Suppr超能文献

照射后阻断 SDF-1 可抑制大鼠原位脑肿瘤的复发。

Blockade of SDF-1 after irradiation inhibits tumor recurrences of autochthonous brain tumors in rats.

机构信息

Corresponding author: J. Martin Brown, PhD, Division of Radiation and Cancer Biology, Department of Radiation Oncology, Stanford University, A246, 1050A Arastradero Rd, Palo Alto, CA 94304-1334.

出版信息

Neuro Oncol. 2014 Jan;16(1):21-8. doi: 10.1093/neuonc/not149. Epub 2013 Dec 10.

Abstract

BACKGROUND

Tumor irradiation blocks local angiogenesis, forcing any recurrent tumor to form new vessels from circulating cells. We have previously demonstrated that the post-irradiation recurrence of human glioblastomas in the brains of nude mice can be delayed or prevented by inhibiting circulating blood vessel-forming cells by blocking the interaction of CXCR4 with its ligand stromal cell-derived factor (SDF)-1 (CXCL12). In the present study we test this strategy by directly neutralizing SDF-1 in a clinically relevant model using autochthonous brain tumors in immune competent hosts.

METHODS

We used NOX-A12, an l-enantiomeric RNA oligonucleotide that binds and inhibits SDF-1 with high affinity. We tested the effect of this inhibitor on the response to irradiation of brain tumors in rat induced by n-ethyl-N-nitrosourea.

RESULTS

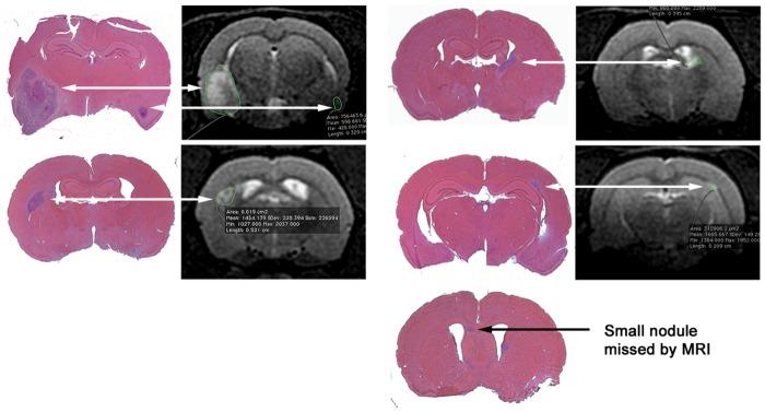
Rats treated in utero with N-ethyl-N-nitrosourea began to die of brain tumors from approximately 120 days of age. We delivered a single dose of whole brain irradiation (20 Gy) on day 115 of age, began treatment with NOX-A12 immediately following irradiation, and continued with either 5 or 20 mg/kg for 4 or 8 weeks, doses and times equivalent to well-tolerated human exposures. We found a marked prolongation of rat life span that was dependent on both drug dose and duration of treatment. In addition we treated tumors only when they were visible by MRI and demonstrated complete regression of the tumors that was not achieved by irradiation alone or with the addition of temozolomide.

CONCLUSIONS

Inhibition of SDF-1 following tumor irradiation is a powerful way of improving tumor response of glioblastoma multiforme.

摘要

背景

肿瘤照射会阻断局部血管生成,迫使任何复发性肿瘤从循环细胞中形成新的血管。我们之前已经证明,通过阻断 CXCR4 与其配体基质细胞衍生因子 (SDF)-1(CXCL12)的相互作用来抑制循环血管生成细胞,可以延迟或预防裸鼠大脑中人类胶质母细胞瘤的放疗后复发。在本研究中,我们使用免疫活性宿主中的同源脑肿瘤在临床相关模型中直接中和 SDF-1 来测试这种策略。

方法

我们使用了 NOX-A12,这是一种与 SDF-1 具有高亲和力的 l-对映体 RNA 寡核苷酸。我们测试了这种抑制剂对 N-乙基-N-亚硝脲诱导的大鼠脑肿瘤对辐射反应的影响。

结果

在子宫内用 N-乙基-N-亚硝脲处理的大鼠从大约 120 天开始死于脑肿瘤。我们在 115 天大时给予单次全脑照射(20 Gy),在照射后立即开始给予 NOX-A12 治疗,并继续给予 5 或 20 mg/kg 的剂量 4 或 8 周,剂量和时间相当于可耐受的人体暴露量。我们发现大鼠的寿命明显延长,这取决于药物剂量和治疗持续时间。此外,我们仅在 MRI 可见肿瘤时进行治疗,并证明了肿瘤的完全消退,这是单独照射或添加替莫唑胺无法实现的。

结论

肿瘤照射后抑制 SDF-1 是提高胶质母细胞瘤多形性肿瘤反应的有效方法。

https://cdn.ncbi.nlm.nih.gov/pmc/blobs/3606/3870826/a320d7e3f31f/not14901.jpg

文献AI研究员

20分钟写一篇综述,助力文献阅读效率提升50倍。

立即体验

用中文搜PubMed

大模型驱动的PubMed中文搜索引擎

马上搜索

文档翻译

学术文献翻译模型,支持多种主流文档格式。

立即体验