Suppr超能文献

犬类和人类骨肉瘤中信号转导和转录激活因子3(STAT3)激活及表达的特征分析

Characterization of STAT3 activation and expression in canine and human osteosarcoma.

作者信息

Fossey Stacey L, Liao Albert T, McCleese Jennifer K, Bear Misty D, Lin Jiayuh, Li Pui-Kai, Kisseberth William C, London Cheryl A

机构信息

Department of Veterinary Biosciences, College of Veterinary Medicine, The Ohio State University, Columbus, OH, USA.

出版信息

BMC Cancer. 2009 Mar 10;9:81. doi: 10.1186/1471-2407-9-81.

Abstract

BACKGROUND

Dysregulation of signal transducer and activator of transcription 3 (STAT3) has been implicated as a key participant in tumor cell survival, proliferation, and metastasis and is often correlated with a more malignant tumor phenotype. STAT3 phosphorylation has been demonstrated in a subset of human osteosarcoma (OSA) tissues and cell lines. OSA in the canine population is known to exhibit a similar clinical behavior and molecular biology when compared to its human counterpart, and is often used as a model for preclinical testing of novel therapeutics. The purpose of this study was to investigate the potential role of STAT3 in canine and human OSA, and to evaluate the biologic activity of a novel small molecule STAT3 inhibitor.

METHODS

To examine STAT3 and Src expression in OSA, we performed Western blotting and RT-PCR. OSA cells were treated with either STAT3 siRNA or small molecule Src (SU6656) or STAT3 (LLL3) inhibitors and cell proliferation (CyQUANT), caspase 3/7 activity (ELISA), apoptosis (Western blotting for PARP cleavage) and/or viability (Wst-1) were determined. Additionally, STAT3 DNA binding after treatment was determined using EMSA. Expression of STAT3 targets after treatment was demonstrated with Western blotting, RT-PCR, or gel zymography.

RESULTS

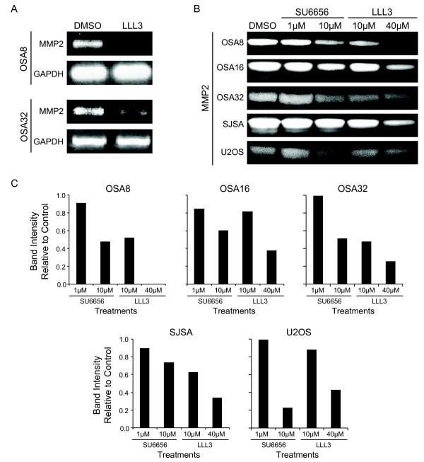
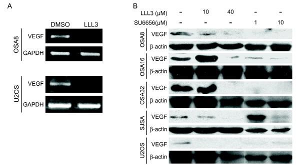
Our data demonstrate that constitutive activation of STAT3 is present in a subset of canine OSA tumors and human and canine cell lines, but not normal canine osteoblasts. In both canine and human OSA cell lines, downregulation of STAT3 activity through inhibition of upstream Src family kinases using SU6656, inhibition of STAT3 DNA binding and transcriptional activities using LLL3, or modulation of STAT3 expression using siRNA, all resulted in decreased cell proliferation and viability, ultimately inducing caspase-3/7 mediated apoptosis in treated cells. Furthermore, inhibition of either Src or STAT3 activity downregulated the expression of survivin, VEGF, and MMP2, all known transcriptional targets of STAT3.

CONCLUSION

These data suggest that STAT3 activation contributes to the survival and proliferation of human and canine OSA cells, thereby providing a potentially promising target for therapeutic intervention. Future investigational trials of LLL3 in dogs with spontaneous OSA will help to more accurately define the role of STAT3 in the clinical setting.

摘要

背景

信号转导和转录激活因子3(STAT3)的失调被认为是肿瘤细胞存活、增殖和转移的关键参与者,并且通常与更恶性的肿瘤表型相关。STAT3磷酸化已在一部分人骨肉瘤(OSA)组织和细胞系中得到证实。已知犬类的OSA与人类的OSA相比表现出相似的临床行为和分子生物学特性,并且常被用作新型治疗药物临床前测试的模型。本研究的目的是调查STAT3在犬类和人类OSA中的潜在作用,并评估一种新型小分子STAT3抑制剂的生物活性。

方法

为了检测OSA中STAT3和Src的表达,我们进行了蛋白质免疫印迹法和逆转录聚合酶链反应。用STAT3小干扰RNA或小分子Src(SU6656)或STAT3(LLL3)抑制剂处理OSA细胞,然后测定细胞增殖(CyQUANT)、半胱天冬酶3/7活性(酶联免疫吸附测定)、细胞凋亡(通过蛋白质免疫印迹法检测聚(ADP-核糖)聚合酶裂解)和/或细胞活力(Wst-1)。此外,使用电泳迁移率变动分析测定处理后STAT3的DNA结合情况。用蛋白质免疫印迹法、逆转录聚合酶链反应或凝胶酶谱法证明处理后STAT3靶标的表达。

结果

我们的数据表明,STAT3的组成性激活存在于一部分犬类OSA肿瘤以及人类和犬类细胞系中,但在正常犬成骨细胞中不存在。在犬类和人类OSA细胞系中,通过使用SU6656抑制上游Src家族激酶来下调STAT3活性,通过使用LLL3抑制STAT3的DNA结合和转录活性,或使用小干扰RNA调节STAT3表达,均导致细胞增殖和活力降低,最终在处理的细胞中诱导半胱天冬酶-3/7介导的细胞凋亡。此外,抑制Src或STAT3活性会下调生存素、血管内皮生长因子和基质金属蛋白酶2的表达,这些都是已知的STAT3转录靶标。

结论

这些数据表明,STAT3激活有助于人类和犬类OSA细胞的存活和增殖,从而为治疗干预提供了一个潜在的有前景的靶点。未来对患有自发性OSA的犬进行LLL3的研究试验将有助于更准确地确定STAT3在临床环境中的作用。

https://cdn.ncbi.nlm.nih.gov/pmc/blobs/4966/2666757/3c175936f6c9/1471-2407-9-81-1.jpg

文献AI研究员

20分钟写一篇综述,助力文献阅读效率提升50倍。

立即体验

用中文搜PubMed

大模型驱动的PubMed中文搜索引擎

马上搜索

文档翻译

学术文献翻译模型,支持多种主流文档格式。

立即体验