Suppr超能文献

CD4+、FOXP3+ 和 IL-17+ 肿瘤浸润淋巴细胞在导管和小叶乳腺癌中的差异模式及预后意义。

Differential pattern and prognostic significance of CD4+, FOXP3+ and IL-17+ tumor infiltrating lymphocytes in ductal and lobular breast cancers.

机构信息

Department of Surgery, University Hospital Basel, Switzerland.

出版信息

BMC Cancer. 2012 Apr 3;12:134. doi: 10.1186/1471-2407-12-134.

Abstract

BACKGROUND

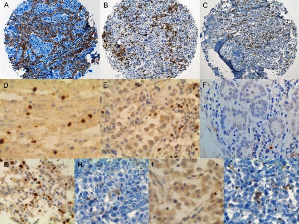
Clinical relevance of tumor infiltrating lymphocytes (TILs) in breast cancer is controversial. Here, we used a tumor microarray including a large series of ductal and lobular breast cancers with long term follow up data, to analyze clinical impact of TIL expressing specific phenotypes and distribution of TILs within different tumor compartments and in different histological subtypes.

METHODS

A tissue microarray (TMA) including 894 ductal and 164 lobular breast cancers was stained with antibodies recognizing CD4, FOXP3, and IL-17 by standard immunohistochemical techniques. Lymphocyte counts were correlated with clinico-pathological parameters and survival.

RESULTS

CD4(+) lymphocytes were more prevalent than FOXP3(+) TILs whereas IL-17(+) TILs were rare. Increased numbers of total CD4(+) and FOXP3(+) TIL were observed in ductal, as compared with lobular carcinomas. High grade (G3) and estrogen receptor (ER) negative ductal carcinomas displayed significantly (p < 0.001) higher CD4(+) and FOXP3(+) lymphocyte infiltration while her2/neu over-expression in ductal carcinomas was significantly (p < 0.001) associated with higher FOXP3(+) TIL counts. In contrast, lymphocyte infiltration was not linked to any clinico-pathological parameters in lobular cancers. In univariate but not in multivariate analysis CD4(+) infiltration was associated with significantly shorter survival in patients bearing ductal, but not lobular cancers. However, a FOXP3(+)/CD4(+) ratio > 1 was associated with improved overall survival even in multivariate analysis (p = 0.033).

CONCLUSIONS

Ductal and lobular breast cancers appear to be infiltrated by different lymphocyte subpopulations. In ductal cancers increased CD4(+) and FOXP3(+) TIL numbers are associated with more aggressive tumor features. In survival analysis, absolute numbers of TILs do not represent major prognostic indicators in ductal and lobular breast cancer. Remarkably however, a ratio > 1 of total FOXP3(+)/CD4(+) TILs in ductal carcinoma appears to represent an independent favorable prognostic factor.

摘要

背景

肿瘤浸润淋巴细胞(TILs)在乳腺癌中的临床相关性存在争议。在这里,我们使用了包含大量导管癌和小叶癌病例的肿瘤微阵列,并结合长期随访数据,分析了 TIL 表达特定表型以及 TIL 在不同肿瘤部位和不同组织学亚型中的分布对临床的影响。

方法

使用组织微阵列(TMA)对 894 例导管癌和 164 例小叶癌进行了 CD4、FOXP3 和 IL-17 的抗体免疫组化染色。对淋巴细胞计数与临床病理参数和生存进行了相关性分析。

结果

CD4+淋巴细胞比 FOXP3+TIL 更为常见,而 IL-17+TIL 则较为罕见。与小叶癌相比,导管癌中总 CD4+和 FOXP3+TIL 的数量增加。高级别(G3)和雌激素受体(ER)阴性的导管癌中,CD4+和 FOXP3+淋巴细胞浸润显著增加(p<0.001),而 HER2/neu 过表达的导管癌中 FOXP3+TIL 计数显著增加(p<0.001)。相反,淋巴细胞浸润与小叶癌的任何临床病理参数均无关联。在单变量分析而非多变量分析中,CD4+浸润与携带导管癌而非小叶癌患者的生存显著缩短相关。然而,FOXP3+/CD4+比值>1 与总生存的改善相关,即使在多变量分析中也是如此(p=0.033)。

结论

导管癌和小叶癌似乎浸润了不同的淋巴细胞亚群。在导管癌中,CD4+和 FOXP3+TIL 数量的增加与更具侵袭性的肿瘤特征相关。在生存分析中,TIL 的绝对数量在导管癌和小叶癌中并不是主要的预后指标。然而,令人瞩目的是,在导管癌中,总 FOXP3+/CD4+TIL 的比值>1 似乎是一个独立的有利预后因素。

https://cdn.ncbi.nlm.nih.gov/pmc/blobs/b770/3362763/f597a5d0f8c4/1471-2407-12-134-1.jpg

文献AI研究员

20分钟写一篇综述,助力文献阅读效率提升50倍。

立即体验

用中文搜PubMed

大模型驱动的PubMed中文搜索引擎

马上搜索

文档翻译

学术文献翻译模型,支持多种主流文档格式。

立即体验