Suppr超能文献

c-Myc 依赖性表达促凋亡 Bim 使 HER2 过表达的乳腺癌细胞依赖抗凋亡 Mcl-1。

c-Myc dependent expression of pro-apoptotic Bim renders HER2-overexpressing breast cancer cells dependent on anti-apoptotic Mcl-1.

机构信息

Centre de Recherche en Cancérologie Nantes-Angers - UMR 892 - INSERM/Université de Nantes, Institut de Recherche Thérapeutique de l'Université de Nantes 8 Quai Moncousu BP 7072144007 Nantes Cedex 1 France.

出版信息

Mol Cancer. 2011 Sep 7;10:110. doi: 10.1186/1476-4598-10-110.

Abstract

BACKGROUND

Anti-apoptotic signals induced downstream of HER2 are known to contribute to the resistance to current treatments of breast cancer cells that overexpress this member of the EGFR family. Whether or not some of these signals are also involved in tumor maintenance by counteracting constitutive death signals is much less understood. To address this, we investigated what role anti- and pro-apoptotic Bcl-2 family members, key regulators of cancer cell survival, might play in the viability of HER2 overexpressing breast cancer cells.

METHODS

We used cell lines as an in vitro model of HER2-overexpressing cells in order to evaluate how anti-apoptotic Bcl-2, Bcl-xL and Mcl-1, and pro-apoptotic Puma and Bim impact on their survival, and to investigate how the constitutive expression of these proteins is regulated. Expression of the proteins of interest was confirmed using lysates from HER2-overexpressing tumors and through analysis of publicly available RNA expression data.

RESULTS

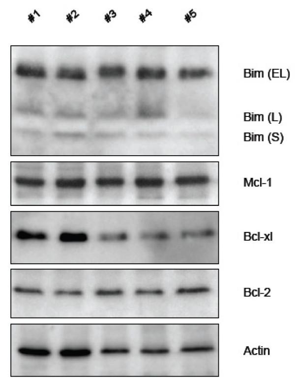
We show that the depletion of Mcl-1 is sufficient to induce apoptosis in HER2-overexpressing breast cancer cells. This Mcl-1 dependence is due to Bim expression and it directly results from oncogenic signaling, as depletion of the oncoprotein c-Myc, which occupies regions of the Bim promoter as evaluated in ChIP assays, decreases Bim levels and mitigates Mcl-1 dependence. Consistently, a reduction of c-Myc expression by inhibition of mTORC1 activity abrogates occupancy of the Bim promoter by c-Myc, decreases Bim expression and promotes tolerance to Mcl-1 depletion. Western blot analysis confirms that naïve HER2-overexpressing tumors constitutively express detectable levels of Mcl-1 and Bim, while expression data hint on enrichment for Mcl-1 transcripts in these tumors.

CONCLUSIONS

This work establishes that, in HER2-overexpressing tumors, it is necessary, and maybe sufficient, to therapeutically impact on the Mcl-1/Bim balance for efficient induction of cancer cell death.

摘要

背景

已知 HER2 下游的抗凋亡信号有助于抵抗过度表达这种表皮生长因子受体家族成员的乳腺癌细胞的当前治疗。这些信号中的一些是否也通过抵消组成性死亡信号参与肿瘤维持,了解甚少。为了解决这个问题,我们研究了抗凋亡和促凋亡 Bcl-2 家族成员在 HER2 过表达乳腺癌细胞活力中的作用,这些成员是癌细胞存活的关键调节剂。

方法

我们使用细胞系作为 HER2 过表达细胞的体外模型,以评估抗凋亡 Bcl-2、Bcl-xL 和 Mcl-1 以及促凋亡 Puma 和 Bim 如何影响它们的存活,并研究这些蛋白的组成性表达如何受到调节。通过 HER2 过表达肿瘤的裂解物和分析公开可用的 RNA 表达数据来确认感兴趣蛋白的表达。

结果

我们表明,Mcl-1 的耗竭足以诱导 HER2 过表达乳腺癌细胞凋亡。这种对 Mcl-1 的依赖性是由于 Bim 的表达,并且它直接源自致癌信号,因为在 ChIP 测定中评估的癌蛋白 c-Myc 的耗竭会降低 Bim 水平并减轻对 Mcl-1 的依赖性。一致地,通过抑制 mTORC1 活性降低 c-Myc 表达会消除 c-Myc 对 Bim 启动子的占据,降低 Bim 表达并促进对 Mcl-1 耗竭的耐受。Western blot 分析证实,原始 HER2 过表达肿瘤中持续表达可检测水平的 Mcl-1 和 Bim,而表达数据暗示这些肿瘤中存在 Mcl-1 转录本的富集。

结论

这项工作表明,在 HER2 过表达肿瘤中,为了有效诱导癌细胞死亡,有必要且可能足以对 Mcl-1/Bim 平衡进行治疗性干预。

https://cdn.ncbi.nlm.nih.gov/pmc/blobs/ea41/3175201/9089c75ee8b9/1476-4598-10-110-1.jpg

文献AI研究员

20分钟写一篇综述,助力文献阅读效率提升50倍。

立即体验

用中文搜PubMed

大模型驱动的PubMed中文搜索引擎

马上搜索

文档翻译

学术文献翻译模型,支持多种主流文档格式。

立即体验