Suppr超能文献

Sse1(Hsp110)的突变分析表明,该伴侣蛋白在酵母朊病毒体内传播中起着重要的作用。

Mutational analysis of Sse1 (Hsp110) suggests an integral role for this chaperone in yeast prion propagation in vivo.

机构信息

Yeast Genetics Laboratory, Department of Biology, National University of Ireland Maynooth, Maynooth, County Kildare, Ireland.

出版信息

G3 (Bethesda). 2013 Aug 7;3(8):1409-18. doi: 10.1534/g3.113.007112.

Abstract

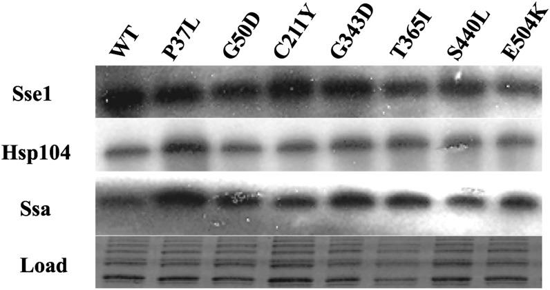
The yeast Hsp110 chaperone Sse1 is a conserved protein that is a noncanonical member of the Hsp70 protein superfamily. Sse1 influences the cellular response to heat stress and has also been implicated in playing a role in the propagation of prions in yeast. Sse1 can seemingly exert its effects in vivo through direct or indirect actions by influencing the nucleotide exchange activity of canonical cytosolic Hsp70s. Using a genetic screen based on the inability to propagate the yeast [PSI(+)] prion, we have identified 13 new Sse1 mutants that are predicted to alter chaperone function through a variety of different mechanisms. Not only are these new Sse1 mutants altered in the ability to propagate and cure yeast prions but also to varying degrees in the ability to grow at elevated temperatures. The expression levels of chaperone proteins known to influence yeast prion propagation are unaltered in the Sse1 mutants, suggesting that the observed phenotypic effects are caused by direct functional alterations in these mutants. Mapping the location of the mutants onto the Sse1 crystal structure suggests that more than one functional alteration in Sse1 may result in changes in prion propagation and ability to function at elevated temperatures. All Sse1 mutants isolated provide essential functions in the cell under normal growth conditions, further demonstrating that essential chaperone functions in vivo can to some degree at least be detached from those related to propagation of prions. Our results suggest that Sse1 can influence prion propagation through a variety of different mechanisms.

摘要

酵母 Hsp110 伴侣蛋白 Sse1 是一种保守蛋白,是非典型的 Hsp70 蛋白超家族成员。Sse1 影响细胞对热应激的反应,并且还被牵连在酵母朊病毒的传播中发挥作用。Sse1 似乎可以通过直接或间接影响典型胞质 Hsp70 的核苷酸交换活性,在体内发挥其作用。我们使用基于无法传播酵母 [PSI(+)] 朊病毒的遗传筛选,鉴定了 13 种新的 Sse1 突变体,这些突变体预计通过多种不同的机制改变伴侣蛋白的功能。这些新的 Sse1 突变体不仅在传播和治愈酵母朊病毒的能力上发生改变,而且在高温下生长的能力上也发生不同程度的改变。已知影响酵母朊病毒传播的伴侣蛋白的表达水平在 Sse1 突变体中没有改变,这表明观察到的表型效应是由这些突变体的直接功能改变引起的。将突变体定位到 Sse1 晶体结构上表明,Sse1 中的一个以上功能改变可能导致朊病毒传播和在高温下功能的改变。所有分离的 Sse1 突变体在正常生长条件下都提供细胞的必需功能,这进一步表明,体内必需的伴侣蛋白功能至少在某种程度上可以与朊病毒的传播分离。我们的结果表明,Sse1 可以通过多种不同的机制影响朊病毒的传播。

https://cdn.ncbi.nlm.nih.gov/pmc/blobs/ea3d/3737180/8628cc1535cd/1409f1.jpg

文献AI研究员

20分钟写一篇综述,助力文献阅读效率提升50倍。

立即体验

用中文搜PubMed

大模型驱动的PubMed中文搜索引擎

马上搜索

文档翻译

学术文献翻译模型,支持多种主流文档格式。

立即体验