Suppr超能文献

瑞芬太尼可改善肠缺血再灌注损伤。

Remifentanil ameliorates intestinal ischemia-reperfusion injury.

机构信息

The Ritchie Centre, Monash Institute of Medical Research, Monash University, Melbourne, Australia.

出版信息

BMC Gastroenterol. 2013 Apr 22;13:69. doi: 10.1186/1471-230X-13-69.

Abstract

BACKGROUND

Intestinal ischemia-reperfusion injury (IRI) can occur in clinical scenarios such as organ transplantation, trauma and cardio-pulmonary bypass, as well as in neonatal necrotizing enterocolitis or persistent ductus arteriosus. Pharmacological protection by pretreating ("preconditioning") with opioids attenuates IRI in a number of organs. Remifentanil appears particularly attractive for this purpose because of its ultra-short duration of action and favorable safety profile. To date, little is known about opioid preconditioning of the intestine.

METHODS

Young adult C57BL/6J mice were randomly assigned to receive tail vein injections of 1 μg/kg of remifentanil or normal saline and underwent either ischemia-reperfusion of the intestine or a sham laparotomy. Under isoflurane anesthesia, the mice were subjected to intestinal ischemia-reperfusion by occlusion (clamping) of the superior mesenteric artery for 30 min, followed by unclamping and 60 min of reperfusion. After completion of this protocol, tissue injury and lipid peroxidation in jejunum and ileum were analyzed by histology and malondialdehyde (MDA), respectively. Systemic interleukin (IL)-6 was determined in the plasma by ELISA.

RESULTS

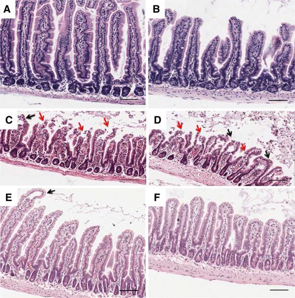
Pretreatment with remifentanil markedly reduced intestinal IRI (P < 0.001): In the ileum, we observed a more than 8-fold decrease in injured villi (4% vs 34% in saline-pretreated animals). In fact, the mucosa in the remifentanil group was as healthy as that of sham-operated animals. This protective effect was not as pronounced in the jejunum, but the percentage of damaged villi was still reduced considerably (18% vs 42%). There was up to 3-fold more tissue MDA after intestinal ischemia-reperfusion than after sham laparotomy, but this increase in lipid peroxidation was prevented by preconditioning with remifentanil (P < 0.05). The systemic inflammatory response triggered by intestinal IRI was significantly attenuated in mice pretreated with remifentanil (159 vs 805 pg/ml of IL-6 after saline pretreatment, with 92 pg/ml in the sham groups). After sham operations, no difference was detected between the saline- and remifentanil-pretreatments in any of the parameters investigated.

CONCLUSION

Preconditioning with remifentanil attenuates intestinal IRI and the subsequent systemic inflammatory response in mice. We therefore suggest that prophylaxis with this ultra-short-acting opioid may be advantageous in various clinical scenarios of human IRI.

摘要

背景

肠道缺血再灌注损伤(IRI)可发生于器官移植、创伤和心肺转流等临床情况,也可发生于新生儿坏死性小肠结肠炎或持续性动脉导管未闭。用阿片类药物预处理(“预处理”)进行药理学保护可减轻许多器官的 IRI。瑞芬太尼因其作用时间极短和良好的安全性而特别有吸引力。迄今为止,对于肠道的阿片预处理知之甚少。

方法

年轻成年 C57BL/6J 小鼠随机接受尾静脉注射 1μg/kg 的瑞芬太尼或生理盐水,并接受肠道缺血再灌注或假手术。在异氟烷麻醉下,通过夹闭肠系膜上动脉 30 分钟来使小鼠发生肠道缺血再灌注,然后松开夹闭并再灌注 60 分钟。完成此方案后,通过组织学分析和丙二醛(MDA)分别分析空肠和回肠的组织损伤和脂质过氧化。通过 ELISA 在血浆中测定系统白细胞介素(IL)-6。

结果

瑞芬太尼预处理可显著减轻肠道 IRI(P<0.001):在回肠中,我们观察到受损的绒毛数量减少了 8 倍以上(生理盐水预处理动物为 34%,而瑞芬太尼预处理动物为 4%)。实际上,瑞芬太尼组的黏膜与假手术动物的黏膜一样健康。在空肠中,这种保护作用并不那么明显,但受损绒毛的比例仍大大降低(18%对 42%)。肠道缺血再灌注后组织 MDA 的含量比假手术后增加了 3 倍以上,但用瑞芬太尼预处理可防止脂质过氧化的增加(P<0.05)。用瑞芬太尼预处理可显著减轻肠道 IRI 引起的全身炎症反应(与生理盐水预处理相比,IL-6 分别为 159 和 805pg/ml,而假手术组为 92pg/ml)。假手术后,在任何研究参数中,生理盐水和瑞芬太尼预处理之间均未检测到差异。

结论

瑞芬太尼预处理可减轻小鼠的肠道 IRI 和随后的全身炎症反应。因此,我们建议在人类 IRI 的各种临床情况下,用这种超短效阿片类药物进行预防可能是有利的。

https://cdn.ncbi.nlm.nih.gov/pmc/blobs/04f8/3639835/c42de4f4db2d/1471-230X-13-69-1.jpg

文献AI研究员

20分钟写一篇综述,助力文献阅读效率提升50倍。

立即体验

用中文搜PubMed

大模型驱动的PubMed中文搜索引擎

马上搜索

文档翻译

学术文献翻译模型,支持多种主流文档格式。

立即体验