Suppr超能文献

凋亡抑制蛋白 MCL-1 和 BCL-2 过表达对 MLL-AF9 AML 小鼠发病机制及治疗的影响。

Impact of elevated anti-apoptotic MCL-1 and BCL-2 on the development and treatment of MLL-AF9 AML in mice.

机构信息

Walter and Eliza Hall Institute of Medical Research, Melbourne, Victoria, 3052, Australia.

Department of Medical Biology, University of Melbourne, Melbourne, Victoria, 3010, Australia.

出版信息

Cell Death Differ. 2019 Jul;26(7):1316-1331. doi: 10.1038/s41418-018-0209-1. Epub 2018 Nov 23.

Abstract

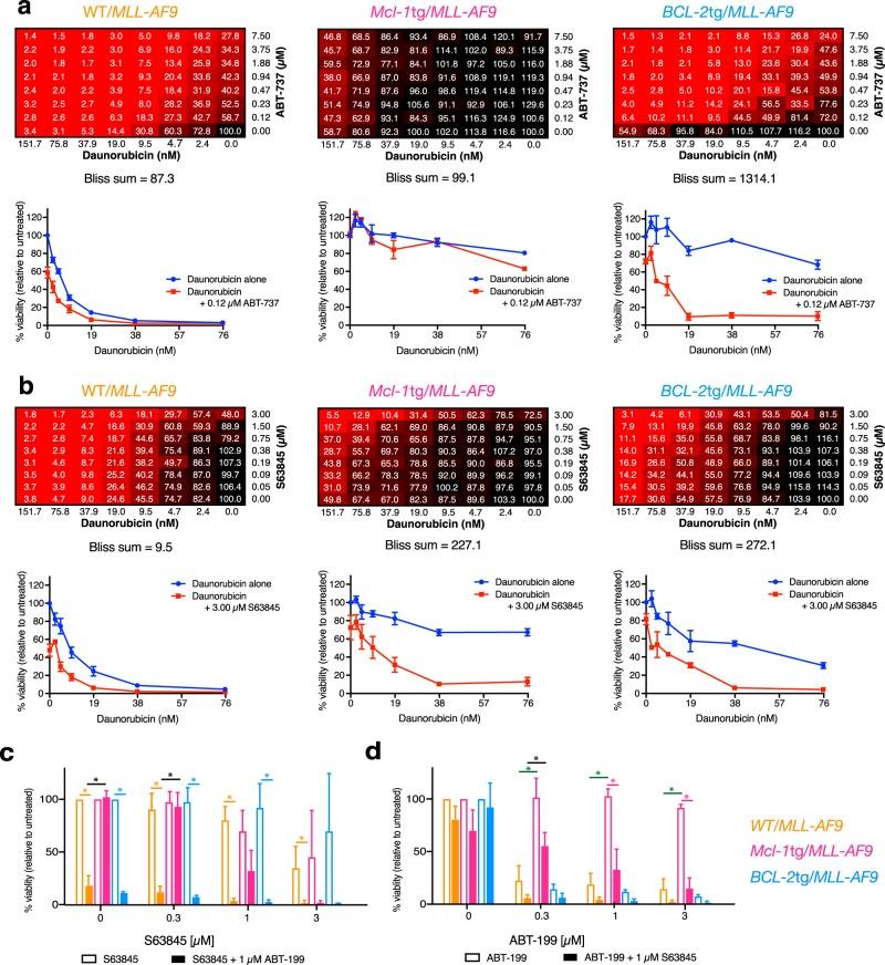
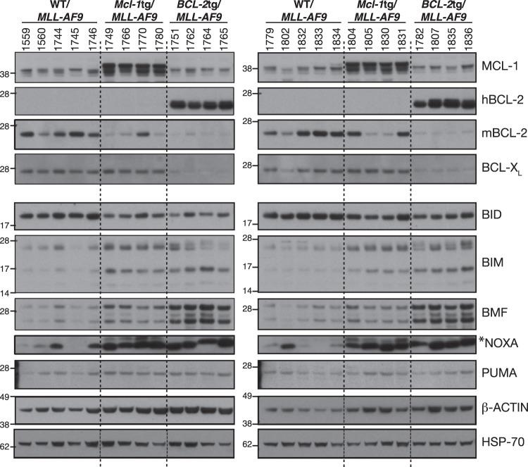
Many acute myeloid leukaemias (AMLs) express high levels of BCL-2 and MCL-1, especially after therapy. To test the impact of these anti-apoptotic proteins on AML development and treatment, we used haemopoietic reconstitution to generate MLL-AF9 AMLs expressing BCL-2 or Mcl-1 transgenes. AMLs with elevated BCL-2 or MCL-1 had a higher proportion of mature myeloid cells but, like conventional MLL-AF9 AMLs, were readily transplantable. Short-term cell lines established from multiple primary AMLs of each genotype were tested in vitro for susceptibility to chemotherapeutics currently used for treating AML (daunorubicin, etoposide, cytarabine); the proteasome inhibitor bortezomib; CDK7/9 inhibitors; and BH3 mimetics, which bind and inhibit pro-survival proteins. The BH3 mimetics tested, alone and in combination with the other drugs, were: ABT-737 which, like its clinical counterpart navitoclax, targets BCL-2, BCL-X and BCL-W; BCL-2-specific ABT-199 (venetoclax); BCL-X-specific A-1331852; and S63845, a new MCL-1-specific BH3 mimetic. As single agents, daunorubicin and bortezomib had the greatest efficacy. Elevated MCL-1 or BCL-2 reduced sensitivity to daunorubicin but, surprisingly, not to bortezomib. MCL-1 markedly enhanced resistance to ABT-737 and ABT-199 but not S63845, and BCL-2 increased resistance to S63845 but not to ABT-737 or ABT-199. Notable synergies were achieved by combining BH3 mimetics with daunorubicin: S63845 increased the sensitivity of both MCL-1 and BCL-2 overexpressing MLL-AF9 AMLs, and ABT-737 aided in killing those overexpressing BCL-2. Synergy between daunorubicin and ABT-199 was also apparent in vivo, although not curative. Impressive synergistic responses were achieved for human MLL-fusion AML cell lines treated with daunorubicin plus either ABT-737, ABT-199 or S63845, and with ABT-199 plus S63845, with or without daunorubicin. Our data suggest that AML patients may benefit from combining conventional cytotoxic drugs with BH3 mimetics targeting BCL-2 or MCL-1 or, if tolerated, both these agents.

