Suppr超能文献

一名携带CFTR基因Q98R和Q220X突变的韩国囊性纤维化患者的报告。

Report of a Korean patient with cystic fibrosis, carrying Q98R and Q220X mutations in the CFTR gene.

作者信息

Koh Won-Jung, Ki Chang-Seok, Kim Jong-Won, Kim Jeong-Ho, Lim Seong Yong

机构信息

Division of Pulmonary and Critical Care Medicine, Department of Medicine, Samsung Medical Center, Sungkyunkwan University School of Medicine, Seoul, Korea.

出版信息

J Korean Med Sci. 2006 Jun;21(3):563-6. doi: 10.3346/jkms.2006.21.3.563.

Abstract

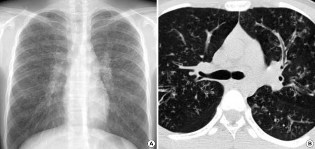
Although cystic fibrosis (CF) is one of the most frequently seen autosomal-recessive disorders in Caucasians, it is extremely rare in the Korean population. Recently, a 15-yr-old Korean boy was admitted to our hospital complaining of coughing, sputum, and exertional dyspnea. Chest radiographs and computed tomographic chest and paranasal sinus scans revealed diffuse bronchiectasis and pansinusitis. Pulmonary function tests revealed severe obstructive impairment. The average sweat chloride concentrations on both of the patients' forearms were 63.0 mM/L (reference limit: < 40 mM/L). Upon mutation analysis, two different mutations (Q98R and Q220X) were identified in the cystic fibrosis transmembrane conductance regulator gene, both of which had been previously detected in CF patients, one from France and the other from England. As CF is quite rare in Korea, the diagnosis of CF in this patient might be delayed. Therefore, we recommend that a diagnosis of CF should be suspected in patients exhibiting unexplained chronic respiratory symptoms.

摘要

尽管囊性纤维化(CF)是白种人中最常见的常染色体隐性疾病之一,但在韩国人群中极为罕见。最近,一名15岁的韩国男孩因咳嗽、咳痰和劳力性呼吸困难入院。胸部X光片以及胸部和鼻旁窦计算机断层扫描显示弥漫性支气管扩张和全鼻窦炎。肺功能测试显示严重的阻塞性损害。患者双侧前臂汗液氯化物平均浓度为63.0 mM/L(参考限值:<40 mM/L)。经突变分析,在囊性纤维化跨膜传导调节基因中鉴定出两种不同的突变(Q98R和Q220X),这两种突变先前已在CF患者中检测到,一个来自法国,另一个来自英国。由于CF在韩国相当罕见,该患者的CF诊断可能会延迟。因此,我们建议对出现无法解释的慢性呼吸道症状的患者怀疑CF诊断。

https://cdn.ncbi.nlm.nih.gov/pmc/blobs/f8e7/2729969/98f100ce412b/jkms-21-563-g001.jpg

文献AI研究员

20分钟写一篇综述,助力文献阅读效率提升50倍。

立即体验

用中文搜PubMed

大模型驱动的PubMed中文搜索引擎

马上搜索

文档翻译

学术文献翻译模型,支持多种主流文档格式。

立即体验