Suppr超能文献

基于蛋白质组学鉴定触珠蛋白-1前体作为卵巢癌一种新型循环生物标志物。

Proteomic-based identification of haptoglobin-1 precursor as a novel circulating biomarker of ovarian cancer.

作者信息

Ahmed N, Barker G, Oliva K T, Hoffmann P, Riley C, Reeve S, Smith A I, Kemp B E, Quinn M A, Rice G E

机构信息

Gynaecological Cancer Research Centre, Royal Women's Hospital, 132 Grattan Street, Carlton, Victoria 3053, Australia.

出版信息

Br J Cancer. 2004 Jul 5;91(1):129-40. doi: 10.1038/sj.bjc.6601882.

Abstract

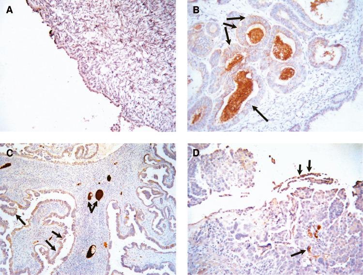
Screening for specific biomarkers of early-stage detection of ovarian cancer is a major health priority due to the asymptomatic nature and poor survival characteristic of the disease. We utilised two-dimensional gel electrophoresis (2DE) to identify differentially expressed proteins in the serum of ovarian cancer patients that may be useful as biomarkers of this disease. In this study, 38 ovarian cancer patients at different pathological grades (grade 1 (n=6), grade 2 (n=8) and grade 3 (n=24)) were compared to a control group of eight healthy women. Serum samples were treated with a mixture of Affigel-Blue and protein A (5 : 1) for 1 h to remove high abundance protein (e.g. immunoglobulin and albumin) and were displayed using 11 cm, pH 4-7 isoelectric focusing strips for the first dimension and 10% acrylamide gel electrophoresis for the second dimension. Protein spots were visualised by SYPRO-Ruby staining, imaged by FX-imager and compared and analysed by PDQuest software. A total of 24 serum proteins were differentially expressed in grade 1 (P<0.05), 31 in grade 2 (P<0.05) and 25 in grade 3 (P<0.05) ovarian cancer patients. Six of the protein spots that were significantly upregulated in all groups of ovarian cancer patients were identified by nano-electrospray quadrupole quadrupole time-of-flight mass spectrometry (n-ESIQ(q)TOFMS) and matrix-assisted laser desorption ionisation time-of-flight mass spectrometry (MALDI-TOFMS) as isoforms of haptoglobin-1 precursor (HAP1), a liver glycoprotein present in human serum. Further identification of the spots at different pathological grades was confirmed by Western blotting using monoclonal antibody against a haptoglobin epitope contained within HAP1. Immunohistochemical localisation of HAP1-like activity was present in malignant ovarian epithelium and stroma but strong immunostaining was present in blood vessels, areas with myxomatous stroma and vascular spaces. No tissue localisation of HAP1-like immunoreactivity was observed in normal ovarian surface epithelium. These data highlight the need to assess circulating concentration of HAP1 in the serum of ovarian cancer patients and evaluate its potential as a biomarker in the early diagnosis of ovarian cancer.

摘要

由于卵巢癌具有无症状性和较差的生存特征,筛查卵巢癌早期检测的特定生物标志物是一项重大的健康优先事项。我们利用二维凝胶电泳(2DE)来鉴定卵巢癌患者血清中差异表达的蛋白质,这些蛋白质可能作为该疾病的生物标志物。在本研究中,将38例不同病理分级(1级(n = 6)、2级(n = 8)和3级(n = 24))的卵巢癌患者与8名健康女性的对照组进行比较。血清样本用Affigel - Blue和蛋白A的混合物(5:1)处理1小时以去除高丰度蛋白质(如免疫球蛋白和白蛋白),并使用11厘米、pH 4 - 7的等电聚焦条进行第一维分离,10%丙烯酰胺凝胶电泳进行第二维分离。蛋白质斑点通过SYPRO - Ruby染色可视化,用FX成像仪成像,并通过PDQuest软件进行比较和分析。在1级卵巢癌患者中有24种血清蛋白差异表达(P < 0.05),2级中有31种(P < 0.05),3级中有25种(P < 0.05)。通过纳米电喷雾四极杆四极杆飞行时间质谱(n - ESIQ(q)TOFMS)和基质辅助激光解吸电离飞行时间质谱(MALDI - TOFMS)鉴定出在所有卵巢癌患者组中显著上调的6个蛋白质斑点为触珠蛋白-1前体(HAP1)的异构体,HAP1是一种存在于人体血清中的肝脏糖蛋白。使用针对HAP1中包含的触珠蛋白表位的单克隆抗体通过蛋白质印迹法进一步确认了不同病理分级下斑点的鉴定。HAP1样活性的免疫组织化学定位存在于恶性卵巢上皮和基质中,但在血管、黏液样基质区域和血管间隙中有强免疫染色。在正常卵巢表面上皮中未观察到HAP1样免疫反应性的组织定位。这些数据突出了评估卵巢癌患者血清中HAP1循环浓度并评估其作为卵巢癌早期诊断生物标志物潜力的必要性。

https://cdn.ncbi.nlm.nih.gov/pmc/blobs/64bd/2364749/3560064ee73d/91-6601882f1.jpg

文献AI研究员

20分钟写一篇综述,助力文献阅读效率提升50倍。

立即体验

用中文搜PubMed

大模型驱动的PubMed中文搜索引擎

马上搜索

文档翻译

学术文献翻译模型,支持多种主流文档格式。

立即体验