Suppr超能文献

Src 激酶的激活对于 MDA-9/syntenin 介导的核因子-κB 的激活是必需的。

Src kinase activation is mandatory for MDA-9/syntenin-mediated activation of nuclear factor-kappaB.

机构信息

Department of Human and Molecular Genetics, Virginia Commonwealth University, Richmond, VA, USA.

出版信息

Oncogene. 2010 May 27;29(21):3054-66. doi: 10.1038/onc.2010.65. Epub 2010 Mar 15.

Abstract

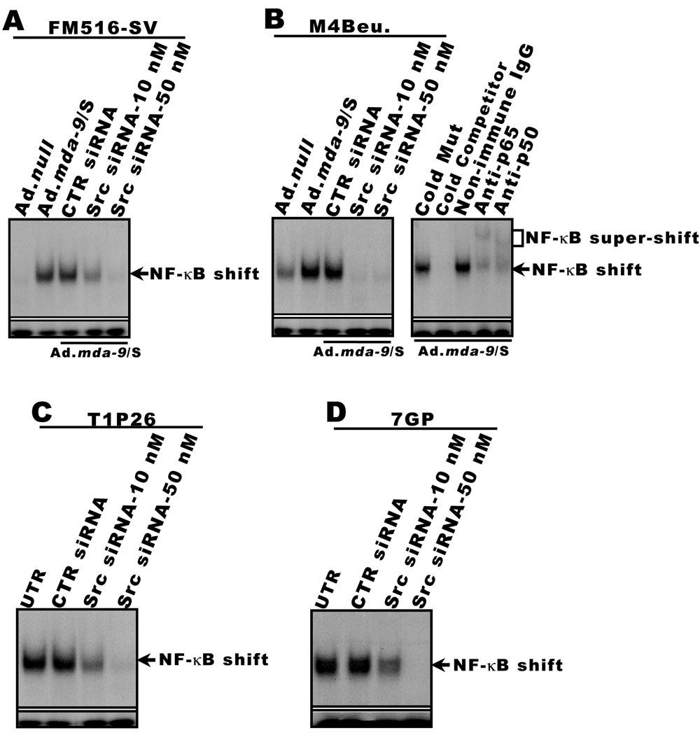
The scaffolding postsynaptic density-95/disks large/zonula occludens-1 (PDZ) domain-containing protein melanoma differentiation associated gene-9 (MDA-9)/syntenin is a tandem PDZ protein overexpressed in human melanoma, and breast and gastric cancer cells. MDA-9/syntenin affects cancer cell motility and invasion through distinct biochemical and signaling pathways, including focal adhesion kinase and p38 mitogen-activated protein kinase (MAPK), resulting in activation of the nuclear factor (NF)-kappaB pathway. MDA-9/syntenin also promotes melanoma metastasis by activating c-Src, but how c-Src regulates NF-kappaB activation is unclear. Using a human melanoma model, we document that MDA-9/syntenin-c-Src interactions are positive regulators of NF-kappaB activation. Inhibition of c-Src by PP2 treatment, by blocking c-Src or mda-9/syntenin expression with small interfering RNA, or in c-Src (-/-) knockout cell lines, reduces NF-kappaB activation following overexpression of mda-9/syntenin or c-Src. Deletion or point mutations of the PDZ binding motif preventing MDA-9/syntenin association with c-Src reveals that both PDZ domains, with PDZ2 being the dominant module, are required for activating downstream signaling pathways, including p38 MAPK and NF-kappaB. We also document that MDA-9/syntenin-c-Src complexes functionally cooperate with NF-kappaB to promote anchorage-independent growth, motility and invasion of melanoma cells. These findings underscore PDZ domains of MDA-9/syntenin as promising potential therapeutic targets for intervening in a decisive component of cancer progression, namely, metastatic tumor spread.

摘要

支架后突触密度-95/盘状结构域大/闭合蛋白-1(PDZ)结构域包含蛋白黑色素瘤分化相关基因-9(MDA-9)/衔接蛋白是一种串联 PDZ 蛋白,在人类黑色素瘤、乳腺癌和胃癌细胞中过表达。MDA-9/衔接蛋白通过不同的生化和信号通路,包括粘着斑激酶和 p38 丝裂原活化蛋白激酶(MAPK),影响癌细胞的运动和侵袭,从而激活核因子(NF)-kappaB 通路。MDA-9/衔接蛋白还通过激活 c-Src 促进黑色素瘤转移,但 c-Src 如何调节 NF-kappaB 激活尚不清楚。使用人黑色素瘤模型,我们记录到 MDA-9/衔接蛋白-c-Src 相互作用是 NF-kappaB 激活的正调节剂。用 PP2 处理抑制 c-Src,用小干扰 RNA 阻断 c-Src 或 mda-9/syntenin 的表达,或在 c-Src(-/-)敲除细胞系中,减少 mda-9/syntenin 或 c-Src 过表达后 NF-kappaB 的激活。PDZ 结合基序的缺失或点突变,防止 MDA-9/衔接蛋白与 c-Src 结合,揭示两个 PDZ 结构域,PDZ2 是主要模块,都需要激活下游信号通路,包括 p38 MAPK 和 NF-kappaB。我们还记录到 MDA-9/衔接蛋白-c-Src 复合物与 NF-kappaB 协同作用,促进黑色素瘤细胞的无锚定生长、运动和侵袭。这些发现强调了 MDA-9/衔接蛋白的 PDZ 结构域作为有前途的潜在治疗靶点,可干预癌症进展的决定性组成部分,即转移性肿瘤扩散。

https://cdn.ncbi.nlm.nih.gov/pmc/blobs/3d9d/2878370/00c2328d17f0/nihms175145f1.jpg

文献AI研究员

20分钟写一篇综述,助力文献阅读效率提升50倍。

立即体验

用中文搜PubMed

大模型驱动的PubMed中文搜索引擎

马上搜索

文档翻译

学术文献翻译模型,支持多种主流文档格式。

立即体验