Suppr超能文献

孕期暴露于双酚A会在Wistar大鼠的乳腺中诱发癌前病变。

Prenatal bisphenol A exposure induces preneoplastic lesions in the mammary gland in Wistar rats.

作者信息

Durando Milena, Kass Laura, Piva Julio, Sonnenschein Carlos, Soto Ana M, Luque Enrique H, Muñoz-de-Toro Mónica

机构信息

Laboratorio de Endocrinologia y Tumores Hormonodependientes, School of Biochemistry and Biological Sciences, Universidad Nacional del Litoral, Santa Fe, Argentina.

出版信息

Environ Health Perspect. 2007 Jan;115(1):80-6. doi: 10.1289/ehp.9282.

Abstract

BACKGROUND

Humans are routinely exposed to bisphenol A (BPA), an estrogenic compound that leaches from dental materials, food and beverage containers, and other consumer products. Prenatal exposure to BPA has produced long-lasting and profound effects on rodent hormone-dependent tissues that are manifested 1-6 months after the end of exposure.

OBJECTIVE

The aim of the present work was to examine whether in utero exposure to BPA alters mammary gland development and increases its susceptibility to the carcinogen N-nitroso-N-methylurea (NMU).

METHODS

Pregnant Wistar rats were exposed to BPA (25 pg/kg body weight per day) or to vehicle. Female offspring were sacrificed on postnatal day (PND) 30, 50, 110, or 180. On PND50 a group of rats received a single subcarcinogenic dose of NMU (25 mg/kg) and they were sacrificed on either PND110 or PND180.

RESULTS

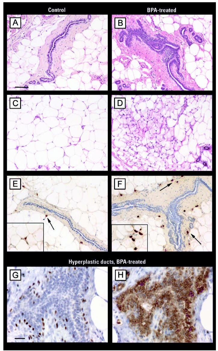
At puberty, animals exposed prenatally to BPA showed an increased proliferation/apoptosis ratio in both the epithelial and stromal compartments. During adulthood (PND110 and PND180), BPA-exposed animals showed an increased number of hyperplastic ducts and augmented stromal nuclear density. Moreover, the stroma associated with hyperplastic ducts showed signs of desmoplasia and contained an increased number of mast cells, suggesting a heightened risk of neoplastic transformation. Administration of a subcarcinogenic dose of NMU to animals exposed prenatally to BPA increased the percentage of hyperplastic ducts and induced the development of neoplastic lesions.

CONCLUSIONS

Our results demonstrate that the prenatal exposure to low doses of BPA perturbs mammary gland histoarchitecture and increases the carcinogenic susceptibility to a chemical challenge administered 50 days after the end of BPA exposure.

摘要

背景

人类经常接触双酚A(BPA),这是一种具有雌激素活性的化合物,可从牙科材料、食品和饮料容器以及其他消费品中渗出。孕期接触双酚A会对啮齿动物的激素依赖组织产生长期而深远的影响,这些影响在接触结束后的1至6个月显现出来。

目的

本研究旨在探讨子宫内接触双酚A是否会改变乳腺发育并增加其对致癌物N-亚硝基-N-甲基脲(NMU)的易感性。

方法

将怀孕的Wistar大鼠暴露于双酚A(每天25微克/千克体重)或溶剂中。雌性后代在出生后第30、50、110或180天处死。在出生后第50天,一组大鼠接受单次亚致癌剂量的NMU(25毫克/千克),并在出生后第110天或180天处死。

结果

在青春期,产前接触双酚A的动物在上皮和基质区室中的增殖/凋亡率均增加。在成年期(出生后第110天和180天),接触双酚A的动物增生导管数量增加,基质核密度增大。此外,与增生导管相关的基质显示出结缔组织增生的迹象,并含有数量增加的肥大细胞,提示肿瘤转化风险增加。对产前接触双酚A的动物给予亚致癌剂量的NMU,增加了增生导管的百分比,并诱导了肿瘤病变的发生。

结论

我们的结果表明,产前接触低剂量双酚A会扰乱乳腺组织结构,并增加在双酚A接触结束50天后给予化学刺激时的致癌易感性。

https://cdn.ncbi.nlm.nih.gov/pmc/blobs/e658/1797838/0ea0e14bbd53/ehp0115-000080f1.jpg

文献AI研究员

20分钟写一篇综述,助力文献阅读效率提升50倍。

立即体验

用中文搜PubMed

大模型驱动的PubMed中文搜索引擎

马上搜索

文档翻译

学术文献翻译模型,支持多种主流文档格式。

立即体验