Suppr超能文献

αB-晶状体蛋白是喉鳞状细胞癌的一个新的预后标志物。

Alpha B-crystallin is a new prognostic marker for laryngeal squamous cell carcinoma.

机构信息

Department of Otolaryngology-Head and Neck Surgery, Jiangsu Province Official Hospital, No.65 Jiangsu Road, Nanjing 210029, China.

出版信息

J Exp Clin Cancer Res. 2012 Dec 12;31(1):101. doi: 10.1186/1756-9966-31-101.

Abstract

BACKGROUND

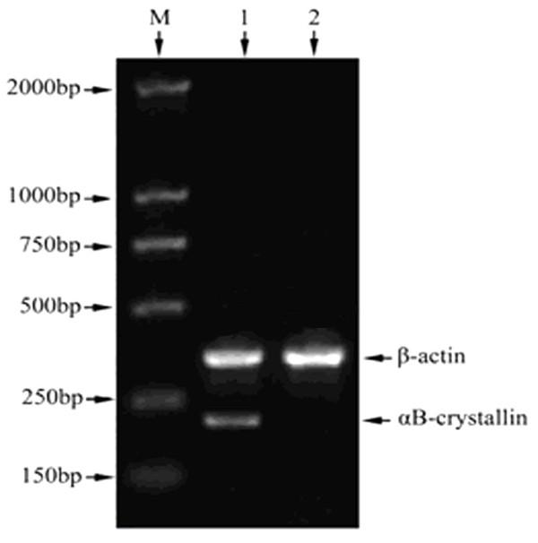
Alpha B-crystallin (αB-crystallin) has been suggested to play an important role in the development of solid tumors. However, the association between αB-crystallin expression and clinicopathological characteristics of human laryngeal carcinoma is not well defined. This study aimed to examine the expression of αB-crystallin in human laryngeal squamous cell carcinoma (LSCC) and investigate the relationship between its expression and the prognosis of LSCC.

METHODS

Real-time polymerase chain reaction (six LSCC samples, six tumor-adjacent normal samples) and immunohistochemistry by tissue microarrays (109 LSCC samples and 28 tumor-adjacent normal samples) were performed to characterize expression of the αB-crystallin gene in LSCC. Kaplan-Meier survival and Cox regression analyses were carried out to evaluate the prognosis of LSCC.

RESULTS

Real-time polymerase chain reaction and immunohistochemistry analysis showed that the expression of αB-crystallin in LSCC was significantly higher than that in tumor-adjacent normal tissues. Moreover, the expression level of αB-crystallin protein in LSCC was significantly related to alcohol consumption (P = 0.022), tumor differentiation (P = 0.007), pTNM stage (P = 0.041) and 5 years' survival (P =0.030). COX multi-factor analysis showed that αB-crystallin (P = .013), as well as pTNM stage (P =0.027) and lymphatic metastasis (P = 0.015) were independent prognosis factors for LSCC.

CONCLUSIONS

The data suggest that αB-crystallin expression is correlated with malignant phenotypes of LSCC and it may serve as a novel prognostic factor for LSCC.

摘要

背景

αB-晶状体蛋白(αB-crystallin)在实体瘤的发展中被认为起着重要作用。然而,αB-晶状体蛋白的表达与人类喉癌的临床病理特征之间的关系尚未明确。本研究旨在检测αB-晶状体蛋白在人喉鳞状细胞癌(LSCC)中的表达,并探讨其表达与 LSCC 预后的关系。

方法

通过组织微阵列进行实时聚合酶链反应(六个 LSCC 样本,六个肿瘤旁正常样本)和免疫组织化学检测,以表征 LSCC 中αB-晶状体蛋白基因的表达。通过 Kaplan-Meier 生存分析和 Cox 回归分析评估 LSCC 的预后。

结果

实时聚合酶链反应和免疫组织化学分析显示,LSCC 中αB-晶状体蛋白的表达明显高于肿瘤旁正常组织。此外,LSCC 中αB-晶状体蛋白蛋白的表达水平与饮酒(P=0.022)、肿瘤分化(P=0.007)、pTNM 分期(P=0.041)和 5 年生存率(P=0.030)显著相关。COX 多因素分析表明,αB-晶状体蛋白(P=0.013)以及 pTNM 分期(P=0.027)和淋巴转移(P=0.015)是 LSCC 的独立预后因素。

结论

数据表明,αB-晶状体蛋白的表达与 LSCC 的恶性表型相关,它可能成为 LSCC 的一个新的预后因素。

https://cdn.ncbi.nlm.nih.gov/pmc/blobs/93a3/3551651/8d2977fd80d8/1756-9966-31-101-1.jpg

文献AI研究员

20分钟写一篇综述,助力文献阅读效率提升50倍。

立即体验

用中文搜PubMed

大模型驱动的PubMed中文搜索引擎

马上搜索

文档翻译

学术文献翻译模型,支持多种主流文档格式。

立即体验