Suppr超能文献

由痘苗病毒表达的恶性疟原虫丝氨酸重复抗原(p126)的免疫原性。

Immunogenicity of the Plasmodium falciparum serine repeat antigen (p126) expressed by vaccinia virus.

作者信息

Tine J A, Conseil V, Delplace P, De Taisne C, Camus D, Paoletti E

机构信息

Virogenetics Corporation, Troy, New York 12180.

出版信息

Infect Immun. 1993 Sep;61(9):3933-41. doi: 10.1128/iai.61.9.3933-3941.1993.

Abstract

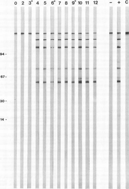
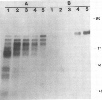
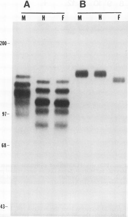
cDNA encoding the serine repeat antigen (SERA) (also called p126) of Plasmodium falciparum has been isolated from the FCR3 strain and inserted into a recombinant vaccinia virus designated vP870. Expression analysis of vP870-infected Vero cells by immunoprecipitation has demonstrated several intracellular forms of SERA and a single secreted SERA peptide. Endoglycosidase digestion of these immunoprecipitated SERA peptides indicated that the intracellular SERA peptides contain simple, high-mannose N-linked oligosaccharides and that the secreted SERA peptide contains complex N-linked oligosaccharides. Pulse-chase experiments indicate that the multiple intracellular SERA peptides in infected Vero cells represent a trafficking pathway whereby the smallest SERA peptide is converted into larger peptides by co- and posttranslational modifications, including glycosylation, and eventually secreted from the cell with complex N-linked oligosaccharides. To study the immunogenicity of vaccinia virus-expressed SERA, rabbits were immunized with vP870 and their sera were analyzed for reactivity with authentic, parasite-derived SERA protein. The anti-vP870 rabbit sera reacted with P. falciparum-infected erythrocytes by immunofluorescence analysis, recognized authentic SERA from schizonts by both immunoprecipitation and Western blot (immunoblot) analyses, and recognized proteolytically processed fragments of SERA secreted into the culture medium by Western blot analysis. These results indicate that when expressed by vaccinia virus, SERA is glycosylated and secreted from infected cells and that in immunized rabbits, vaccinia virus-expressed SERA can stimulate a humoral immune response against SERA derived from blood-stage parasites.

摘要

已从恶性疟原虫FCR3株中分离出编码丝氨酸重复抗原(SERA)(也称为p126)的cDNA,并将其插入到一种名为vP870的重组痘苗病毒中。通过免疫沉淀对vP870感染的Vero细胞进行表达分析,结果显示了SERA的几种细胞内形式以及一种单一的分泌型SERA肽。对这些免疫沉淀的SERA肽进行内切糖苷酶消化表明,细胞内SERA肽含有简单的、高甘露糖型N-连接寡糖,而分泌型SERA肽含有复杂的N-连接寡糖。脉冲追踪实验表明,感染的Vero细胞中多种细胞内SERA肽代表了一条运输途径,即最小的SERA肽通过共翻译和翻译后修饰(包括糖基化)转化为更大的肽,最终以复杂的N-连接寡糖形式从细胞中分泌出来。为了研究痘苗病毒表达的SERA的免疫原性,用vP870免疫兔子,并分析它们的血清与真实的、寄生虫来源的SERA蛋白的反应性。通过免疫荧光分析,抗vP870兔血清与恶性疟原虫感染的红细胞发生反应,通过免疫沉淀和蛋白质印迹(免疫印迹)分析识别来自裂殖体的真实SERA,并通过蛋白质印迹分析识别分泌到培养基中的经蛋白酶处理的SERA片段。这些结果表明,当由痘苗病毒表达时,SERA会被糖基化并从感染细胞中分泌出来,并且在免疫的兔子中,痘苗病毒表达的SERA可以刺激针对血期寄生虫来源的SERA的体液免疫反应。

https://cdn.ncbi.nlm.nih.gov/pmc/blobs/02c6/281097/7056c1ff46dc/iai00021-0367-a.jpg

文献AI研究员

20分钟写一篇综述,助力文献阅读效率提升50倍。

立即体验

用中文搜PubMed

大模型驱动的PubMed中文搜索引擎

马上搜索

文档翻译

学术文献翻译模型,支持多种主流文档格式。

立即体验