Suppr超能文献

微小隐孢子虫,一种可能导致结肠癌的病因。

Cryptosporidium parvum, a potential cause of colic adenocarcinoma.

作者信息

Certad Gabriela, Ngouanesavanh Tramy, Guyot Karine, Gantois Nausicaa, Chassat Thierry, Mouray Anthony, Fleurisse Laurence, Pinon Anthony, Cailliez Jean-Charles, Dei-Cas Eduardo, Creusy Colette

机构信息

Ecologie du Parasitisme (EA3609 Université de Lille 2), IFR 142, Institut Pasteur de Lille, Lille, France.

Cátedra de Parasitología, Escuela de Medicina "José María Vargas", Universidad Central de Venezuela (UCV), Caracas, Venezuela.

出版信息

Infect Agent Cancer. 2007 Nov 21;2:22. doi: 10.1186/1750-9378-2-22.

Abstract

BACKGROUND

Cryptosporidiosis represents a major public health problem. This infection has been reported worldwide as a frequent cause of diarrhoea. Particularly, it remains a clinically significant opportunistic infection among immunocompromised patients, causing potentially life-threatening diarrhoea in HIV-infected persons. However, the understanding about different aspects of this infection such as invasion, transmission and pathogenesis is problematic. Additionally, it has been difficult to find suitable animal models for propagation of this parasite. Efforts are needed to develop reproducible animal models allowing both the routine passage of different species and approaching unclear aspects of Cryptosporidium infection, especially in the pathophysiology field.

RESULTS

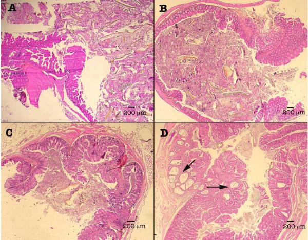
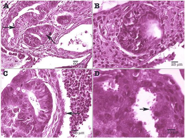
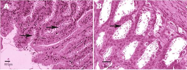
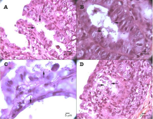
We developed a model using adult severe combined immunodeficiency (SCID) mice inoculated with Cryptosporidium parvum or Cryptosporidium muris while treated or not with Dexamethasone (Dex) in order to investigate divergences in prepatent period, oocyst shedding or clinical and histopathological manifestations. C. muris-infected mice showed high levels of oocysts excretion, whatever the chemical immunosuppression status. Pre-patent periods were 11 days and 9.7 days in average in Dex treated and untreated mice, respectively. Parasite infection was restricted to the stomach, and had a clear preferential colonization for fundic area in both groups. Among C. parvum-infected mice, Dex-treated SCID mice became chronic shedders with a prepatent period of 6.2 days in average. C. parvum-inoculated mice treated with Dex developed glandular cystic polyps with areas of intraepithelial neoplasia, and also with the presence of intramucosal adenocarcinoma.

CONCLUSION

For the first time C. parvum is associated with the formation of polyps and adenocarcinoma lesions in the gut of Dex-treated SCID mice. Additionally, we have developed a model to compare chronic muris and parvum cryptosporidiosis using SCID mice treated with corticoids. This reproducible model has facilitated the evaluation of clinical signs, oocyst shedding, location of the infection, pathogenicity, and histopathological changes in the gastrointestinal tract, indicating divergent effects of Dex according to Cryptosporidium species causing infection.

摘要

背景

隐孢子虫病是一个主要的公共卫生问题。这种感染在全球范围内都有报道,是腹泻的常见病因。特别是,它在免疫功能低下的患者中仍然是一种具有临床意义的机会性感染,可导致艾滋病毒感染者出现潜在的危及生命的腹泻。然而,对于这种感染的不同方面,如入侵、传播和发病机制的了解存在问题。此外,很难找到适合这种寄生虫繁殖的动物模型。需要努力开发可重复的动物模型,以便不同物种能够常规传代,并深入了解隐孢子虫感染的不明方面,特别是在病理生理学领域。

结果

我们开发了一种模型,使用接种微小隐孢子虫或鼠隐孢子虫的成年严重联合免疫缺陷(SCID)小鼠,并在治疗或未治疗的情况下使用地塞米松(Dex),以研究潜伏期、卵囊排出或临床及组织病理学表现的差异。无论化学免疫抑制状态如何,感染鼠隐孢子虫的小鼠都表现出高水平的卵囊排泄。在使用地塞米松治疗和未治疗的小鼠中,平均潜伏期分别为11天和9.7天。寄生虫感染局限于胃部,两组在胃底部都有明显的优先定植。在感染微小隐孢子虫的小鼠中,使用地塞米松治疗的SCID小鼠成为慢性排虫者,平均潜伏期为6.2天。用Dex治疗的接种微小隐孢子虫的小鼠出现了腺囊性息肉,并伴有上皮内瘤变区域,还存在黏膜内腺癌。

结论

首次发现微小隐孢子虫与使用地塞米松治疗的SCID小鼠肠道中的息肉和腺癌病变形成有关。此外,我们开发了一种模型,使用接受皮质类固醇治疗的SCID小鼠来比较慢性鼠隐孢子虫病和微小隐孢子虫病。这种可重复的模型有助于评估临床症状、卵囊排出、感染部位、致病性以及胃肠道的组织病理学变化,表明地塞米松根据引起感染的隐孢子虫种类产生不同的作用。

https://cdn.ncbi.nlm.nih.gov/pmc/blobs/6868/2217515/3a039da1d7e6/1750-9378-2-22-1.jpg

文献AI研究员

20分钟写一篇综述,助力文献阅读效率提升50倍。

立即体验

用中文搜PubMed

大模型驱动的PubMed中文搜索引擎

马上搜索

文档翻译

学术文献翻译模型,支持多种主流文档格式。

立即体验