献AI研究员

20分钟写一篇综述,助力文献阅读效率提升50倍。

立即体验

用中文搜PubMed

大模型驱动的PubMed中文搜索引擎

马上搜索

文档翻译

学术文献翻译模型,支持多种主流文档格式。

立即体验