Suppr超能文献

韩国儿童的囊性纤维化:一例通过定量毛果芸香碱离子电渗汗液试验和基因分析确诊的病例报告

Cystic fibrosis in Korean children:a case report identified by a quantitative pilocarpine iontophoresis sweat test and genetic analysis.

作者信息

Ahn Kang Mo, Park Hwa Young, Lee Ji Hyun, Lee Min Goo, Kim Jeong Ho, Kang Im Ju, Lee Sang Il

机构信息

Department of Pediatrics, Samsung Medical Center, Sungkyunkwan University School of Medicine, Seoul, Korea.

出版信息

J Korean Med Sci. 2005 Feb;20(1):153-7. doi: 10.3346/jkms.2005.20.1.153.

Abstract

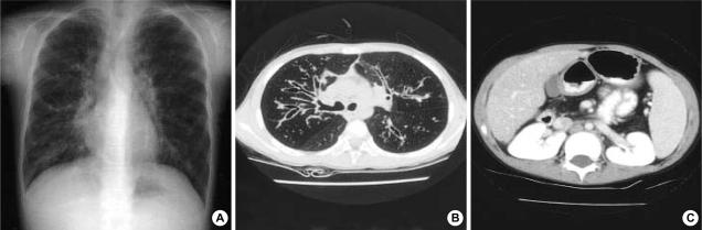
Cystic fibrosis (CF) is inherited as an autosomal recessive trait, and the mutations in cystic fibrosis transmembrane conductance regulator (CFTR) gene contributes to the CF syndrome. Although CF is common in Caucasians, it is known to be rare in Asians. Recently, we experienced two cases of CF in Korean children. The patients were girls with chronic productive cough since early infancy. Chest computed tomography showed the diffuse bronchiectasis in both lungs, and their diagnosis was confirmed by the repeated analysis of a quantitative pilocarpine iontophoresis test (QPIT). The sweat chloride concentrations of the first patient were 108.1 mM/L and 96.7 mM/L. The genetic analysis revealed that she was the compound heterozygote of Q1291X and IVS8 T5-M470V. In the second case, the sweat chloride concentrations were 95.0 mM/L and 77.5 mM/L. Although we performed a comprehensive search for the coding regions and exon-intron splicing junctions of CFTR gene, no obvious disease-related mutations were detected in the second case. To our knowledge, this is the first report of CF in Korean children identified by a QPIT and genetic analysis. The possibility of CF should be suspected in those patients with chronic respiratory symptoms even in Korea.

摘要

囊性纤维化(CF)以常染色体隐性性状遗传,囊性纤维化跨膜传导调节因子(CFTR)基因突变导致CF综合征。虽然CF在白种人中很常见,但在亚洲人中却很罕见。最近,我们在韩国儿童中遇到了两例CF病例。患者为女童,自婴儿早期起就有慢性咳痰。胸部计算机断层扫描显示双肺弥漫性支气管扩张,通过重复进行定量毛果芸香碱离子透入试验(QPIT)分析确诊。首例患者的汗液氯化物浓度分别为108.1 mM/L和96.7 mM/L。基因分析显示她是Q1291X和IVS8 T5-M470V的复合杂合子。第二例患者的汗液氯化物浓度分别为95.0 mM/L和77.5 mM/L。尽管我们对CFTR基因的编码区和外显子-内含子剪接连接进行了全面搜索,但在第二例中未检测到明显的疾病相关突变。据我们所知,这是韩国儿童中通过QPIT和基因分析确诊CF的首例报告。即使在韩国,对于有慢性呼吸道症状的患者也应怀疑CF的可能性。

https://cdn.ncbi.nlm.nih.gov/pmc/blobs/f2e9/2808565/89b443827d52/jkms-20-153-g001.jpg

文献AI研究员

20分钟写一篇综述,助力文献阅读效率提升50倍。

立即体验

用中文搜PubMed

大模型驱动的PubMed中文搜索引擎

马上搜索

文档翻译

学术文献翻译模型,支持多种主流文档格式。

立即体验