Suppr超能文献

靶向急性髓系白血病细胞系中Bcl-2的新型2-氨基色烯腈的合成与表征

Synthesis and characterization of novel 2-amino-chromene-nitriles that target Bcl-2 in acute myeloid leukemia cell lines.

作者信息

Keerthy Hosadurga K, Garg Manoj, Mohan Chakrabhavi D, Madan Vikas, Kanojia Deepika, Shobith Rangappa, Nanjundaswamy Shivananju, Mason Daniel J, Bender Andreas, Rangappa Kanchugarakoppal S, Koeffler H Phillip

机构信息

Laboratory of Chemical Biology, Department of Chemistry, Bangalore University, Bangalore, India.

Genomic Oncology Programme, Cancer Science Institute of Singapore, National University of Singapore, Singapore, Singapore.

出版信息

PLoS One. 2014 Sep 30;9(9):e107118. doi: 10.1371/journal.pone.0107118. eCollection 2014.

Abstract

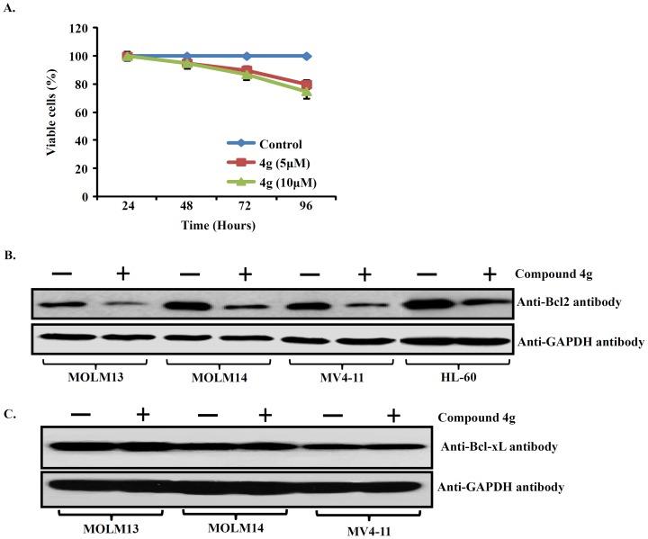
The anti-apoptotic protein Bcl-2 is a well-known and attractive therapeutic target for cancer. In the present study the solution-phase T3P-DMSO mediated efficient synthesis of 2-amino-chromene-3-carbonitriles from alcohols, malanonitrile and phenols is reported. These novel 2-amino-chromene-3-carbonitriles showed cytotoxicity in human acute myeloid leukemia (AML) cell lines. Compound 4 g was found to be the most bioactive, decreasing growth and increasing apoptosis of AML cells. Moreover, compound 4 g (at a concentration of 5 µM) increased the G2/M and sub-G1 (apoptosis) phases of AML cells. The AML cells treated with compound 4 g exhibited decreased levels of Bcl-2 and increased levels of caspase-9. In silico molecular interaction analysis showed that compound 4 g shared a similar global binding motif with navitoclax (another small molecule that binds Bcl-2), however compound 4 g occupies a smaller volume within the P2 hot spot of Bcl-2. The intermolecular π-stacking interaction, direct electrostatic interactions, and docking energy predicted for 4 g in complex with Bcl-2 suggest a strong affinity of the complex, rendering 4 g as a promising Bcl-2 inhibitor for evaluation as a new anticancer agent.

摘要

抗凋亡蛋白Bcl-2是一种著名且具有吸引力的癌症治疗靶点。在本研究中,报道了在溶液相中T3P-DMSO介导下由醇、丙二腈和酚高效合成2-氨基色烯-3-腈。这些新型的2-氨基色烯-3-腈在人急性髓系白血病(AML)细胞系中显示出细胞毒性。发现化合物4g具有最强的生物活性,可抑制AML细胞生长并增加其凋亡。此外,化合物4g(浓度为5μM)可增加AML细胞的G2/M期和亚G1期(凋亡期)。用化合物4g处理的AML细胞中Bcl-2水平降低,caspase-9水平升高。计算机模拟分子相互作用分析表明,化合物4g与navitoclax(另一种与Bcl-2结合的小分子)具有相似的整体结合基序,然而化合物4g在Bcl-2的P2热点区域内占据的体积较小。预测化合物4g与Bcl-2形成复合物时的分子间π-堆积相互作用、直接静电相互作用和对接能量表明该复合物具有很强的亲和力,使4g成为一种有前景的Bcl-2抑制剂,有望作为新型抗癌药物进行评估。

https://cdn.ncbi.nlm.nih.gov/pmc/blobs/33fa/4182326/b35f333d5a36/pone.0107118.g001.jpg

文献AI研究员

20分钟写一篇综述,助力文献阅读效率提升50倍。

立即体验

用中文搜PubMed

大模型驱动的PubMed中文搜索引擎

马上搜索

文档翻译

学术文献翻译模型,支持多种主流文档格式。

立即体验