Suppr超能文献

伴有TFE3基因易位的上皮样血管内皮瘤可能与CAMTA1基因重排同时存在。

Epithelioid hemangioendotheliomas with TFE3 gene translocations are compossible with CAMTA1 gene rearrangements.

作者信息

Lee Seok Joo, Yang Woo Ick, Chung Woo-Suk, Kim Sang Kyum

机构信息

Department of Pathology, Yonsei University Medical Center, Seoul, South Korea.

Department of Diagnostic Radiology, Konyang University Hospital, Daejeon, South Korea.

出版信息

Oncotarget. 2016 Feb 16;7(7):7480-8. doi: 10.18632/oncotarget.7060.

Abstract

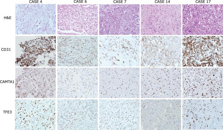
Epithelioid hemangioendotheliomas (EHEs) are vascular tumors of intermediate malignancy that can undergo high-grade malignant transformations. EHEs have been characterized by tumor-specific WW domain-containing transcription regulator 1(WWTR1)-calmodulin-binding transcription activator 1 (CAMTA1) translocations, and recently, a novel Yes-associated protein 1 (YAP1)-transcription factor E3 (TFE3) gene fusion was identified in EHEs. In this study, we examined the expression levels of TFE3 and CAMTA1 via immunohistochemical staining and identified chromosomal alterations using fluorescence in situ hybridization (FISH) assays and RT-PCR tests. Although all of the EHEs were CAMTA1-positive in immunohistochemical staining, only five out of 18 EHEs (27.78%) positively expressed nuclear TFE3. The five TFE3-positive EHEs exhibited TFE3 gene break-apart in FISH assays. YAP1-TFE3 gene fusions were confirmed by RT-PCR. Interestingly, we observed CAMTA1 gene break-apart in all of the five TFE3-positive EHEs via FISH assays, and four out of the five TFE3-positive EHEs exhibited WWTR1-CAMTA1 gene fusions via RT-PCR. These results indicate that these two chromosomal alterations are not mutually exclusive but compossible in EHEs. Finally, primary tumor sites in TFE3-positive EHEs consistently contained single masses (P = 0.0359) with larger sizes (P = 0.0550) compared to TFE3-negative EHEs. Similar to previous reports, we observed well-formed vessels more frequently in TFE3-positive EHEs than in TFE3-negative EHEs (P = 0.0441). In addition, TFE3-positive EHEs tended to more frequently demonstrate high-grade nuclear atypia (P = 0.0654) and hypercellularity (P=0.0987) than TFE3-negative EHEs. Thus, we have now established two clinically distinct subgroups of EHEs: TFE3-positive and TFE3-negative EHEs.

摘要

上皮样血管内皮瘤(EHE)是一种具有中等恶性程度的血管肿瘤,可发生高级别恶性转化。EHE的特征是具有肿瘤特异性的含WW结构域的转录调节因子1(WWTR1)-钙调蛋白结合转录激活因子1(CAMTA1)易位,最近,在EHE中发现了一种新的Yes相关蛋白1(YAP1)-转录因子E3(TFE3)基因融合。在本研究中,我们通过免疫组织化学染色检测了TFE3和CAMTA1的表达水平,并使用荧光原位杂交(FISH)分析和逆转录聚合酶链反应(RT-PCR)检测确定了染色体改变。尽管所有EHE在免疫组织化学染色中均为CAMTA1阳性,但18例EHE中只有5例(27.78%)核TFE3呈阳性表达。这5例TFE3阳性的EHE在FISH分析中表现出TFE3基因断裂。RT-PCR证实了YAP1-TFE3基因融合。有趣的是,通过FISH分析,我们在所有5例TFE3阳性的EHE中均观察到CAMTA1基因断裂,并且5例TFE3阳性的EHE中有4例通过RT-PCR表现出WWTR1-CAMTA1基因融合。这些结果表明,这两种染色体改变并非相互排斥,而是在EHE中可能同时存在。最后,与TFE3阴性的EHE相比,TFE3阳性的EHE的原发肿瘤部位始终包含单个肿块(P = 0.0359),且尺寸更大(P = 0.0550)。与先前的报道相似,我们观察到TFE3阳性的EHE中形成良好的血管比TFE3阴性的EHE更常见(P = 0.0441)。此外,TFE3阳性的EHE比TFE3阴性的EHE更倾向于频繁出现高级别核异型性(P = 0.0654)和细胞增多(P = 0.0987)。因此,我们现在已经建立了EHE的两个临床不同亚组:TFE3阳性和TFE3阴性的EHE。

https://cdn.ncbi.nlm.nih.gov/pmc/blobs/deb0/4884933/58678753014f/oncotarget-07-7480-g001.jpg

文献AI研究员

20分钟写一篇综述,助力文献阅读效率提升50倍。

立即体验

用中文搜PubMed

大模型驱动的PubMed中文搜索引擎

马上搜索

文档翻译

学术文献翻译模型,支持多种主流文档格式。

立即体验