Suppr超能文献

3,4-二羟基甲苯是芦丁的一种代谢产物,它通过降低核因子κB(NF-κB)信号通路的激活来抑制脂多糖激活的巨噬细胞中的炎症反应。

3,4-Dihydroxytoluene, a metabolite of rutin, inhibits inflammatory responses in lipopolysaccharide-activated macrophages by reducing the activation of NF-κB signaling.

作者信息

Su Kang-Yi, Yu Chao Yuan, Chen Ya-Ping, Hua Kuo-Feng, Chen Yi-Lin Sophia

机构信息

Department of Biotechnology and Animal Science, National Ilan University, Shen-Lung Road, Ilan 260, Taiwan.

出版信息

BMC Complement Altern Med. 2014 Jan 13;14:21. doi: 10.1186/1472-6882-14-21.

Abstract

BACKGROUND

Saussurea involucrata (Kar. et Kir.) (S. involucrate), is a rare traditional Chinese medicinal herb. Rutin and hispidulin as well as their metabolites are flavonoids of the flavonol type that abound in S. involucrata, which has been reported to inhibit nonoxidative advanced glycation end products which was involved in physiological inflammation. This study aims to investigate the role of 3,4-dihydroxytoluene (DHT), a metabolite of rutin, in inflammatory inhibition and its involved mechanism.

METHODS

This study utilized lipopolysaccharide (LPS) stimulated murine macrophage cell line RAW 264.7 as inflammatory model. The inhibitory effects of DHT were evaluated by the expression level of several inflammation markers such as inducible nitric oxide synthase (iNOS) and cyclooxygenase-2 (COX-2) in RAW264.7 after LPS treatment. In addition, underlying mechanisms, the activation of mitogen-activated protein kinases (MAPKs) and NF-κB, were also investigated.

RESULTS

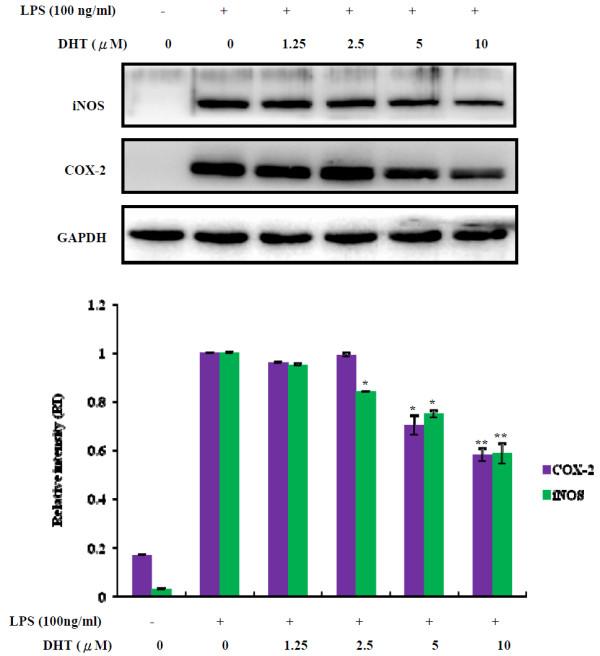
Our results showed that DHT significantly suppressed the LPS-induced production of nitric oxide (NO), iNOS, and COX-2 in a dose-dependent manner without cytotoxicity. DHT also reduced the generation of proinflammatory cytokines majorly in tumor necrosis factor (TNF)-α and minor in interleukin (IL)-1β and IL-6. In addition, LPS-stimulated I-κBα phosphorylation and degradation followed by translocation of the nuclear factor κB (NF-kB)-p65 from the cytoplasm to the nucleus were attenuated after DHT treatment.

CONCLUSIONS

Combined, the results suggest that DHT might exert anti-inflammatory effects in vitro in LPS stimulated RAW 264.7 macrophages and is potential in adjuvant treatment in inflammation disease.

摘要

背景

新疆雪莲(Saussurea involucrata (Kar. et Kir.))是一种珍稀的传统中药材。芦丁和粗毛豚草素及其代谢产物是黄酮醇类黄酮,在新疆雪莲中含量丰富,据报道其可抑制参与生理性炎症的非氧化晚期糖基化终产物。本研究旨在探讨芦丁代谢产物3,4 - 二羟基甲苯(DHT)在炎症抑制中的作用及其相关机制。

方法

本研究以脂多糖(LPS)刺激的小鼠巨噬细胞系RAW 264.7作为炎症模型。通过LPS处理后RAW264.7中几种炎症标志物如诱导型一氧化氮合酶(iNOS)和环氧化酶 - 2(COX - 2)的表达水平来评估DHT的抑制作用。此外,还研究了潜在机制,即丝裂原活化蛋白激酶(MAPKs)和核因子κB(NF - κB)的激活情况。

结果

我们的结果表明,DHT以剂量依赖的方式显著抑制LPS诱导的一氧化氮(NO)、iNOS和COX - 2的产生,且无细胞毒性。DHT还主要降低了促炎细胞因子肿瘤坏死因子(TNF) - α的产生,对白细胞介素(IL) - 1β和IL - 6的降低作用较小。此外,DHT处理后,LPS刺激的I - κBα磷酸化和降解以及随后核因子κB(NF - kB) - p65从细胞质向细胞核的转位均减弱。

结论

综合来看,结果表明DHT可能在体外对LPS刺激的RAW 264.7巨噬细胞发挥抗炎作用,在炎症疾病的辅助治疗中具有潜力。

https://cdn.ncbi.nlm.nih.gov/pmc/blobs/850e/3900474/6eab830e4110/1472-6882-14-21-1.jpg

文献AI研究员

20分钟写一篇综述,助力文献阅读效率提升50倍。

立即体验

用中文搜PubMed

大模型驱动的PubMed中文搜索引擎

马上搜索

文档翻译

学术文献翻译模型,支持多种主流文档格式。

立即体验