Suppr超能文献

ESX-5 相关的 eccB-EccC 基因座对于结核分枝杆菌的生存能力是必需的。

The ESX-5 associated eccB-EccC locus is essential for Mycobacterium tuberculosis viability.

机构信息

Dipartimento di Patologia Sperimentale, Biotecnologie Mediche, Infettivologia ed Epidemiologia, University of Pisa, Pisa, Italy.

出版信息

PLoS One. 2012;7(12):e52059. doi: 10.1371/journal.pone.0052059. Epub 2012 Dec 17.

Abstract

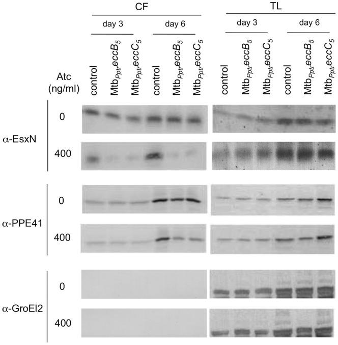
The recently described ESX-5 secretion system of Mycobacterium tuberculosis is one of the most important modulators of host-pathogen interactions due to its crucial impact on PPE protein secretion, cell wall stability and virulence. Although various components of the ESX-5 secretion machinery have been defined, other ESX-5 core components still remain to be characterized. In this study, we focused on EccB(5) and EccC(5), a transmembrane protein (EccB(5)) and a membrane-bound ATPase (EccC(5)), both predicted to be building blocks of the M. tuberculosis ESX-5 membrane-associated complex. In vitro expression studies demonstrated that EccB(5) and EccC(5) encoding genes constitute an operon. The expression of this operon is essential for M. tuberculosis, since the deletion of the eccB(5)-eccC(5) genomic segment at the ESX-5 locus is possible only after the integration of a second functional copy of eccB(5)-eccC(5) genes into the M. tuberculosis chromosome. The characterization of two M. tuberculosis conditional mutant strains (Mtb(Pptr)eccB(5) and Mtb(Pptr)eccC(5)), in which the eccB(5)-eccC(5) operon or the eccC(5) gene, respectively, were expressed under the control of an anhydrotetracycline-repressible promoter, confirmed that the repression of eccB(5)-eccC(5) genes is detrimental for growth of M. tuberculosis both in vitro and in THP-1 human macrophage cell line. Moreover, analysis of the secretome of Mtb(Pptr)eccB(5)-eccC(5) and Mtb(Pptr)eccC(5) strains revealed that both EccB(5) and EccC(5) are required for secretion of ESX-5 specific substrates, thus confirming that they are indeed components of the ESX-5 secretion machinery. Taken together these findings demonstrate the importance of an intact and functional ESX-5 system for viability of M. tuberculosis, thus opening new interesting options for alternative antimycobacterial control strategies.

摘要

最近描述的结核分枝杆菌 ESX-5 分泌系统是宿主-病原体相互作用的最重要的调节剂之一,因为它对 PPE 蛋白分泌、细胞壁稳定性和毒力有至关重要的影响。尽管已经定义了 ESX-5 分泌机制的各种成分,但其他 ESX-5 核心成分仍有待表征。在这项研究中,我们专注于 EccB(5) 和 EccC(5),一种跨膜蛋白 (EccB(5)) 和一种膜结合 ATP 酶 (EccC(5)),两者均预测是结核分枝杆菌 ESX-5 膜相关复合物的组成部分。体外表达研究表明,EccB(5) 和 EccC(5) 编码基因构成一个操纵子。该操纵子的表达对于结核分枝杆菌是必需的,因为只有在 ESX-5 基因座处整合第二个功能性 EccB(5)-eccC(5) 基因拷贝后,才能删除 eccB(5)-eccC(5) 基因组片段。两个结核分枝杆菌条件突变株 (Mtb(Pptr)eccB(5) 和 Mtb(Pptr)eccC(5)) 的特征,在这两个突变株中,eccB(5)-eccC(5) 操纵子或 eccC(5) 基因分别在 anhydrotetracycline 可诱导的启动子控制下表达,证实了 eccB(5)-eccC(5) 基因的抑制对结核分枝杆菌在体外和 THP-1 人巨噬细胞系中的生长都是有害的。此外,对 Mtb(Pptr)eccB(5)-eccC(5) 和 Mtb(Pptr)eccC(5) 菌株的分泌组分析表明,EccB(5) 和 EccC(5) 都是 ESX-5 特异性底物分泌所必需的,因此证实它们确实是 ESX-5 分泌机制的组成部分。综上所述,这些发现表明完整和功能性 ESX-5 系统对于结核分枝杆菌的生存能力至关重要,从而为替代抗分枝杆菌控制策略开辟了新的有趣选择。

https://cdn.ncbi.nlm.nih.gov/pmc/blobs/c6a6/3524121/b7e35e053dc0/pone.0052059.g001.jpg

文献AI研究员

20分钟写一篇综述,助力文献阅读效率提升50倍。

立即体验

用中文搜PubMed

大模型驱动的PubMed中文搜索引擎

马上搜索

文档翻译

学术文献翻译模型,支持多种主流文档格式。

立即体验