Suppr超能文献

表达 IL-23 和 p35 的溶瘤腺病毒引发 IFN-γ 和 TNF-α 共产生的 T 细胞介导的抗肿瘤免疫。

Oncolytic adenovirus expressing IL-23 and p35 elicits IFN-γ- and TNF-α-co-producing T cell-mediated antitumor immunity.

机构信息

Department of Bioengineering, College of Engineering, Hanyang University, Seoul, Korea.

出版信息

PLoS One. 2013 Jul 3;8(7):e67512. doi: 10.1371/journal.pone.0067512. Print 2013.

Abstract

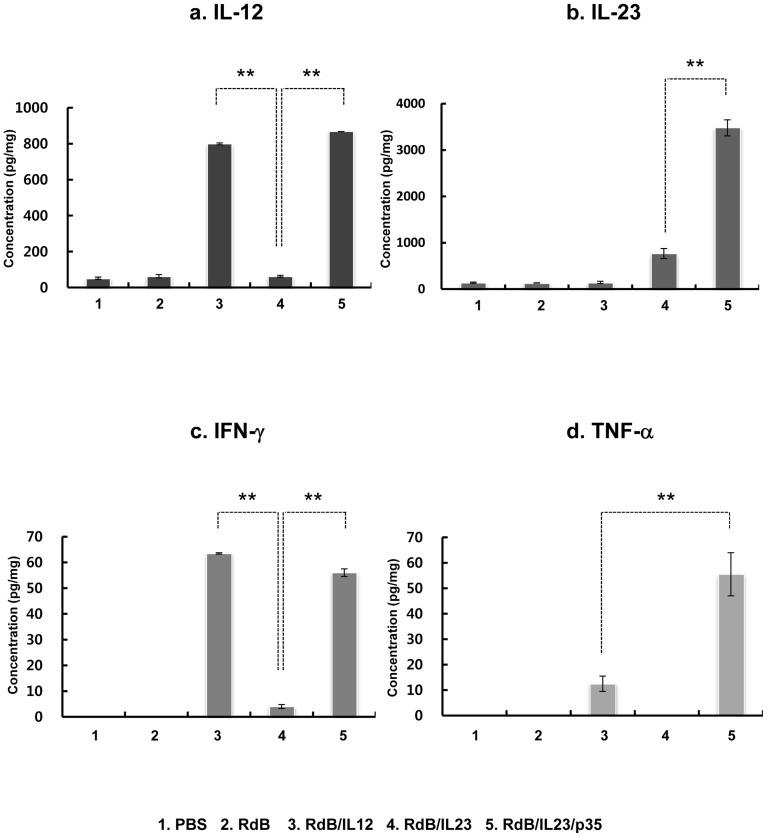
Cytokine immunogene therapy is a promising strategy for cancer treatment. Interleukin (IL)-12 boosts potent antitumor immunity by inducing T helper 1 cell differentiation and stimulating cytotoxic T lymphocyte and natural killer cell cytotoxicity. IL-23 has been proposed to have similar but not overlapping functions with IL-12 in inducing Th1 cell differentiation and antitumor immunity. However, the therapeutic effects of intratumoral co-expression of IL-12 and IL-23 in a cancer model have yet to be investigated. Therefore, we investigated for the first time an effective cancer immunogene therapy of syngeneic tumors via intratumoral inoculation of oncolytic adenovirus co-expressing IL-23 and p35, RdB/IL23/p35. Intratumoral administration of RdB/IL23/p35 elicited strong antitumor effects and increased survival in a murine B16-F10 syngeneic tumor model. The levels of IL-12, IL-23, interferon-γ (IFN-γ), and tumor necrosis factor-α (TNF-α) were elevated in RdB/IL23/p35-treated tumors. Moreover, the proportion of regulatory T cells was markedly decreased in mice treated with RdB/IL23/p35. Consistent with these data, mice injected with RdB/IL23/p35 showed massive infiltration of CD4(+) and CD8(+) T cells into the tumor as well as enhanced induction of tumor-specific immunity. Importantly, therapeutic mechanism of antitumor immunity mediated by RdB/IL23/p35 is associated with the generation and recruitment of IFN-γ- and TNF-α-co-producing T cells in tumor microenvironment. These results provide a new insight into therapeutic mechanisms of IL-12 plus IL-23 and provide a potential clinical cancer immunotherapeutic agent for improved antitumor immunity.

摘要

细胞因子免疫基因治疗是癌症治疗的一种有前途的策略。白细胞介素(IL)-12 通过诱导 T 辅助 1 细胞分化和刺激细胞毒性 T 淋巴细胞和自然杀伤细胞的细胞毒性来增强有效的抗肿瘤免疫。白细胞介素 23(IL-23)被提出具有与白细胞介素 12(IL-12)相似但不重叠的功能,可诱导 Th1 细胞分化和抗肿瘤免疫。然而,在癌症模型中,肿瘤内共表达白细胞介素 12 和白细胞介素 23 的治疗效果尚未得到研究。因此,我们首次通过肿瘤内接种共表达白细胞介素 23 和 p35 的溶瘤腺病毒 RdB/IL23/p35 对同源肿瘤进行了有效的癌症免疫基因治疗研究。RdB/IL23/p35 瘤内给药在小鼠 B16-F10 同源肿瘤模型中引发了强烈的抗肿瘤作用并提高了存活率。在 RdB/IL23/p35 治疗的肿瘤中,白细胞介素 12、白细胞介素 23、干扰素-γ(IFN-γ)和肿瘤坏死因子-α(TNF-α)的水平升高。此外,用 RdB/IL23/p35 治疗的小鼠中调节性 T 细胞的比例明显降低。与这些数据一致,用 RdB/IL23/p35 注射的小鼠显示大量 CD4(+)和 CD8(+)T 细胞浸润肿瘤,并增强了肿瘤特异性免疫的诱导。重要的是,RdB/IL23/p35 介导的抗肿瘤免疫的治疗机制与肿瘤微环境中 IFN-γ 和 TNF-α 共产生 T 细胞的产生和募集有关。这些结果为 IL-12 加 IL-23 的治疗机制提供了新的见解,并为改善抗肿瘤免疫提供了一种潜在的临床癌症免疫治疗药物。

https://cdn.ncbi.nlm.nih.gov/pmc/blobs/2d6a/3701076/d97bd499d5f8/pone.0067512.g001.jpg

文献AI研究员

20分钟写一篇综述,助力文献阅读效率提升50倍。

立即体验

用中文搜PubMed

大模型驱动的PubMed中文搜索引擎

马上搜索

文档翻译

学术文献翻译模型,支持多种主流文档格式。

立即体验