Suppr超能文献

恶性疟原虫热休克蛋白70-z(Hsp70-z)是一种Hsp110同源物,具有独立的伴侣活性,并以核苷酸依赖的方式与热休克蛋白70-1(Hsp70-1)相互作用。

Plasmodium falciparum Hsp70-z, an Hsp110 homologue, exhibits independent chaperone activity and interacts with Hsp70-1 in a nucleotide-dependent fashion.

作者信息

Zininga Tawanda, Achilonu Ikechukwu, Hoppe Heinrich, Prinsloo Earl, Dirr Heini W, Shonhai Addmore

机构信息

Department of Biochemistry, University of Venda, Private Bag X5050, Thohoyandou, 0950, South Africa.

Protein Structure-Function Research Unit, School of Molecular and Cell Biology, University of the Witwatersrand, Johannesburg, 2050, South Africa.

出版信息

Cell Stress Chaperones. 2016 May;21(3):499-513. doi: 10.1007/s12192-016-0678-4. Epub 2016 Feb 19.

Abstract

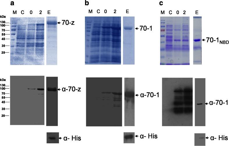
The role of molecular chaperones, among them heat shock proteins (Hsps), in the development of malaria parasites has been well documented. Hsp70s are molecular chaperones that facilitate protein folding. Hsp70 proteins are composed of an N-terminal nucleotide binding domain (NBD), which confers them with ATPase activity and a C-terminal substrate binding domain (SBD). In the ADP-bound state, Hsp70 possesses high affinity for substrate and releases the folded substrate when it is bound to ATP. The two domains are connected by a conserved linker segment. Hsp110 proteins possess an extended lid segment, a feature that distinguishes them from canonical Hsp70s. Plasmodium falciparum Hsp70-z (PfHsp70-z) is a member of the Hsp110 family of Hsp70-like proteins. PfHsp70-z is essential for survival of malaria parasites and is thought to play an important role as a molecular chaperone and nucleotide exchange factor of its cytosolic canonical Hsp70 counterpart, PfHsp70-1. Unlike PfHsp70-1 whose functions are fairly well established, the structure-function features of PfHsp70-z remain to be fully elucidated. In the current study, we established that PfHsp70-z possesses independent chaperone activity. In fact, PfHsp70-z appears to be marginally more effective in suppressing protein aggregation than its cytosol-localized partner, PfHsp70-1. Furthermore, based on coimmunoaffinity chromatography and surface plasmon resonance analyses, PfHsp70-z associated with PfHsp70-1 in a nucleotide-dependent fashion. Our findings suggest that besides serving as a molecular chaperone, PfHsp70-z could facilitate the nucleotide exchange function of PfHsp70-1. These dual functions explain why it is essential for parasite survival.

摘要

分子伴侣,其中包括热休克蛋白(Hsps),在疟原虫发育中的作用已有充分记载。Hsp70是促进蛋白质折叠的分子伴侣。Hsp70蛋白由一个N端核苷酸结合结构域(NBD)组成,该结构域赋予它们ATP酶活性,以及一个C端底物结合结构域(SBD)。在ADP结合状态下,Hsp70对底物具有高亲和力,并在与ATP结合时释放折叠后的底物。这两个结构域由一个保守的连接片段相连。Hsp110蛋白具有一个延伸的盖子片段,这一特征使其与典型的Hsp70有所区别。恶性疟原虫Hsp70-z(PfHsp70-z)是Hsp70样蛋白的Hsp110家族成员。PfHsp70-z对疟原虫的存活至关重要,并且被认为作为其胞质典型Hsp70对应物PfHsp70-1的分子伴侣和核苷酸交换因子发挥重要作用。与功能已相当明确的PfHsp70-1不同,PfHsp70-z的结构-功能特征仍有待充分阐明。在本研究中,我们确定PfHsp70-z具有独立的伴侣活性。事实上,PfHsp70-z在抑制蛋白质聚集方面似乎比其定位于胞质的伙伴PfHsp70-1略有效。此外,基于共免疫亲和色谱和表面等离子体共振分析,PfHsp70-z以核苷酸依赖的方式与PfHsp70-1结合。我们的发现表明,除了作为分子伴侣外,PfHsp70-z还可以促进PfHsp70-1的核苷酸交换功能。这两种功能解释了它对寄生虫存活至关重要的原因。

https://cdn.ncbi.nlm.nih.gov/pmc/blobs/1ba4/4837182/50b8d4c85cb6/12192_2016_678_Fig1_HTML.jpg

文献AI研究员

20分钟写一篇综述,助力文献阅读效率提升50倍。

立即体验

用中文搜PubMed

大模型驱动的PubMed中文搜索引擎

马上搜索

文档翻译

学术文献翻译模型,支持多种主流文档格式。

立即体验