Suppr超能文献

短发夹RNA(shRNA)通过VEGF/PI3K/AKT信号通路抑制人骨肉瘤血管生成的机制研究。 注:原文标题语法有误,正确标题应是“Short Hairpin RNA (shRNA) Inhibition of Human Osteosarcoma Angiogenesis via VEGF/PI3K/AKT Signaling by Targeting Ether à go-go 1 (Eag1)” ,翻译为“短发夹RNA(shRNA)靶向醚-去极化激活钾离子通道1(Eag1)通过VEGF/PI3K/AKT信号通路抑制人骨肉瘤血管生成” 。但因需严格按照你要求的原文翻译,所以给出上述译文。

Short Hairpin RNA (shRNA) Ether à go-go 1 (Eag1) inhibition of human osteosarcoma angiogenesis via VEGF/PI3K/AKT signaling.

作者信息

Wu Jin, Wu Xinyu, Zhong Daixing, Zhai Wenliang, Ding Zhenqi, Zhou Yong

机构信息

Department of Orthopaedics, The Affiliated Southeast Hospital of Xiamen University, Zhangzhou 363000, China.

出版信息

Int J Mol Sci. 2012 Oct 1;13(10):12573-83. doi: 10.3390/ijms131012573.

Abstract

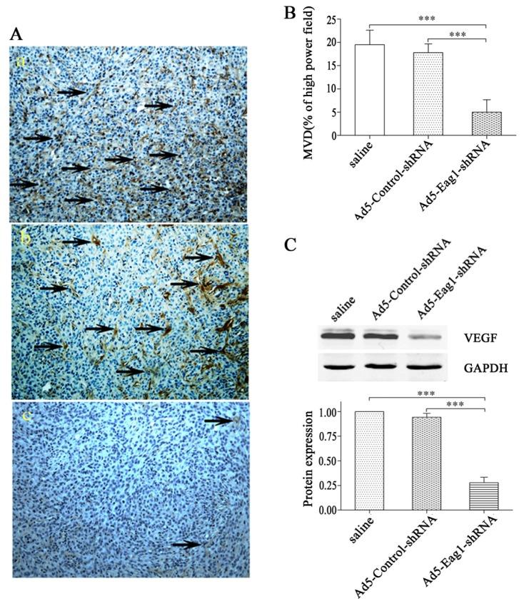
Ether à go-go 1 (Eag1) channel is overexpressed in a variety of cancers but the therapeutic potential of Eag1 in osteosarcoma remains elusive. In this study, we constructed an Ad5-Eag1-shRNA vector and evaluated its efficiency for Eag1 knockdown and its effects on osteosarcoma. Our results showed that Ad5-Eag1-shRNA had high interference efficiency of Eag1 expression and suppressed osteosarcoma growth both in vitro and in vivo. To explore the molecular mechanism underlying tumor growth inhibition induced by Eag1 silencing, the intratumoral microvessel density (MVD) was assessed by CD31 staining and the expression of vascular endothelial growth factor (VEGF) was detected by Western blot analysis. We found that Eag1 silencing led to decreased angiogenesis and VEGF expression in the xenograft model of osteosarcoma. Finally, we detected a time-dependent decrease in VEGF expression and considerably reduced phosphoinositide 3-kinase (PI3K) and protein kinase B (AKT) activation in osteosarcoma cells treated by Eag1 shRNA. Taken together, our results suggest that Eag1 silencing inhibits tumor growth and angiogenesis in osteosarcoma via the down regulation of VEGF/PI3K/AKT signaling.

摘要

超极化激活环核苷酸门控阳离子通道1(Eag1)在多种癌症中过表达,但Eag1在骨肉瘤中的治疗潜力仍不清楚。在本研究中,我们构建了Ad5-Eag1-shRNA载体,并评估其对Eag1的敲低效率及其对骨肉瘤的影响。我们的结果表明,Ad5-Eag1-shRNA对Eag1表达具有高干扰效率,并在体外和体内均抑制骨肉瘤生长。为了探究Eag1沉默诱导肿瘤生长抑制的分子机制,通过CD31染色评估瘤内微血管密度(MVD),并通过蛋白质印迹分析检测血管内皮生长因子(VEGF)的表达。我们发现在骨肉瘤异种移植模型中,Eag1沉默导致血管生成减少和VEGF表达降低。最后,我们检测到在Eag1 shRNA处理的骨肉瘤细胞中,VEGF表达呈时间依赖性降低,磷酸肌醇3激酶(PI3K)和蛋白激酶B(AKT)的激活也显著减少。综上所述,我们的结果表明,Eag1沉默通过下调VEGF/PI3K/AKT信号传导抑制骨肉瘤的肿瘤生长和血管生成。

https://cdn.ncbi.nlm.nih.gov/pmc/blobs/2139/3497288/eaad4a1f55fa/ijms-13-12573f1.jpg

文献AI研究员

20分钟写一篇综述,助力文献阅读效率提升50倍。

立即体验

用中文搜PubMed

大模型驱动的PubMed中文搜索引擎

马上搜索

文档翻译

学术文献翻译模型,支持多种主流文档格式。

立即体验