Suppr超能文献

p38 丝裂原活化蛋白激酶激活对大鼠失血性休克后炎症性肝损伤的影响。

The effect of p38 mitogen-activated protein kinase activation on inflammatory liver damage following hemorrhagic shock in rats.

机构信息

Department of Forensic Medicine, University of Occupational and Environmental Health, Japan, Yahata-Nishi, Kitakyushu, Japan.

出版信息

PLoS One. 2012;7(1):e30124. doi: 10.1371/journal.pone.0030124. Epub 2012 Jan 9.

Abstract

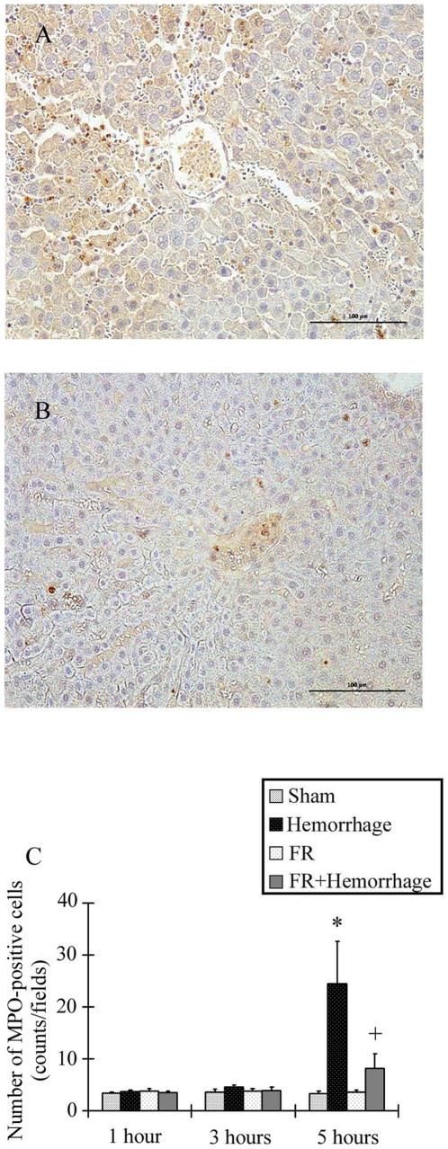
Hemorrhagic shock is a frequent cause of liver failure and often leads to a fatal outcome. Several studies have revealed that p38 MAPK is a key mediator in hemorrhagic damage of the primary organs through the activation of proinflammatory cytokines such as tumor necrosis factor (TNF)-α and interleukin (IL)-1β. However, the precise role of these factors in liver damage following hemorrhagic shock is unclear. In this study, we used FR167653, a specific inhibitor of p38 MAPK phosphorylation, to examine the role of p38 MAPK in liver damage occurring up to 5 hours after a hemorrhagic episode in a rat model. Activation of p38 MAPK in the liver as well as an increase in hepatic mRNA expression and serum concentrations of TNF-α and IL-1β occurred during the early phase after hemorrhage. Increased serum levels of hepatic enzymes, as well as histological damage and activated neutrophil accumulation in the liver, were observed in the late phase following hemorrhagic shock. FR167653 inhibited the inflammation-related hepatic injury following hemorrhagic shock. Bacterial lipopolysaccharide (LPS) derived from the gut appeared to have little effects on the hepatic damage. These results demonstrate that p38 MAPK activation is induced by hepatic ischemia during hemorrhagic shock and plays an important role both in the hepatic expression of proinflammatory cytokines and in the development of inflammation-related liver damage.

摘要

失血性休克是肝功能衰竭的常见原因,常导致致命后果。几项研究表明,p38MAPK 通过激活肿瘤坏死因子 (TNF)-α 和白细胞介素 (IL)-1β 等促炎细胞因子,是原发性器官失血性损伤的关键介质。然而,这些因素在失血性休克后肝损伤中的确切作用尚不清楚。在这项研究中,我们使用 FR167653,一种 p38MAPK 磷酸化的特异性抑制剂,来研究 p38MAPK 在失血性休克后 5 小时内大鼠模型肝脏损伤中的作用。在出血后早期,肝脏中 p38MAPK 的激活以及肝 mRNA 表达和血清 TNF-α 和 IL-1β 浓度的增加。在失血性休克后晚期,观察到血清肝酶水平升高、肝组织学损伤和中性粒细胞在肝内激活积聚。FR167653 抑制了失血性休克后与炎症相关的肝损伤。来自肠道的细菌脂多糖 (LPS) 似乎对肝损伤影响不大。这些结果表明,p38MAPK 的激活是由失血性休克期间的肝缺血引起的,它在促炎细胞因子的肝表达和炎症相关肝损伤的发展中都起着重要作用。

https://cdn.ncbi.nlm.nih.gov/pmc/blobs/1faf/3253806/37e3f63c9568/pone.0030124.g001.jpg

文献AI研究员

20分钟写一篇综述,助力文献阅读效率提升50倍。

立即体验

用中文搜PubMed

大模型驱动的PubMed中文搜索引擎

马上搜索

文档翻译

学术文献翻译模型,支持多种主流文档格式。

立即体验