Suppr超能文献

Pdss2突变小鼠中的原发性辅酶Q缺乏导致孤立性肾病。

Primary coenzyme Q deficiency in Pdss2 mutant mice causes isolated renal disease.

作者信息

Peng Min, Falk Marni J, Haase Volker H, King Rhonda, Polyak Erzsebet, Selak Mary, Yudkoff Marc, Hancock Wayne W, Meade Ray, Saiki Ryoichi, Lunceford Adam L, Clarke Catherine F, Gasser David L

机构信息

Department of Genetics, University of Pennsylvania School of Medicine, Philadelphia, Pennsylvania, United States of America.

出版信息

PLoS Genet. 2008 Apr 25;4(4):e1000061. doi: 10.1371/journal.pgen.1000061.

Abstract

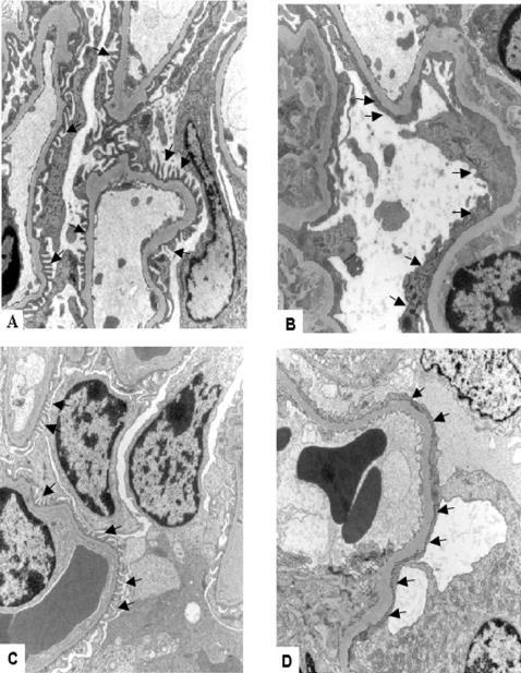
Coenzyme Q (CoQ) is an essential electron carrier in the respiratory chain whose deficiency has been implicated in a wide variety of human mitochondrial disease manifestations. Its multi-step biosynthesis involves production of polyisoprenoid diphosphate in a reaction that requires the enzymes be encoded by PDSS1 and PDSS2. Homozygous mutations in either of these genes, in humans, lead to severe neuromuscular disease, with nephrotic syndrome seen in PDSS2 deficiency. We now show that a presumed autoimmune kidney disease in mice with the missense Pdss2(kd/kd) genotype can be attributed to a mitochondrial CoQ biosynthetic defect. Levels of CoQ9 and CoQ10 in kidney homogenates from B6.Pdss2(kd/kd) mutants were significantly lower than those in B6 control mice. Disease manifestations originate specifically in glomerular podocytes, as renal disease is seen in Podocin/cre,Pdss2(loxP/loxP) knockout mice but not in conditional knockouts targeted to renal tubular epithelium, monocytes, or hepatocytes. Liver-conditional B6.Alb/cre,Pdss2(loxP/loxP) knockout mice have no overt disease despite demonstration that their livers have undetectable CoQ9 levels, impaired respiratory capacity, and significantly altered intermediary metabolism as evidenced by transcriptional profiling and amino acid quantitation. These data suggest that disease manifestations of CoQ deficiency relate to tissue-specific respiratory capacity thresholds, with glomerular podocytes displaying the greatest sensitivity to Pdss2 impairment.

摘要

辅酶Q(CoQ)是呼吸链中一种重要的电子载体,其缺乏与多种人类线粒体疾病表现有关。它的多步生物合成涉及聚异戊二烯二磷酸的产生,该反应需要由PDSS1和PDSS2编码的酶。在人类中,这两个基因中任何一个的纯合突变都会导致严重的神经肌肉疾病,在PDSS2缺乏症中会出现肾病综合征。我们现在表明,具有错义Pdss2(kd/kd)基因型的小鼠中推测的自身免疫性肾脏疾病可归因于线粒体CoQ生物合成缺陷。B6.Pdss2(kd/kd)突变体肾脏匀浆中CoQ9和CoQ10的水平显著低于B6对照小鼠。疾病表现特别起源于肾小球足细胞,因为在Podocin/cre,Pdss2(loxP/loxP)基因敲除小鼠中可见肾脏疾病,而在靶向肾小管上皮细胞、单核细胞或肝细胞的条件性敲除小鼠中则未出现。肝脏条件性B6.Alb/cre,Pdss2(loxP/loxP)基因敲除小鼠没有明显疾病,尽管证明它们的肝脏中CoQ9水平无法检测到,呼吸能力受损,并且通过转录谱分析和氨基酸定量证明中间代谢有显著改变。这些数据表明,CoQ缺乏的疾病表现与组织特异性呼吸能力阈值有关,肾小球足细胞对Pdss2损伤表现出最大的敏感性。

https://cdn.ncbi.nlm.nih.gov/pmc/blobs/7e2b/2291193/bb40ad762556/pgen.1000061.g001.jpg

文献AI研究员

20分钟写一篇综述,助力文献阅读效率提升50倍。

立即体验

用中文搜PubMed

大模型驱动的PubMed中文搜索引擎

马上搜索

文档翻译

学术文献翻译模型,支持多种主流文档格式。

立即体验