Suppr超能文献

精索原发性腺癌:一例报告并文献复习。

Primary adenocarcinoma of the spermatic cord: a case report and review of the literature.

机构信息

Department of Pathology, State Key Laboratory of Oncology in South China, Guangdong Provincial Clinical Research Center for Cancer, Sun Yat-sen University Cancer Center, No. 651, Dongfeng Road East, Guangzhou, 510060, China.

Department of Pathology, Sun Yat-Sen University Cancer Center, Guangzhou, China.

出版信息

Diagn Pathol. 2024 Oct 9;19(1):136. doi: 10.1186/s13000-024-01558-2.

Abstract

BACKGROUND

Primary malignant neoplasms of the spermatic cord are extremely rare, with most reported cases being sarcomas or metastatic carcinomas. However, primary adenocarcinoma of the spermatic cord has not been previously reported.

CASE PRESENTATION

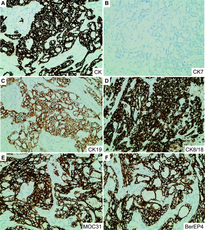
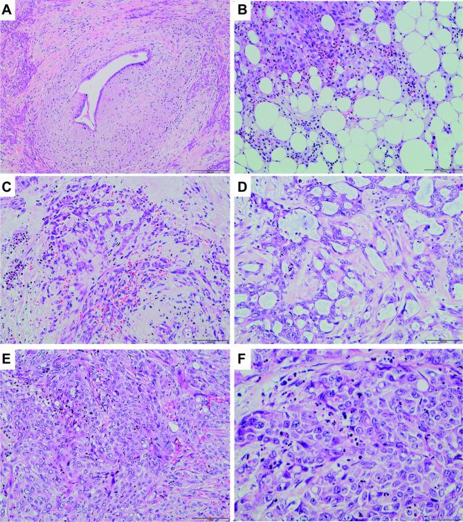
A 34-year-old male with a solid mass in the right spermatic cord, was eventually diagnosed with primary adenocarcinoma. Histological examination revealed a moderately-to-poorly differentiated adenocarcinoma exhibiting glandular, cribriform, or nested growth patterns, characterized by medium to large-sized cells and focal extracellular mucus. Immunohistochemical analysis demonstrated positive staining for CK (AE1/AE3), CK8/18, CK19, MOC31 (EP-CAM), and Ber-EP4, while negative staining was observed for CK7, D2-40, WT-1, MC, PAX-8, NKX3.1, PSA, CEA, TTF-1, and NapsinA. Furthermore, a complete loss of INI-1 expression and consistent BRG1 expression were noted in all tumor cells. Next-generation sequencing revealed SMARCB1 deletion, low tumor mutation burden (TMB-L), and microsatellite stability (MSS).

CONCLUSION

We reported the first case of primary adenocarcinoma of the spermatic cord with SMARCB1 (INI-1) deficiency. This case contributes to the expanding understanding of rare neoplasms and underscores the importance of further research into therapeutic strategies targeting SMARCB1-deficient tumors.

摘要

背景

精索原发性恶性肿瘤极为罕见,大多数报道的病例为肉瘤或转移性癌。然而,精索原发性腺癌尚未见报道。

病例介绍

一名 34 岁男性,右侧精索有一实性肿块,最终被诊断为原发性腺癌。组织学检查显示中-低分化腺癌,呈腺样、筛状或巢状生长模式,特征为中-大型细胞和局灶性细胞外黏液。免疫组织化学分析显示 CK(AE1/AE3)、CK8/18、CK19、MOC31(EP-CAM)和 Ber-EP4 阳性染色,而 CK7、D2-40、WT-1、MC、PAX-8、NKX3.1、PSA、CEA、TTF-1 和 NapsinA 阴性染色。此外,所有肿瘤细胞均表现出 INI-1 表达完全缺失和 BRG1 一致表达。下一代测序显示 SMARCB1 缺失、低肿瘤突变负担(TMB-L)和微卫星稳定性(MSS)。

结论

我们报道了首例精索原发性腺癌伴 SMARCB1(INI-1)缺失的病例。该病例有助于扩大对罕见肿瘤的认识,并强调进一步研究针对 SMARCB1 缺陷型肿瘤的治疗策略的重要性。

https://cdn.ncbi.nlm.nih.gov/pmc/blobs/3778/11463123/7679768f842b/13000_2024_1558_Fig1_HTML.jpg

文献AI研究员

20分钟写一篇综述,助力文献阅读效率提升50倍。

立即体验

用中文搜PubMed

大模型驱动的PubMed中文搜索引擎

马上搜索

文档翻译

学术文献翻译模型,支持多种主流文档格式。

立即体验