Suppr超能文献

角蛋白19在犬类和人类肝细胞肿瘤中标志着低分化和更具侵袭性的行为。

Keratin 19 marks poor differentiation and a more aggressive behaviour in canine and human hepatocellular tumours.

作者信息

van Sprundel Renee G H M, van den Ingh Ted S G A M, Desmet Valeer J, Katoonizadeh Azeam, Penning Louis C, Rothuizen Jan, Roskams Tania, Spee Bart

机构信息

Department of Clinical Sciences of Companion Animals, Faculty of Veterinary medicine, Utrecht University, Utrecht, The Netherlands.

出版信息

Comp Hepatol. 2010 Feb 18;9(1):4. doi: 10.1186/1476-5926-9-4.

Abstract

BACKGROUND

The expression of Keratin 19 (K19) was reported in a subset of hepatocellular carcinomas (HCCs). K19 positive HCCs are associated with an increased malignancy compared to K19 negative HCCs. No suitable mouse models exist for this subtype of HCC, nor is the incidence of K19 expression in hepatocellular neoplasia in model animals known. Therefore, we compared the occurrence and tumour behaviour of K19 positive hepatocellular neoplasias in dog and man.

RESULTS

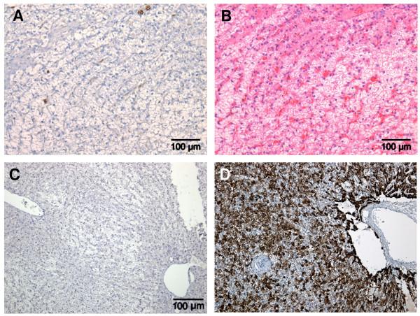
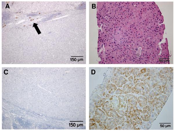
The expression of hepatocellular differentiation (HepPar-1), biliary/progenitor cell (K7, K19), and malignancy (glypican-3) markers was semi-quantitatively assessed by immunohistochemistry. The histological grade of tumour differentiation was determined according to a modified classification of Edmondson and Steiner; the staging included intrahepatic, lymph node or distant metastases. Four of the 34 canine hepatocellular neoplasias showed K19 positivity (12%), of which two co-expressed K7. K19 positive tumours did not express HepPar-1, despite the histological evidence of a hepatocellular origin. Like in human HCC, all K19 positive hepatocellular neoplasias were glypican-3 positive and histologically poorly differentiated and revealed intra- or extrahepatic metastases whereas K19 negative hepatocellular neoplasias did not.

CONCLUSIONS

K19 positive hepatocellular neoplasias are highly comparable to man and occur in 12% of canine hepatocellular tumours and are associated with a poorly differentiated histology and aggressive tumour behaviour.

摘要

背景

据报道,角蛋白19(K19)在一部分肝细胞癌(HCC)中表达。与K19阴性的HCC相比,K19阳性的HCC恶性程度更高。目前尚无适合该亚型HCC的小鼠模型,也不清楚模型动物肝细胞瘤变中K19表达的发生率。因此,我们比较了犬和人类K19阳性肝细胞瘤变的发生情况和肿瘤行为。

结果

通过免疫组织化学对半定量评估肝细胞分化(HepPar-1)、胆管/祖细胞(K7、K19)和恶性肿瘤(磷脂酰肌醇蛋白聚糖-3)标志物的表达。根据改良的埃德蒙森和斯坦纳分类法确定肿瘤分化的组织学分级;分期包括肝内、淋巴结或远处转移。34例犬肝细胞瘤变中有4例显示K19阳性(12%),其中2例同时表达K7。尽管组织学证据显示为肝细胞起源,但K19阳性肿瘤不表达HepPar-1。与人类HCC一样,所有K19阳性肝细胞瘤变均为磷脂酰肌醇蛋白聚糖-3阳性,组织学分化差,并显示肝内或肝外转移,而K19阴性肝细胞瘤变则无此表现。

结论

K19阳性肝细胞瘤变与人类高度相似,在12%的犬肝细胞肿瘤中出现,且与组织学分化差和侵袭性肿瘤行为相关。

https://cdn.ncbi.nlm.nih.gov/pmc/blobs/7b5f/2834617/209d8253da26/1476-5926-9-4-1.jpg

文献AI研究员

20分钟写一篇综述,助力文献阅读效率提升50倍。

立即体验

用中文搜PubMed

大模型驱动的PubMed中文搜索引擎

马上搜索

文档翻译

学术文献翻译模型,支持多种主流文档格式。

立即体验