Suppr超能文献

感染布氏锥虫的小鼠巨脾的磁共振成像序列。

Serial magnetic resonance imaging of splenomegaly in the Trypanosoma brucei infected mouse.

机构信息

Institute of Medical and Biological Engineering, School of Mechanical Engineering, University of Leeds, Leeds, United Kingdom.

Glasgow Experimental MRI Centre, Institute of Neuroscience and Psychology, University of Glasgow, Glasgow, United Kingdom.

出版信息

PLoS Negl Trop Dis. 2022 Dec 7;16(12):e0010962. doi: 10.1371/journal.pntd.0010962. eCollection 2022 Dec.

Abstract

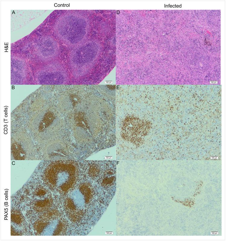
Splenomegaly, an enlargement of the spleen, is a known clinical sign of the parasitic disease, human African trypanosomiasis. This study follows the development of splenomegaly in a group of mice over multiple infection points, using a non-invasive imaging modality, magnetic resonance imaging (MRI). CD-1 mice infected with GVR35 T.b. brucei demonstrated a significant increase in spleen size from day 7 post-infection, with changes in the spleen tracked in individual animals over five time points. At the final time point, the mean spleen weight calculated using the spleen volume from the MR images was compared with the post-mortem gross spleen weight. No significant difference was detected between the two methods (1.62 ± 0.06g using MRI and 1.51 ± 0.04g gross weight, p = 0.554). Haematology and histological analysis were also performed, giving additional insight into splenomegaly for the GVR35 strain of infection. The study demonstrates that MRI is a useful tool when examining changes in organ volume throughout HAT infection and may be applicable in the investigation of a range of conditions where changes in organ volume occur and MRI has not been used previously.

摘要

脾肿大是寄生虫病——人类非洲锥虫病的已知临床特征。本研究使用非侵入性成像方式磁共振成像(MRI),在多个感染点跟踪一组小鼠的脾肿大发展情况。感染 GVR35 T.b. brucei 的 CD-1 小鼠从感染后第 7 天开始脾脏明显增大,在五个时间点跟踪个体动物的脾脏变化。在最后一个时间点,使用 MRI 图像计算的脾脏体积得到的平均脾脏重量与死后大体脾脏重量进行了比较。两种方法之间未检测到显著差异(MRI 法为 1.62±0.06g,大体重量法为 1.51±0.04g,p=0.554)。还进行了血液学和组织学分析,为 GVR35 感染株的脾肿大提供了更多见解。该研究表明,MRI 是检查 HAT 感染过程中器官体积变化的有用工具,并且可能适用于研究以前未使用 MRI 检查的器官体积发生变化的各种情况。

https://cdn.ncbi.nlm.nih.gov/pmc/blobs/112f/9728833/4b8452dda167/pntd.0010962.g001.jpg

文献AI研究员

20分钟写一篇综述,助力文献阅读效率提升50倍。

立即体验

用中文搜PubMed

大模型驱动的PubMed中文搜索引擎

马上搜索

文档翻译

学术文献翻译模型,支持多种主流文档格式。

立即体验