Suppr超能文献

缺氧诱导因子调节破骨细胞介导的骨吸收:血管生成素样蛋白 4 的作用。

Hypoxia-inducible factor regulates osteoclast-mediated bone resorption: role of angiopoietin-like 4.

机构信息

Botnar Research Centre, University of Oxford, Nuffield Orthopaedic Centre, Headington, Oxford, OX3 7LD, UK.

出版信息

FASEB J. 2010 Dec;24(12):4648-59. doi: 10.1096/fj.10-162230. Epub 2010 Jul 28.

Abstract

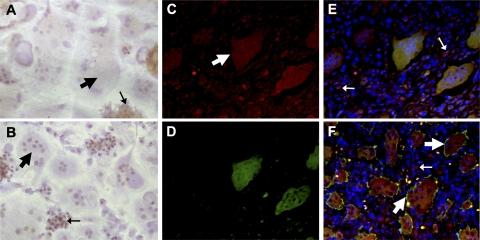
Hypoxia and the hypoxia-inducible factor (HIF) transcription factor regulate angiogenic-osteogenic coupling and osteoclast-mediated bone resorption. To determine how HIF might coordinate osteoclast and osteoblast function, we studied angiopoietin-like 4 (ANGPTL4), the top HIF target gene in an Illumina HumanWG-6 v3.0 48k array of normoxic vs. hypoxic osteoclasts differentiated from human CD14(+) monocytes (14.3-fold induction, P<0.0004). ANGPTL4 mRNA and protein were induced by 24 h at 2% O(2) in human primary osteoclasts, monocytes, and osteoblasts. ANGPTL4 protein was observed by immunofluorescence in osteoclasts and osteoblasts in vivo. Normoxic inducers of HIF (CoCl(2), desferrioxamine, and l-mimosine) and 100 ng/ml ANGPTL4 stimulated osteoclastic resorption 2- to 3-fold in assays of lacunar dentine resorption, without affecting osteoclast viability. Isoform-specific HIF-1α small interfering RNA ablated hypoxic induction of ANGPTL4 and of resorption, which was rescued by addition of exogenous ANGPTL4 (P<0.001). In the osteoblastic Saos2 cell line, ANGPTL4 caused a dose-dependent increase in proliferation (P<0.01, 100 ng/ml) and, at lower doses (1-25 ng/ml), mineralization. These results demonstrate that HIF is sufficient to enhance osteoclast-mediated bone resorption and that ANGPTL4 can compensate for HIF-1α deficiency with respect to stimulation of osteoclast activity and also augments osteoblast proliferation and differentiation.

摘要

缺氧和缺氧诱导因子(HIF)转录因子调节血管生成-成骨偶联和破骨细胞介导的骨吸收。为了确定 HIF 如何协调破骨细胞和成骨细胞的功能,我们研究了血管生成素样 4(ANGPTL4),这是缺氧与常氧条件下分化的人 CD14(+)单核细胞中的 HIF 的顶级靶基因之一(在 Illumina HumanWG-6 v3.0 48k 芯片中诱导 14.3 倍,P<0.0004)。ANGPTL4 mRNA 和蛋白在 2% O2 下培养 24 小时后可在人原代破骨细胞、单核细胞和成骨细胞中诱导。ANGPTL4 蛋白在体内破骨细胞和成骨细胞中通过免疫荧光观察到。常氧条件下的 HIF 诱导剂(CoCl2、去铁胺和 L-肉碱)和 100ng/ml ANGPTL4 在腔隙牙本质吸收测定中刺激破骨细胞吸收增加 2-3 倍,而不影响破骨细胞活力。HIF-1α 特异性 siRNA 消除了 ANGPTL4 和吸收的缺氧诱导,而添加外源性 ANGPTL4 可恢复(P<0.001)。在成骨细胞 Saos2 细胞系中,ANGPTL4 导致增殖呈剂量依赖性增加(P<0.01,100ng/ml),并且在较低剂量(1-25ng/ml)下,也会导致矿化。这些结果表明 HIF 足以增强破骨细胞介导的骨吸收,并且 ANGPTL4 可以通过刺激破骨细胞活性来补偿 HIF-1α 的缺乏,同时还可以增加成骨细胞的增殖和分化。

https://cdn.ncbi.nlm.nih.gov/pmc/blobs/3c82/2992372/03788f94cd68/z380121080330001.jpg

文献AI研究员

20分钟写一篇综述,助力文献阅读效率提升50倍。

立即体验

用中文搜PubMed

大模型驱动的PubMed中文搜索引擎

马上搜索

文档翻译

学术文献翻译模型,支持多种主流文档格式。

立即体验