Suppr超能文献

大麦吡咯啉-5-羧酸还原酶的均相纯化。

Purification to homogeneity of pyrroline-5-carboxylate reductase of barley.

机构信息

Institut für Pflanzenphysiologie der Justus-Liebig-Universität Giessen, D-6300 Giessen, Federal Republic of Germany.

出版信息

Plant Physiol. 1986 Jan;80(1):142-4. doi: 10.1104/pp.80.1.142.

Abstract

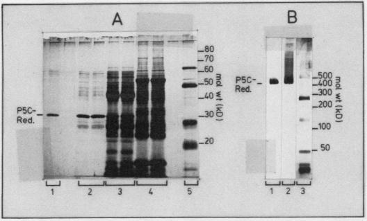
An enzyme has been purified to homogeneity from barley seedlings which has ;proline dehydrogenase' and the pyrroline-5-carboxylic acid reductase activities. The purification achieved is 39,000-fold as calculated from the proline dehydrogenase activity. The subunit molecular weight of the protein is 30 kilodaltons. The native enzyme has molecular weights up to 480 kilodaltons, depending on the buffer environment. From the pH profiles, the specific activities and thermodynamic considerations, it is concluded that the plant proline dehydrogenase functions in vivo as a pyrroline-5-carboxylate reductase.

摘要

已从大麦幼苗中纯化出一种具有脯氨酸脱氢酶和吡咯啉-5-羧酸还原酶活性的酶,其纯度达到理论值的 39000 倍。该酶蛋白亚基分子量为 30 千道尔顿。在不同的缓冲环境中,天然酶的分子量高达 480 千道尔顿。根据 pH 曲线、比活性和热力学考虑,可以得出结论,植物脯氨酸脱氢酶在体内作为吡咯啉-5-羧酸还原酶发挥作用。

https://cdn.ncbi.nlm.nih.gov/pmc/blobs/2735/1075072/ea9bff0712e7/plntphys00596-0155-a.jpg

文献AI研究员

20分钟写一篇综述,助力文献阅读效率提升50倍。

立即体验

用中文搜PubMed

大模型驱动的PubMed中文搜索引擎

马上搜索

文档翻译

学术文献翻译模型,支持多种主流文档格式。

立即体验