Suppr超能文献

原发性胃癌导致的精索迟发性转移性腺癌。

Late-onset metastatic adenocarcinoma of the spermatic cord from primary gastric cancer.

作者信息

Kim Jae Heon, Kim Doo Sang, Cho Hyun Deuk, Lee Moon Su

机构信息

Department of Urology, Soonchunhyang University Cheonan Hospital, Soonchunhyang University College of Medicine, 23-20, Bongmyeongdong, Cheonan, Chungnam 330-721, Korea.

出版信息

World J Surg Oncol. 2014 Apr 27;12:128. doi: 10.1186/1477-7819-12-128.

Abstract

BACKGROUND

Metastatic cancers of the paratesticular tissue are very rare; however, the most frequent primary site of spermatic cord metastasis is the gastrointestinal tract.

CASE PRESENTATION

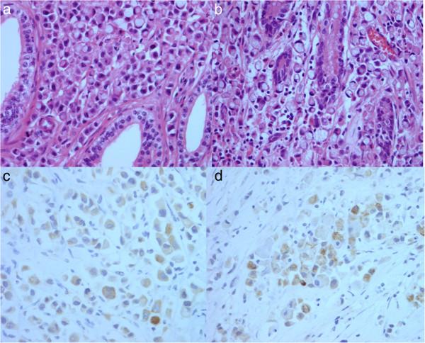
We recently observed two cases of late-onset metastatic adenocarcinoma of the spermatic cord. Both patients complained of groin discomfort with a palpable mass in the scrotum and inguinal area. Radical orchiectomy and adjuvant chemotherapy were performed in both patients. Although the prognosis of patients with metastatic adenocarcinoma of the spermatic cord is typically poor, the prognosis of our patients was favorable after follow-up for 14 to 18 months.

CONCLUSIONS

In patients with groin discomfort or swelling and a history of gastric cancer, metastatic adenocarcinoma should be included in the differential diagnosis for early detection of tumors.

摘要

背景

睾丸旁组织转移性癌非常罕见;然而,精索转移最常见的原发部位是胃肠道。

病例报告

我们最近观察到两例迟发性精索转移性腺癌。两名患者均主诉腹股沟不适,阴囊和腹股沟区可触及肿块。两名患者均接受了根治性睾丸切除术和辅助化疗。尽管精索转移性腺癌患者的预后通常较差,但我们的患者在随访14至18个月后预后良好。

结论

对于有腹股沟不适或肿胀且有胃癌病史的患者,应将转移性腺癌纳入鉴别诊断,以便早期发现肿瘤。

https://cdn.ncbi.nlm.nih.gov/pmc/blobs/6a28/4026119/1411e57c3068/1477-7819-12-128-1.jpg

文献AI研究员

20分钟写一篇综述,助力文献阅读效率提升50倍。

立即体验

用中文搜PubMed

大模型驱动的PubMed中文搜索引擎

马上搜索

文档翻译

学术文献翻译模型,支持多种主流文档格式。

立即体验