Suppr超能文献

上皮样血管内皮细胞瘤:39 例临床病理、免疫组织化学和分子遗传学分析。

Epithelioid Hemangioendothelioma: clinicopathologic, immunhistochemical, and molecular genetic analysis of 39 cases.

机构信息

Department of Pathology, Radboud University Medical Center, P,O, Box 9101, 6500 HB Nijmegen, The Netherlands.

出版信息

Diagn Pathol. 2014 Jul 1;9:131. doi: 10.1186/1746-1596-9-131.

Abstract

BACKGROUND

Epithelioid hemangioendothelioma is a malignant, often indolent vascular tumor which occurs at various anatomic sites. Based on a reciprocal translocation t (1;3)(p36;q25), a consistent WWTR1-CAMTA1 fusion gene has been found. An alternate YAP1-TFE3 fusion has been detected in a small and distinct subset of cases.

METHODS

Thirty-nine tumors, from 24 females and 15 males with an age range 9-85 years, were located in soft tissue (head and neck [8], trunk [5], upper extremities [3], lower extremities [2], mediastinal [1], and paratesticular [1]), lymph node (1), breast (1), skin (2), bone (6), lung (7), and liver (2). The cases were investigated using a panel of immunohistochemical markers. The aforementioned fusion-genes were examined using RT-PCR and/or FISH in order to validate their diagnostic value.

RESULTS

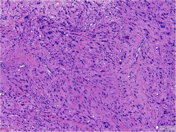
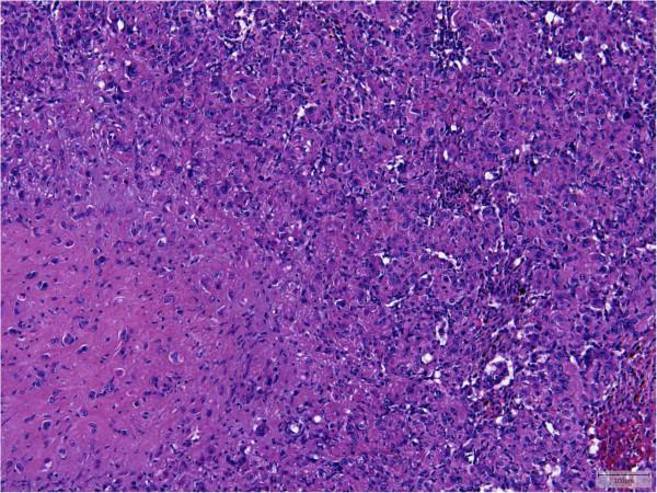
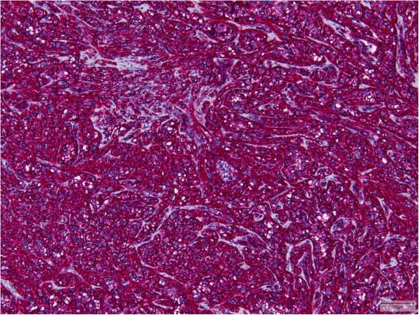
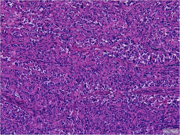
Follow-up available for 17 patients ranged from 3 months to 7 years (median interval 1.5 years). Eleven patients were alive without disease, 2 patients were alive with disease after 1.5 and 2 years, respectively. Four patients died of disease after 4 months (n = 1), 5 months (n = 2), and 1.5 years (n = 1).The size, known for 30 lesions, was >3 cm in 9 of them. Histologically, all lesions had classical features, at least focally. Four tumors counted >3 mitoses/50 HPF. Immunohistochemically, all cases tested stained positive for ERG (21), FLI1 (5) and CD31 (39). CD34 and D2-40 positivity was seen in 81% and 71% of the examined cases, respectively. 11/35 cases expressed pan-keratin and 6/20 cases CK8.18. TFE3 showed a nuclear reaction in 21/24 cases, irrespective of TFE3 rearrangement.Molecular genetically, 35/35 cases revealed one of the fusion genes by FISH and/or RT-PCR with WWTR1-CAMTA1 in 33 cases and YAP1-TFE3 in 2 cases.

CONCLUSIONS

These results demonstrate the high diagnostic value of FISH and RT-PCR in detecting the fusion genes of EHE. The immunohistochemical utility of TFE3 appears questionable in this study.

VIRTUAL SLIDES

The virtual slide(s) for this article can be found here: http://www.diagnosticpathology.diagnomx.eu/vs/4010279141259481.

摘要

背景

上皮样血管内皮细胞瘤是一种恶性、常为惰性的血管肿瘤,可发生于各种解剖部位。基于相互易位 t(1;3)(p36;q25),发现了一致的 WWTR1-CAMTA1 融合基因。在一小部分明显不同的病例中,检测到了另一种 YAP1-TFE3 融合。

方法

39 例肿瘤来自 24 名女性和 15 名男性,年龄 9-85 岁,位于软组织(头颈部[8]、躯干[5]、上肢[3]、下肢[2]、纵隔[1]和副睾[1])、淋巴结(1)、乳腺(1)、皮肤(2)、骨(6)、肺(7)和肝(2)。使用一组免疫组织化学标志物对这些病例进行了研究。使用 RT-PCR 和/或 FISH 检查了上述融合基因,以验证其诊断价值。

结果

17 例患者的随访时间为 3 个月至 7 年(中位间隔 1.5 年)。11 例患者无疾病存活,2 例患者分别在 1.5 年和 2 年后疾病存活。4 例患者分别在 4 个月(n=1)、5 个月(n=2)和 1.5 年后(n=1)死于疾病。已知 30 个病变中的 30 个病变的大小>3cm。组织学上,所有病变至少局灶性地具有典型特征。4 个肿瘤计数>3/50 HPF 的有丝分裂。免疫组织化学检查,所有病例均检测到 ERG(21)、FLI1(5)和 CD31(39)阳性。CD34 和 D2-40 的阳性率分别为 81%和 71%。35/35 例表达泛角蛋白,20/20 例 CK8.18。24 例中的 21 例 TFE3 显示核反应,不论 TFE3 重排如何。分子遗传学上,35/35 例通过 FISH 和/或 RT-PCR 检测到融合基因,其中 WWTR1-CAMTA1 融合基因在 33 例中,YAP1-TFE3 融合基因在 2 例中。

结论

这些结果表明 FISH 和 RT-PCR 在检测 EHE 的融合基因方面具有很高的诊断价值。在这项研究中,TFE3 的免疫组织化学效用似乎值得怀疑。

https://cdn.ncbi.nlm.nih.gov/pmc/blobs/71be/4100035/39bf6ec09c8a/1746-1596-9-131-1.jpg

文献AI研究员

20分钟写一篇综述,助力文献阅读效率提升50倍。

立即体验

用中文搜PubMed

大模型驱动的PubMed中文搜索引擎

马上搜索

文档翻译

学术文献翻译模型,支持多种主流文档格式。

立即体验