Suppr超能文献

前瞻性新辅助分析 PET 成像和曲妥珠单抗耐药机制表明 HIF1 和自噬的作用。

Prospective neoadjuvant analysis of PET imaging and mechanisms of resistance to Trastuzumab shows role of HIF1 and autophagy.

机构信息

Department of Radiotherapy/Oncology, University Hospital of Alexandroupolis, Democritus University of Thrace, Alexandroupolis, Greece.

Department of Pathology, University Hospital of Alexandroupolis, Democritus University of Thrace, Alexandroupolis, Greece.

出版信息

Br J Cancer. 2014 Apr 29;110(9):2209-16. doi: 10.1038/bjc.2014.196. Epub 2014 Apr 10.

Abstract

BACKGROUND

Although Trastuzumab has improved survival of HER2+ breast cancer patients, resistance to the agent pre-exists or develops through the course of therapy. Here we show that a specific metabolism and autophagy-related cancer cell phenotype relates to resistance of HER2+ breast cancer to Trastuzumab and chemotherapy.

METHODS

Twenty-eight patients with locally advanced primary breast cancer were prospectively scheduled to received one cycle of Trastuzumab followed by a new biopsy on day 21, followed by taxol/Trastuzumab chemotherapy for four cycles before surgery. FDG PET/CT scan was used to monitor tumour response. Tissue samples were immunohistochemically analysed for metabolism and autophagy markers.

RESULTS

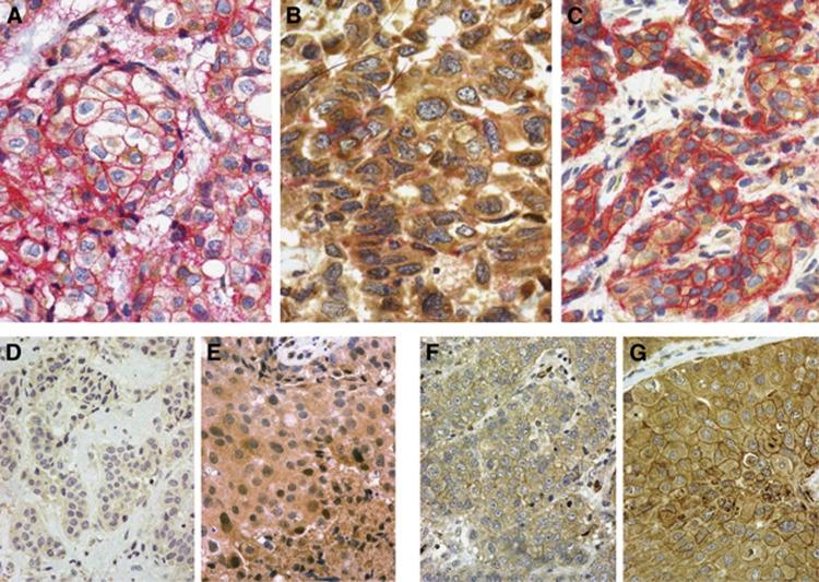
In pre-Trastuzumab biopsies, the LC3A+/HER2+ cell population was correlated with HIF1α expression (P=0.01), while GLUT1 and LC3B expression were correlated with Ki67 proliferation index (P=0.01 and P=0.01, respectively). FDG PET tumour dimensions before therapy were correlated with LC3B expression (P=0.005). Administration of Trastuzumab significantly reduced clinical and PET-detected tumour dimensions (P<0.01). An inverse association of tumour response with the percentage of cells expressing HIF1α at baseline was documented (P=0.01). Administration of Trastuzumab resulted in a decrease of the proliferation index (P=0.004), GLUT1 (P=0.04) and HER2 (P=0.01) expression. In contrast, the percentage of LC3A+/HER2+ cells was increased (P=0.01). High baseline HIF1α expression was the only parameter associated with poorer pathological response to preoperative chemotherapy (P=0.001).

CONCLUSIONS

As the HER2+/LC3A+ phenotype, which often overexpresses HIF1α, is a major subpopulation increasing after therapy with Trastuzumab, LC3A- and HIF1α-targeting therapies should be investigated for the augmentation of anti-HER2 therapy efficacy.

摘要

背景

尽管曲妥珠单抗提高了 HER2+乳腺癌患者的生存率,但该药物的耐药性在治疗过程中预先存在或发展。在这里,我们表明,特定的代谢和自噬相关的癌细胞表型与 HER2+乳腺癌对曲妥珠单抗和化疗的耐药性有关。

方法

28 名局部晚期原发性乳腺癌患者前瞻性地接受了一个周期的曲妥珠单抗治疗,然后在第 21 天进行新的活检,随后在手术前接受紫杉醇/曲妥珠单抗化疗四个周期。FDG PET/CT 扫描用于监测肿瘤反应。组织样本进行代谢和自噬标志物的免疫组织化学分析。

结果

在曲妥珠单抗治疗前的活检中,LC3A+/HER2+细胞群与 HIF1α 表达相关(P=0.01),而 GLUT1 和 LC3B 表达与 Ki67 增殖指数相关(P=0.01 和 P=0.01)。治疗前 FDG PET 肿瘤尺寸与 LC3B 表达相关(P=0.005)。曲妥珠单抗的给药显著降低了临床和 PET 检测到的肿瘤尺寸(P<0.01)。记录到肿瘤反应与基线时表达 HIF1α 的细胞百分比之间存在负相关(P=0.01)。曲妥珠单抗给药导致增殖指数降低(P=0.004)、GLUT1 表达降低(P=0.04)和 HER2 表达降低(P=0.01)。相反,LC3A+/HER2+细胞的百分比增加(P=0.01)。高基线 HIF1α 表达是与术前化疗病理反应较差相关的唯一参数(P=0.001)。

结论

由于 HER2+/LC3A+表型,其经常过表达 HIF1α,是曲妥珠单抗治疗后增加的主要亚群,因此应该研究 LC3A 和 HIF1α 靶向治疗,以增强抗 HER2 治疗的疗效。

https://cdn.ncbi.nlm.nih.gov/pmc/blobs/4800/4007245/c3cf4aa16f7d/bjc2014196f1.jpg

文献AI研究员

20分钟写一篇综述,助力文献阅读效率提升50倍。

立即体验

用中文搜PubMed

大模型驱动的PubMed中文搜索引擎

马上搜索

文档翻译

学术文献翻译模型,支持多种主流文档格式。

立即体验