Suppr超能文献

PAK1 在胃食管结合部腺癌中的预后意义及药物治疗靶点的相关影响。

Prognostic importance and therapeutic implications of PAK1, a drugable protein kinase, in gastroesophageal junction adenocarcinoma.

机构信息

Department of Integrative Oncology, Affiliated Cancer Hospital of Shantou University Medical College, Shantou, China ; Cancer Research Center, Shantou University Medical College, Shantou, China.

出版信息

PLoS One. 2013 Nov 13;8(11):e80665. doi: 10.1371/journal.pone.0080665. eCollection 2013.

Abstract

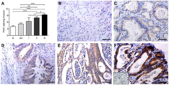
Gastroesophageal junction (GEJ) adenocarcinoma is a lethal cancer with rising incidence, yet the molecular biomarkers that have strong prognostic impact and also hold great therapeutic promise remain elusive. We used a data mining approach and identified the p21 protein-activated kinase 1 (PAK1), an oncogene and drugable protein kinase, to be among the most promising targets for GEJ adenocarcinoma. Immunoblot analysis and data mining demonstrated that PAK1 protein and mRNA were upregulated in cancer tissues compared to the noncancerous tissues. Immunohistochemistry revealed PAK1 overexpression in 72.6% of primary GEJ adenocarcinomas (n = 113). A step-wise increase in PAK1 levels was noted from paired normal epithelium, to atypical hyperplasia and adenocarcinoma. PAK1 overexpression in tumor was associated with lymph node (LN) metastasis (P<0.001), advanced tumor stage (P<0.001), large tumor size (P = 0.006), residual surgical margin (P = 0.033), and unfavorable overall survival (P<0.001). Multivariate analysis showed PAK1 overexpression is an independent high-risk prognostic predictor (P<0.001). Collectively, PAK1 is overexpressed during tumorigenic progression and its upregulation correlates with malignant properties mainly relevant to invasion and metastasis. PAK1 expression could serve as a prognostic predictor that holds therapeutic promise for GEJ adenocarcinoma.

摘要

胃食管交界处(GEJ)腺癌是一种致命的癌症,发病率不断上升,但具有强烈预后影响且具有巨大治疗前景的分子生物标志物仍难以捉摸。我们使用数据挖掘方法,确定了 p21 蛋白激活激酶 1(PAK1),一种致癌基因和可用药的蛋白激酶,是 GEJ 腺癌最有前途的靶标之一。免疫印迹分析和数据挖掘表明,与非癌组织相比,PAK1 蛋白和 mRNA 在癌症组织中上调。免疫组织化学显示,72.6%的原发性 GEJ 腺癌(n = 113)中存在 PAK1 过表达。从配对的正常上皮组织到非典型增生和腺癌,PAK1 水平呈逐步升高。肿瘤中 PAK1 的过表达与淋巴结(LN)转移(P<0.001)、晚期肿瘤分期(P<0.001)、肿瘤体积大(P = 0.006)、残留手术切缘(P = 0.033)和不良总生存(P<0.001)相关。多变量分析表明,PAK1 过表达是独立的高风险预后预测因子(P<0.001)。综上所述,PAK1 在肿瘤发生进展过程中过度表达,其上调与主要与侵袭和转移相关的恶性特征相关。PAK1 表达可作为预后预测因子,为 GEJ 腺癌提供治疗前景。

https://cdn.ncbi.nlm.nih.gov/pmc/blobs/dd33/3827444/a90298d89b69/pone.0080665.g001.jpg

文献AI研究员

20分钟写一篇综述,助力文献阅读效率提升50倍。

立即体验

用中文搜PubMed

大模型驱动的PubMed中文搜索引擎

马上搜索

文档翻译

学术文献翻译模型,支持多种主流文档格式。

立即体验