摘要

许多急性髓系白血病(AML)表达高水平的 BCL-2 和 MCL-1,尤其是在治疗后。为了测试这些抗凋亡蛋白对 AML 发展和治疗的影响,我们使用造血重建来产生表达 BCL-2 或 Mcl-1 转基因的 MLL-AF9 AML。表达升高的 BCL-2 或 MCL-1 的 AML 具有更高比例的成熟髓样细胞,但与常规的 MLL-AF9 AML 一样,易于移植。从每种基因型的多个原发性 AML 中建立的短期细胞系在体外进行了对目前用于治疗 AML 的化疗药物(柔红霉素、依托泊苷、阿糖胞苷);蛋白酶体抑制剂硼替佐米;CDK7/9 抑制剂;和 BH3 模拟物,它们结合并抑制存活蛋白。测试的 BH3 模拟物,单独使用和与其他药物联合使用,包括:ABT-737,与临床药物 navitoclax 一样,靶向 BCL-2、BCL-X 和 BCL-W;BCL-2 特异性 ABT-199(venetoclax);BCL-X 特异性 A-1331852;和 S63845,一种新的 MCL-1 特异性 BH3 模拟物。作为单一药物,柔红霉素和硼替佐米的疗效最大。升高的 MCL-1 或 BCL-2 降低了对柔红霉素的敏感性,但令人惊讶的是,对硼替佐米没有影响。MCL-1 显著增强了对 ABT-737 和 ABT-199 的耐药性,但对 S63845 没有影响,而 BCL-2 增加了对 S63845 的耐药性,但对 ABT-737 或 ABT-199 没有影响。BH3 模拟物与柔红霉素联合使用可获得显著的协同作用:S63845 增加了 MCL-1 和 BCL-2 过表达 MLL-AF9 AML 的敏感性,而 ABT-737 有助于杀死过表达 BCL-2 的细胞。硼替佐米和 ABT-199 之间的协同作用在体内也很明显,尽管不能治愈。用柔红霉素加 ABT-737、ABT-199 或 S63845 处理人 MLL 融合 AML 细胞系,以及用 ABT-199 加 S63845 处理,有或没有柔红霉素,均能获得令人印象深刻的协同反应。我们的数据表明,AML 患者可能受益于将传统细胞毒性药物与靶向 BCL-2 或 MCL-1 的 BH3 模拟物联合使用,如果耐受的话,还可以联合使用这两种药物。

https://cdn.ncbi.nlm.nih.gov/pmc/blobs/310b/6748137/501de57fc0a4/41418_2018_209_Fig1_HTML.jpg

文献AI研究员

20分钟写一篇综述,助力文献阅读效率提升50倍。

立即体验

用中文搜PubMed

大模型驱动的PubMed中文搜索引擎

马上搜索

文档翻译

学术文献翻译模型,支持多种主流文档格式。

立即体验