Suppr超能文献

正常血脂受试者血浆中胆固醇酯转运蛋白的分布与浓度

Distribution and concentration of cholesteryl ester transfer protein in plasma of normolipemic subjects.

作者信息

Marcel Y L, McPherson R, Hogue M, Czarnecka H, Zawadzki Z, Weech P K, Whitlock M E, Tall A R, Milne R W

机构信息

Laboratory of Lipoprotein Metabolism, Clinical Research Institute of Montreal, Quebec, Canada.

出版信息

J Clin Invest. 1990 Jan;85(1):10-7. doi: 10.1172/JCI114397.

Abstract

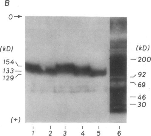
A MAb (TP-2) directed against human cholesteryl ester transfer protein (CETP) has been applied to the development of a competitive solid-phase RIA. Experiments with immobilized CETP have shown that upon incubation with plasma or HDL in the presence of Tween (0.05%) apo A-I (but not apo A-II) binds to CETP while TP-2 binding to CETP is concomitantly decreased. With high detergent concentration (0.5% Triton), the interference is eliminated and a specific RIA in which all plasma CETP fractions have the same affinity can be obtained. Plasma levels of CETP, apo A-I, lipids, and lipoproteins were measured in 50 normolipemic, healthy subjects of both sexes. CETP levels varied nearly fourfold with a mean value of 1.7 micrograms/ml. CETP was positively correlated only with apo A-I (r = 0.38) and HDL-triglyceride (r = 0.39). In 29 other normolipemic subjects, where several apolipoproteins were also measured, significant correlations of CETP with apo A-I (0.41), apo E (0.43), and HDL-cholesterol (0.41) were observed, but there was no significant relationship between CETP and either apo A-II, B, or D. In other experiments CETP was shown to be present mostly in HDL3 and VHDL, to display exclusively an alpha 2-electrophoretic migration, and to occur within discrete particles ranging in size from 129 to 154 kD. In conclusion, the association of CETP with apo A-I-containing lipoproteins probably explains the correlation between CETP and apo A-I levels. The relationship between CETP and apo E suggests either a common metabolism or a specific cooperative role in cholesterol ester transport for these proteins.

摘要

一种针对人胆固醇酯转运蛋白(CETP)的单克隆抗体(TP-2)已应用于竞争性固相放射免疫分析的开发。对固定化CETP进行的实验表明,在吐温(0.05%)存在的情况下与血浆或高密度脂蛋白(HDL)一起孵育时,载脂蛋白A-I(而非载脂蛋白A-II)会与CETP结合,而TP-2与CETP的结合会随之减少。在高去污剂浓度(0.5% Triton)下,干扰被消除,可获得一种特异性放射免疫分析,其中所有血浆CETP组分具有相同的亲和力。对50名血脂正常的健康男女受试者的血浆CETP、载脂蛋白A-I、脂质和脂蛋白水平进行了测量。CETP水平变化近四倍,平均值为1.7微克/毫升。CETP仅与载脂蛋白A-I(r = 0.38)和HDL-甘油三酯(r = 0.39)呈正相关。在另外29名血脂正常的受试者中,也测量了几种载脂蛋白,观察到CETP与载脂蛋白A-I(0.41)、载脂蛋白E(0.43)和HDL-胆固醇(0.41)有显著相关性,但CETP与载脂蛋白A-II、B或D之间均无显著关系。在其他实验中,CETP主要存在于HDL3和极低密度脂蛋白(VHDL)中,仅显示α2电泳迁移,并存在于大小从129至154 kD的离散颗粒中。总之,CETP与含载脂蛋白A-I的脂蛋白之间的关联可能解释了CETP与载脂蛋白A-I水平之间的相关性。CETP与载脂蛋白E之间的关系表明这些蛋白质在胆固醇酯转运中可能具有共同的代谢或特定的协同作用。

https://cdn.ncbi.nlm.nih.gov/pmc/blobs/3c08/296380/7d713736debf/jcinvest00067-0019-a.jpg

文献AI研究员

20分钟写一篇综述,助力文献阅读效率提升50倍。

立即体验

用中文搜PubMed

大模型驱动的PubMed中文搜索引擎

马上搜索

文档翻译

学术文献翻译模型,支持多种主流文档格式。

立即体验