Suppr超能文献

肌成纤维细胞:表型特征作为理解其在转化医学中功能的先决条件。

The myofibroblast: phenotypic characterization as a prerequisite to understanding its functions in translational medicine.

作者信息

Eyden B

机构信息

Department of Histopathology, Christie Hospital NHS Foundation Trust, Manchester, UK.

出版信息

J Cell Mol Med. 2008 Jan-Feb;12(1):22-37. doi: 10.1111/j.1582-4934.2007.00213.x. Epub 2007 Dec 22.

Abstract

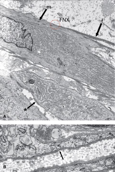
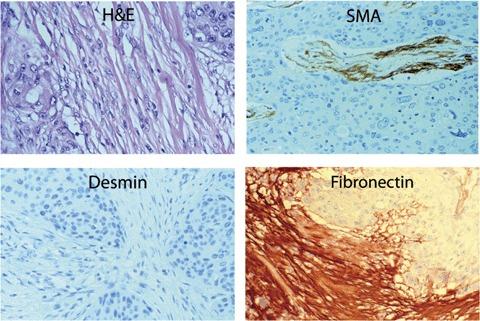
The phrase translational research' conveys the idea of the pursuit of applications for the treatment of human disease. The myofibroblast, long known for having a role in wound-healing, and for its presence in fibrotic conditions and tumour stroma, is becoming a focus for translational research, not least through its increasingly documented role as a tumour-promoting cell. In fibroproliferative conditions, cancer and tissue engineering, the myofibroblast, derived partly and possibly from circulating bone-marrow-derived cells and epithelial-to-mesenchymal transformation, is attracting great attention. In cancer, this cell was initially regarded as a barrier to tumour dissemination, but there is now a growing body of evidence to indicate that it is an active participant in tumour progression. While the involvement of the myofibroblast in these pathological processes is pushing the myofibroblast into the limelight of translational medicine as a target for potential anti-fibrotic and anti-cancer therapy, there are still numerous indications from the literature that the myofibroblast is a poorly understood cell in terms of its differentiation.Partly, this is due to a failure to appreciate the contribution of electron microscopy to understanding the nature of this cell. This paper, therefore, is devoted to detailing the principal phenotypic characteristics of the myofibroblast and promotes the argument that understanding how the myofibroblast carries out its roles in normal biological and in pathological processes will be enhanced by a sound understanding of its cellular differentiation, which in turn arguably demands a significant ultrastructural input.

摘要

“转化研究”这一术语表达了寻求人类疾病治疗应用的理念。肌成纤维细胞长期以来因其在伤口愈合中的作用以及在纤维化病症和肿瘤基质中的存在而为人所知,正成为转化研究的一个焦点,尤其是因其作为肿瘤促进细胞的作用越来越多地得到记载。在纤维增生性病症、癌症和组织工程中,部分可能源自循环骨髓衍生细胞和上皮 - 间充质转化的肌成纤维细胞正备受关注。在癌症中,这种细胞最初被视为肿瘤扩散的障碍,但现在有越来越多的证据表明它是肿瘤进展的积极参与者。虽然肌成纤维细胞参与这些病理过程使它作为潜在抗纤维化和抗癌治疗的靶点成为转化医学的焦点,但文献中仍有许多迹象表明,就其分化而言,肌成纤维细胞是一种了解甚少的细胞。部分原因在于未能认识到电子显微镜对理解这种细胞本质的贡献。因此,本文致力于详细阐述肌成纤维细胞的主要表型特征,并提出这样的观点:通过深入了解其细胞分化,将有助于增强对肌成纤维细胞在正常生物学和病理过程中如何发挥作用的理解,而这反过来又可以说需要大量的超微结构方面的知识输入。

https://cdn.ncbi.nlm.nih.gov/pmc/blobs/662f/3823470/6e65f90b037b/jcmm0012-0022-f2.jpg

文献AI研究员

20分钟写一篇综述,助力文献阅读效率提升50倍。

立即体验

用中文搜PubMed

大模型驱动的PubMed中文搜索引擎

马上搜索

文档翻译

学术文献翻译模型,支持多种主流文档格式。

立即体验