Suppr超能文献

磁共振成像评估小鼠锥虫病血脑屏障损伤。

Magnetic resonance imaging to assess blood-brain barrier damage in murine trypanosomiasis.

机构信息

Institute of Infection, Immunity and Inflammation, College of Medical, Veterinary and Life Sciences, University of Glasgow, Glasgow, United Kingdom.

出版信息

Am J Trop Med Hyg. 2011 Feb;84(2):344-50. doi: 10.4269/ajtmh.2011.10-0487.

Abstract

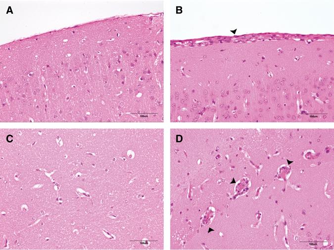
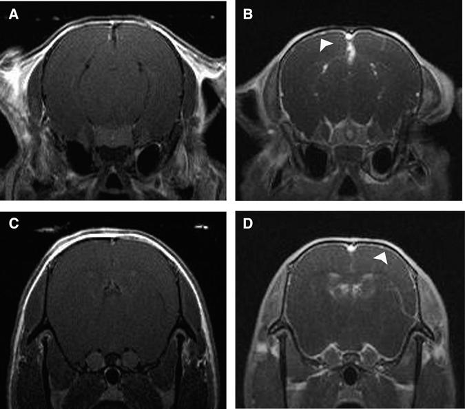
The ability of trypanosomes to invade the brain and induce an inflammatory reaction is well-recognized. This study uses magnetic resonance imaging (MRI) in conjunction with a murine model of central nervous system (CNS) stage trypanosomiasis to investigate this phenomenon at the level of the blood-brain barrier (BBB). Mice were scanned before and after administration of the contrast agent. Signal enhancement maps were generated, and the percentage signal change was calculated. The severity of the neuroinflammation was also assessed. Statistical analysis of the signal change data revealed a significantly (P = 0.028) higher signal enhancement in mice at 28 days post-infection (least squares mean = 26.709) compared with uninfected animals (6.298), indicating the presence of BBB impairment. Leukocytes were found in the meninges and perivascular space of some blood vessels in the infected mice. This study shows that the integrity of the BBB is compromised during CNS stage trypanosomiasis and that the impairment does not correlate with inflammatory cell infiltration.

摘要

锥虫侵入大脑并引发炎症反应的能力是众所周知的。本研究使用磁共振成像(MRI)结合中枢神经系统(CNS)阶段锥虫病的小鼠模型,在血脑屏障(BBB)水平上研究这一现象。在给予造影剂之前和之后对小鼠进行扫描。生成信号增强图,并计算信号变化的百分比。还评估了神经炎症的严重程度。信号变化数据的统计分析显示,感染后 28 天的小鼠(最小二乘均值= 26.709)与未感染动物(6.298)相比,信号增强显著(P = 0.028),表明存在 BBB 损伤。在感染小鼠的脑膜和一些血管的血管周围空间中发现了白细胞。这项研究表明,在中枢神经系统阶段锥虫病期间 BBB 的完整性受到损害,并且这种损害与炎症细胞浸润无关。

https://cdn.ncbi.nlm.nih.gov/pmc/blobs/264e/3029195/4d3f18c681a2/tropmed-84-344-g001.jpg

文献AI研究员

20分钟写一篇综述,助力文献阅读效率提升50倍。

立即体验

用中文搜PubMed

大模型驱动的PubMed中文搜索引擎

马上搜索

文档翻译

学术文献翻译模型,支持多种主流文档格式。

立即体验