Suppr超能文献

非扩增脂肪基质血管成分细胞疗法治疗多发性硬化症

Non-expanded adipose stromal vascular fraction cell therapy for multiple sclerosis.

作者信息

Riordan Neil H, Ichim Thomas E, Min Wei-Ping, Wang Hao, Solano Fabio, Lara Fabian, Alfaro Miguel, Rodriguez Jorge Paz, Harman Robert J, Patel Amit N, Murphy Michael P, Lee Roland R, Minev Boris

机构信息

Medistem Inc, San Diego, CA, USA.

出版信息

J Transl Med. 2009 Apr 24;7:29. doi: 10.1186/1479-5876-7-29.

Abstract

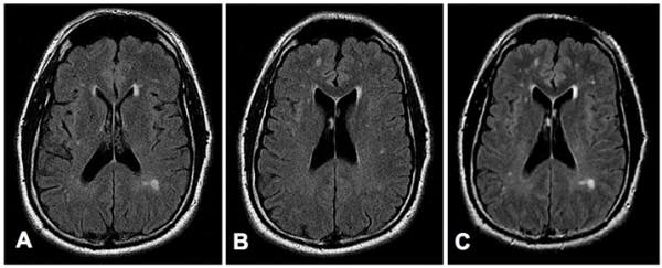
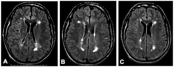
The stromal vascular fraction (SVF) of adipose tissue is known to contain mesenchymal stem cells (MSC), T regulatory cells, endothelial precursor cells, preadipocytes, as well as anti-inflammatory M2 macrophages. Safety of autologous adipose tissue implantation is supported by extensive use of this procedure in cosmetic surgery, as well as by ongoing studies using in vitro expanded adipose derived MSC. Equine and canine studies demonstrating anti-inflammatory and regenerative effects of non-expanded SVF cells have yielded promising results. Although non-expanded SVF cells have been used successfully in accelerating healing of Crohn's fistulas, to our knowledge clinical use of these cells for systemic immune modulation has not been reported. In this communication we discuss the rationale for use of autologous SVF in treatment of multiple sclerosis and describe our experiences with three patients. Based on this rationale and initial experiences, we propose controlled trials of autologous SVF in various inflammatory conditions.

摘要

已知脂肪组织的基质血管成分(SVF)包含间充质干细胞(MSC)、调节性T细胞、内皮祖细胞、前脂肪细胞以及抗炎性M2巨噬细胞。自体脂肪组织植入的安全性得到了该手术在整形手术中的广泛应用以及使用体外扩增的脂肪来源MSC的正在进行的研究所支持。马和犬的研究表明未扩增的SVF细胞具有抗炎和再生作用,已产生了有前景的结果。尽管未扩增的SVF细胞已成功用于加速克罗恩瘘管的愈合,但据我们所知,尚未有关于这些细胞用于全身免疫调节的临床应用报道。在本交流中,我们讨论了使用自体SVF治疗多发性硬化症的基本原理,并描述了我们对三名患者的经验。基于这一基本原理和初步经验,我们提议对自体SVF在各种炎症性疾病中的应用进行对照试验。

https://cdn.ncbi.nlm.nih.gov/pmc/blobs/567b/2679713/3616f40c0c8e/1479-5876-7-29-1.jpg

文献AI研究员

20分钟写一篇综述,助力文献阅读效率提升50倍。

立即体验

用中文搜PubMed

大模型驱动的PubMed中文搜索引擎

马上搜索

文档翻译

学术文献翻译模型,支持多种主流文档格式。

立即体验