Suppr超能文献

毛发石的管理:病例报告与文献综述

Management of trichobezoar: case report and literature review.

作者信息

Gorter R R, Kneepkens C M F, Mattens E C J L, Aronson D C, Heij H A

机构信息

Pediatric Surgical Center of Amsterdam, Emma Children's Hospital AMC and VU University Medical Center, P.O. Box 22660, 1100 DD, Amsterdam, The Netherlands.

出版信息

Pediatr Surg Int. 2010 May;26(5):457-63. doi: 10.1007/s00383-010-2570-0. Epub 2010 Mar 6.

Abstract

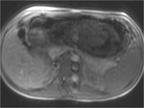
Trichobezoars (hair ball) are usually located in the stomach, but may extend through the pylorus into the duodenum and small bowel (Rapunzel syndrome). They are almost always associated with trichotillomania and trichophagia or other psychiatric disorders. In the literature several treatment options are proposed, including removal by conventional laparotomy, laparoscopy and endoscopy. We present our experience with four patients and provide a review of the recent literature. According to our experience and in line with the published results, conventional laparotomy is still the treatment of choice. In addition, psychiatric consultation is necessary to prevent relapses.

摘要

毛发石(毛球)通常位于胃内,但可能通过幽门延伸至十二指肠和小肠(长发公主综合征)。它们几乎总是与拔毛癖和食毛症或其他精神障碍相关。文献中提出了几种治疗选择,包括传统剖腹手术、腹腔镜手术和内镜检查。我们介绍了我们对四名患者的治疗经验,并对近期文献进行了综述。根据我们的经验并与已发表的结果一致,传统剖腹手术仍是首选治疗方法。此外,需要精神科会诊以防止复发。

https://cdn.ncbi.nlm.nih.gov/pmc/blobs/b619/2856853/202ed10e2be1/383_2010_2570_Fig1_HTML.jpg

文献AI研究员

20分钟写一篇综述,助力文献阅读效率提升50倍。

立即体验

用中文搜PubMed

大模型驱动的PubMed中文搜索引擎

马上搜索

文档翻译

学术文献翻译模型,支持多种主流文档格式。

立即体验