Suppr超能文献

剖析裂殖酵母有丝分裂期间凝缩蛋白在动粒和核糖体DNA处积累的关键步骤。

Dissection of the essential steps for condensin accumulation at kinetochores and rDNAs during fission yeast mitosis.

作者信息

Nakazawa Norihiko, Nakamura Takahiro, Kokubu Aya, Ebe Masahiro, Nagao Koji, Yanagida Mitsuhiro

机构信息

Core Research for Evolutional Science and Technology Research Program, Japan Science and Technology Corporation, Graduate School of Biostudies, Kyoto University, Sakyo-ku, Kyoto 606-8501, Japan.

出版信息

J Cell Biol. 2008 Mar 24;180(6):1115-31. doi: 10.1083/jcb.200708170.

Abstract

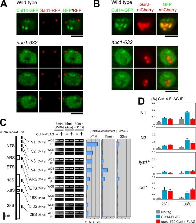
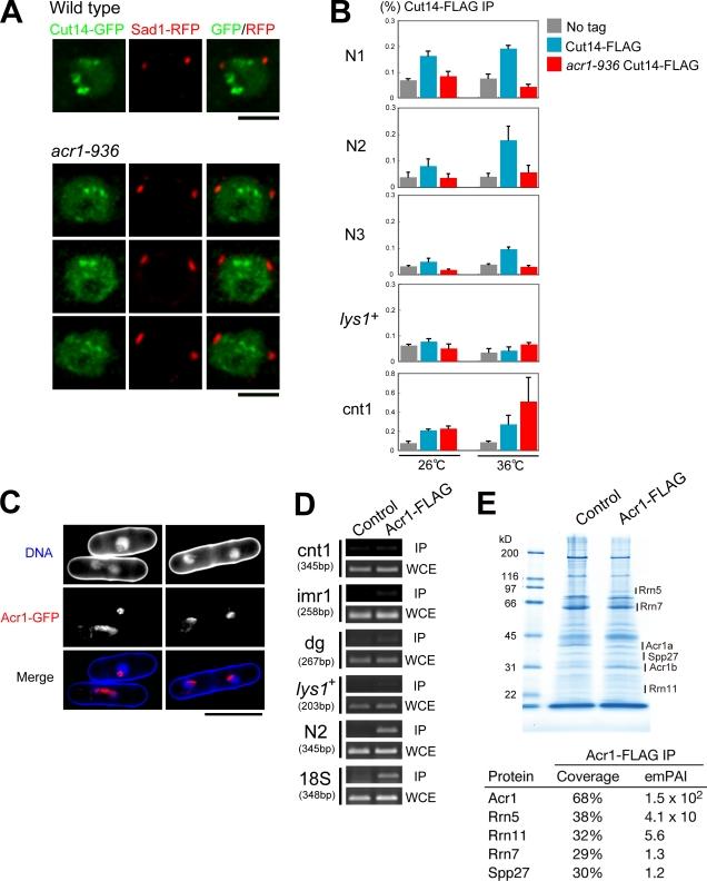
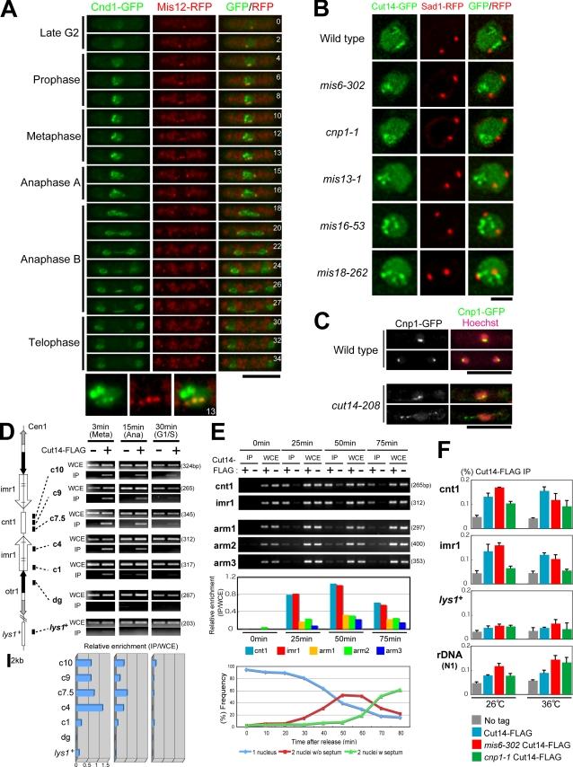
The condensin complex has a fundamental role in chromosome dynamics. In this study, we report that accumulation of Schizosaccharomyces pombe condensin at mitotic kinetochores and ribosomal DNAs (rDNAs) occurs in multiple steps and is necessary for normal segregation of the sister kinetochores and rDNAs. Nuclear entry of condensin at the onset of mitosis requires Cut15/importin alpha and Cdc2 phosphorylation. Ark1/aurora and Cut17/Bir1/survivin are needed to dock the condensin at both the kinetochores and rDNAs. Furthermore, proteins that are necessary to form the chromatin architecture of the kinetochores (Mis6, Cnp1, and Mis13) and rDNAs (Nuc1 and Acr1) are required for condensin to accumulate specifically at these sites. Acr1 (accumulation of condensin at rDNA 1) is an rDNA upstream sequence binding protein that physically interacts with Rrn5, Rrn11, Rrn7, and Spp27 and is required for the proper accumulation of Nuc1 at rDNAs. The mechanism of condensin accumulation at the kinetochores may be conserved, as human condensin II fails to accumulate at kinetochores in hMis6 RNA interference-treated cells.

摘要

凝缩素复合体在染色体动态变化中起着重要作用。在本研究中,我们报道粟酒裂殖酵母凝缩素在有丝分裂动粒和核糖体DNA(rDNA)上的积累分多个步骤进行,并且对于姐妹动粒和rDNA的正常分离是必需的。有丝分裂开始时凝缩素进入细胞核需要Cut15/输入蛋白α和Cdc2磷酸化。Ark1/极光激酶和Cut17/Bir1/生存素是凝缩素停靠在动粒和rDNA上所必需的。此外,凝缩素在这些位点特异性积累需要形成动粒(Mis6、Cnp1和Mis13)和rDNA(Nuc1和Acr1)染色质结构所必需的蛋白质。Acr1(凝缩素在rDNA 1处的积累)是一种rDNA上游序列结合蛋白,它与Rrn5、Rrn11、Rrn7和Spp27发生物理相互作用,并且是Nuc1在rDNA上正确积累所必需的。凝缩素在动粒上积累的机制可能是保守的,因为在经hMis6 RNA干扰处理的细胞中,人凝缩素II无法在动粒上积累。

https://cdn.ncbi.nlm.nih.gov/pmc/blobs/8427/2290841/2629bbeccb36/jcb1801115f01.jpg

文献AI研究员

20分钟写一篇综述,助力文献阅读效率提升50倍。

立即体验

用中文搜PubMed

大模型驱动的PubMed中文搜索引擎

马上搜索

文档翻译

学术文献翻译模型,支持多种主流文档格式。

立即体验