Suppr超能文献

CD99 的下调和人类白细胞抗原 II 类的上调促进骨肉瘤患者肿瘤恶化和生存不良。

Downregulation of CD99 and upregulation of human leukocyte antigen class II promote tumor aggravation and poor survival in patients with osteosarcomas.

机构信息

Department of Orthopaedics, the second Hospital of Huai'an city Affiliated to Xuzhou Medical College and the second Hospital of Huai'an city, Huai'an, People's Republic of China.

出版信息

Onco Targets Ther. 2014 Mar 24;7:477-84. doi: 10.2147/OTT.S54765. eCollection 2014.

Abstract

BACKGROUND

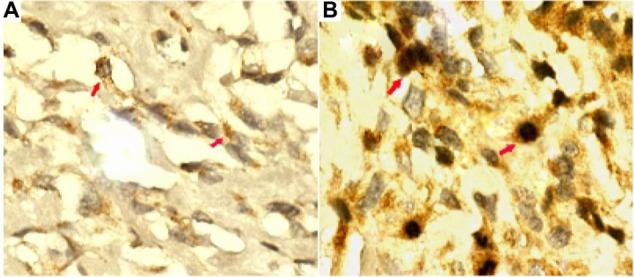
CD99 is involved in the intracellular transport of human leukocyte antigen class II (HLA-II) protein. The aim of this study was to clarify the clinical value of CD99 and HLA-II expression in primary osteosarcoma.

METHODS

One hundred and thirty pairs of osteosarcoma and matched noncancerous bone tissues were evaluated by immunohistochemistry for CD99 and HLA-II expression.

RESULTS

Compared with the noncancerous bone tissues, the expression levels of CD99 (tumor versus normal: 2.96±0.09 versus 5.89±1.26, P<0.001) and HLA-II (tumor versus normal: 5.01±1.39 versus 1.92±0.06, P<0.001) proteins were respectively downregulated and upregulated in osteosarcoma tissues. CD99 and HLA-II were highly expressed in 49/130 (37.69%) and 107/130 (82.31%) of osteosarcoma tissues, respectively. In addition, the osteosarcoma patients with downregulation of CD99 and upregulation of HLA-II more frequently showed the presence of metastasis and recurrence and poor response to chemotherapy. Moreover, there was a negative correlation between CD99 and HLA-II expression in osteosarcoma tissues (r=-0.69, P=0.01). The patients with low CD99 expression correlated with poor prognosis of osteosarcoma, as opposed to HLA-II. Patients with CD99-low/HLA-II-high expression had the lowest overall and disease-free survival rates, and conjoined expression of CD99/HLA-II was an independent prognostic indicator of osteosarcoma.

CONCLUSION

These findings suggest for the first time that CD99 downregulation or HLA-II upregulation may be an important feature of human osteosarcoma. The combined detection of CD99/HLA-II coexpression may present a predictive and prognostic indicator in osteosarcoma.

摘要

背景

CD99 参与人类白细胞抗原 II 类(HLA-II)蛋白的细胞内转运。本研究旨在阐明 CD99 和 HLA-II 在原发性骨肉瘤中的临床价值。

方法

采用免疫组织化学法检测 130 对骨肉瘤和配对非癌骨组织中 CD99 和 HLA-II 的表达。

结果

与非癌骨组织相比,骨肉瘤组织中 CD99(肿瘤与正常:2.96±0.09 与 5.89±1.26,P<0.001)和 HLA-II(肿瘤与正常:5.01±1.39 与 1.92±0.06,P<0.001)蛋白的表达水平分别下调和上调。49/130(37.69%)和 107/130(82.31%)的骨肉瘤组织中 CD99 和 HLA-II 高表达。此外,骨肉瘤患者中 CD99 下调和 HLA-II 上调与转移和复发以及对化疗反应不良更为常见。此外,骨肉瘤组织中 CD99 和 HLA-II 的表达呈负相关(r=-0.69,P=0.01)。CD99 低表达与骨肉瘤预后不良相关,而与 HLA-II 相反。CD99 低/HLA-II 高表达的患者总生存率和无病生存率最低,CD99/HLA-II 共表达是骨肉瘤的独立预后指标。

结论

这些发现首次表明 CD99 下调或 HLA-II 上调可能是人类骨肉瘤的一个重要特征。CD99/HLA-II 共表达的联合检测可能是骨肉瘤的预测和预后指标。

https://cdn.ncbi.nlm.nih.gov/pmc/blobs/94b8/3969338/f744ef66e6ce/ott-7-477Fig1.jpg

文献AI研究员

20分钟写一篇综述,助力文献阅读效率提升50倍。

立即体验

用中文搜PubMed

大模型驱动的PubMed中文搜索引擎

马上搜索

文档翻译

学术文献翻译模型,支持多种主流文档格式。

立即体验