Suppr超能文献

BRCA1 启动子区域甲基化与早期乳腺癌女性不良预后相关。

Methylation of BRCA1 promoter region is associated with unfavorable prognosis in women with early-stage breast cancer.

机构信息

Graduate Institute of Medicine, Kaohsiung Medical University, Kaohsiung, Taiwan.

出版信息

PLoS One. 2013;8(2):e56256. doi: 10.1371/journal.pone.0056256. Epub 2013 Feb 6.

Abstract

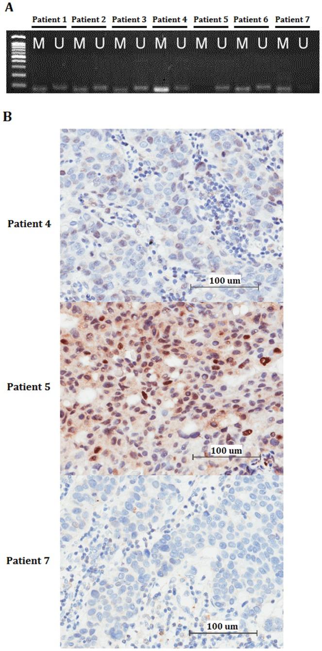
BRCA1-associated breast cancers are associated with particular features such as early onset, poor histological differentiation, and hormone receptor negativity. Previous studies conducted in Taiwanese population showed that the mutation of BRCA1 gene does not play a significant role in the occurrence of breast cancer. The present study explored methylation of BRCA1 promoter and its relationship to clinical features and outcome in Taiwanese breast cancer patients. Tumor specimens from a cohort of 139 early-stage breast cancer patients were obtained during surgery before adjuvant treatment for DNA extraction. Methylation of BRCA1 promoter region was determined by methylation-specific PCR and the results were related to clinical features and outcome of patients using statistical analysis. Methylation of the BRCA1 promoter was detected in 78 (56%) of the 139 tumors. Chi-square analysis indicated that BRCA1 promoter methylation correlated significantly with triple-negative (ER-/PR-/HER2-) status of breast cancer patients (p = 0.041). The Kaplan-Meier method showed that BRCA1 promoter methylation was significantly associated with poor overall survival (p = 0.026) and disease-free survival (p = 0.001). Multivariate analysis which incorporated variables of patients' age, tumor size, grade, and lymph node metastasis revealed that BRCA1 promoter methylation was associated with overall survival (p = 0.027; hazard ratio, 16.38) and disease-free survival (p = 0.003; hazard ratio, 12.19) [corrected].Our findings underscore the clinical relevance of the methylation of BRCA1 promoter in Taiwanese patients with early-stage breast cancer.

摘要

BRCA1 相关乳腺癌具有特定特征,如发病早、组织学分化差和激素受体阴性。之前在台湾人群中进行的研究表明,BRCA1 基因突变在乳腺癌的发生中不起重要作用。本研究探讨了 BRCA1 启动子的甲基化及其与台湾乳腺癌患者临床特征和预后的关系。在辅助治疗前的手术期间,从 139 例早期乳腺癌患者的肿瘤标本中提取肿瘤样本,进行 DNA 提取。通过甲基化特异性 PCR 确定 BRCA1 启动子区域的甲基化,并使用统计分析将结果与患者的临床特征和结果相关联。在 139 个肿瘤中检测到 BRCA1 启动子的甲基化 78 个(56%)。卡方分析表明,BRCA1 启动子甲基化与乳腺癌患者的三阴性(ER-/PR-/HER2-)状态显著相关(p=0.041)。Kaplan-Meier 法表明,BRCA1 启动子甲基化与总生存(p=0.026)和无病生存(p=0.001)显著相关。多变量分析纳入了患者年龄、肿瘤大小、分级和淋巴结转移的变量,显示 BRCA1 启动子甲基化与总生存(p=0.027;风险比,16.38)和无病生存(p=0.003;风险比,12.19)相关[校正]。我们的研究结果强调了 BRCA1 启动子甲基化在台湾早期乳腺癌患者中的临床相关性。

https://cdn.ncbi.nlm.nih.gov/pmc/blobs/9c60/3566056/14a39bde3ddd/pone.0056256.g001.jpg

文献AI研究员

20分钟写一篇综述,助力文献阅读效率提升50倍。

立即体验

用中文搜PubMed

大模型驱动的PubMed中文搜索引擎

马上搜索

文档翻译

学术文献翻译模型,支持多种主流文档格式。

立即体验