Suppr超能文献

Mda-9/syntenin 在葡萄膜黑色素瘤中表达,并与转移进展相关。

Mda-9/syntenin is expressed in uveal melanoma and correlates with metastatic progression.

机构信息

Immunological Therapy Laboratory, National Cancer Research Institute, University Hospital San Martino, Genoa, Italy.

出版信息

PLoS One. 2012;7(1):e29989. doi: 10.1371/journal.pone.0029989. Epub 2012 Jan 13.

Abstract

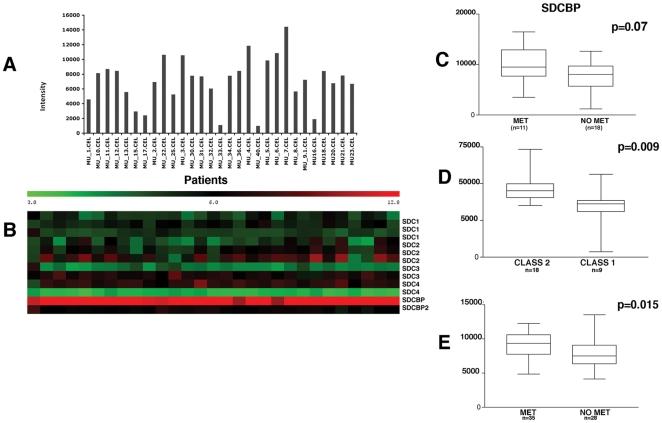
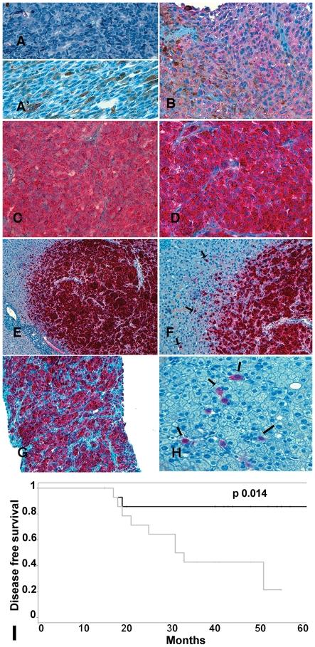
Uveal melanoma is an aggressive cancer that metastasizes to the liver in about half of the patients, with a high lethality rate. Identification of patients at high risk of metastases may provide indication for a frequent follow-up for early detection of metastases and treatment. The analysis of the gene expression profiles of primary human uveal melanomas showed high expression of SDCBP gene (encoding for syndecan-binding protein-1 or mda-9/syntenin), which appeared higher in patients with recurrence, whereas expression of syndecans was lower and unrelated to progression. Moreover, we found that high expression of SDCBP gene was related to metastatic progression in two additional independent datasets of uveal melanoma patients. More importantly, immunohistochemistry showed that high expression of mda-9/syntenin protein in primary tumors was significantly related to metastatic recurrence in our cohort of patients. Mda-9/syntenin expression was confirmed by RT-PCR, immunofluorescence and immunohistochemistry in cultured uveal melanoma cells or primary tumors. Interestingly, mda-9/syntenin showed both cytoplasmic and nuclear localization in cell lines and in a fraction of patients, suggesting its possible involvement in nuclear functions. A pseudo-metastatic model of uveal melanoma to the liver was developed in NOD/SCID/IL2Rγ null mice and the study of mda-9/syntenin expression in primary and metastatic lesions revealed higher mda-9/syntenin in metastases. The inhibition of SDCBP expression by siRNA impaired the ability of uveal melanoma cells to migrate in a wound-healing assay. Moreover, silencing of SDCBP in mda-9/syntenin-high uveal melanoma cells inhibited the hepatocyte growth factor (HGF)-triggered invasion of matrigel membranes and inhibited the activation of FAK, AKT and Src. Conversely syntenin overexpression in mda-9/syntenin-low uveal melanoma cells mediated opposite effects. These results suggest that mda-9/syntenin is involved in uveal melanoma progression and that it warrants further investigation as a candidate molecular marker of metastases and a potential therapeutic target.

摘要

葡萄膜黑色素瘤是一种侵袭性癌症,约有一半的患者会转移到肝脏,致死率很高。识别出高转移风险的患者可能有助于频繁随访,以便早期发现转移并进行治疗。对原发性人眼葡萄膜黑色素瘤的基因表达谱进行分析显示,SDCBP 基因(编码 syndecan 结合蛋白-1 或 mda-9/syntenin)表达水平较高,而在复发患者中表达水平更高,而 syndecans 的表达水平较低,与进展无关。此外,我们发现,在另外两个独立的眼葡萄膜黑色素瘤患者数据集,SDCBP 基因的高表达与转移进展有关。更重要的是,免疫组化显示,原发肿瘤中 mda-9/syntenin 蛋白的高表达与我们的患者队列中的转移复发显著相关。通过 RT-PCR、免疫荧光和免疫组化在培养的眼葡萄膜黑色素瘤细胞或原发肿瘤中证实了 mda-9/syntenin 的表达。有趣的是,mda-9/syntenin 在细胞系和一部分患者中显示出细胞质和核定位,提示其可能参与核功能。在 NOD/SCID/IL2Rγ 缺陷小鼠中建立了眼葡萄膜黑色素瘤向肝脏的假转移模型,并在原发和转移病变中研究了 mda-9/syntenin 的表达,结果显示转移灶中 mda-9/syntenin 的表达更高。siRNA 抑制 SDCBP 表达可削弱眼葡萄膜黑色素瘤细胞在划痕愈合试验中的迁移能力。此外,在 mda-9/syntenin 高表达的眼葡萄膜黑色素瘤细胞中沉默 SDCBP 可抑制肝细胞生长因子(HGF)触发的基质胶膜侵袭,并抑制 FAK、AKT 和 Src 的激活。相反,mda-9/syntenin 低表达的眼葡萄膜黑色素瘤细胞中转基因表达则产生相反的效果。这些结果表明,mda-9/syntenin 参与了眼葡萄膜黑色素瘤的进展,值得进一步研究,作为转移的候选分子标志物和潜在的治疗靶点。

https://cdn.ncbi.nlm.nih.gov/pmc/blobs/adf3/3258266/c82fc6767843/pone.0029989.g001.jpg

文献AI研究员

20分钟写一篇综述,助力文献阅读效率提升50倍。

立即体验

用中文搜PubMed

大模型驱动的PubMed中文搜索引擎

马上搜索

文档翻译

学术文献翻译模型,支持多种主流文档格式。

立即体验