Suppr超能文献

由乙酰肝素酶产生的可溶性硫酸乙酰肝素片段通过Toll样受体4(TLR-4)触发促炎细胞因子的释放。

Soluble heparan sulfate fragments generated by heparanase trigger the release of pro-inflammatory cytokines through TLR-4.

作者信息

Goodall Katharine J, Poon Ivan K H, Phipps Simon, Hulett Mark D

机构信息

Department of Biochemistry, La Trobe Institute for Molecular Science, La Trobe University, Melbourne, Victoria, Australia; Cooperative Research Centre for Biomarker Translation, Melbourne, Victoria, Australia.

Department of Biochemistry, La Trobe Institute for Molecular Science, La Trobe University, Melbourne, Victoria, Australia.

出版信息

PLoS One. 2014 Oct 8;9(10):e109596. doi: 10.1371/journal.pone.0109596. eCollection 2014.

Abstract

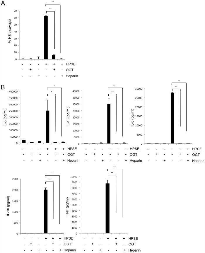
Heparanase is a β-D-endoglucuronidase that cleaves heparan sulfate (HS), facilitating degradation of the extracellular matrix (ECM) and the release of HS-bound biomolecules including cytokines. The remodeling of the ECM by heparanase is important for various physiological and pathological processes, including inflammation, wound healing, tumour angiogenesis and metastasis. Although heparanase has been proposed to facilitate leukocyte migration through degradation of the ECM, its role in inflammation by regulating the expression and release of cytokines has not been fully defined. In this study, the role of heparanase in regulating the expression and release of cytokines from human and murine immune cells was examined. Human peripheral blood mononuclear cells treated ex vivo with heparanase resulted in the release of a range of pro-inflammatory cytokines including IL-1β, IL-6, IL-8, IL-10 and TNF. In addition, mouse splenocytes treated ex vivo with heparanase resulted in the release of IL-6, MCP-1 and TNF. A similar pattern of cytokine release was also observed when cells were treated with soluble HS. Furthermore, heparanase-induced cytokine release was abolished by enzymatic-inhibitors of heparanase, suggesting this process is mediated via the enzymatic release of cell surface HS fragments. As soluble HS can signal through the Toll-like receptor (TLR) pathway, heparanase may promote the upregulation of cytokines through the generation of heparanase-cleaved fragments of HS. In support of this hypothesis, mouse spleen cells lacking the key TLR adaptor molecule MyD88 demonstrated an abolition of cytokine release after heparanase stimulation. Furthermore, TLR4-deficient spleen cells showed reduced cytokine release in response to heparanase treatment, suggesting that TLR4 is involved in this response. Consistent with these observations, the pathway involved in cytokine upregulation was identified as being NF-κB-dependent. These data identify a new mechanism for heparanase in promoting the release of pro-inflammatory cytokines that is likely to be important in regulating cell migration and inflammation.

摘要

乙酰肝素酶是一种β-D-内葡萄糖醛酸酶,可切割硫酸乙酰肝素(HS),促进细胞外基质(ECM)降解以及包括细胞因子在内的与HS结合的生物分子的释放。乙酰肝素酶对ECM的重塑对于包括炎症、伤口愈合、肿瘤血管生成和转移在内的各种生理和病理过程都很重要。尽管有人提出乙酰肝素酶通过降解ECM促进白细胞迁移,但其在通过调节细胞因子的表达和释放来参与炎症反应中的作用尚未完全明确。在本研究中,我们检测了乙酰肝素酶在调节人和小鼠免疫细胞中细胞因子表达和释放方面的作用。体外经乙酰肝素酶处理的人外周血单核细胞会释放一系列促炎细胞因子,包括白细胞介素-1β(IL-1β)、白细胞介素-6(IL-6)、白细胞介素-8(IL-8)、白细胞介素-10(IL-10)和肿瘤坏死因子(TNF)。此外,体外经乙酰肝素酶处理的小鼠脾细胞会释放IL-6、单核细胞趋化蛋白-1(MCP-1)和TNF。当细胞用可溶性HS处理时,也观察到了类似的细胞因子释放模式。此外,乙酰肝素酶诱导的细胞因子释放被乙酰肝素酶的酶抑制剂所消除,这表明该过程是通过细胞表面HS片段的酶促释放介导的。由于可溶性HS可通过Toll样受体(TLR)途径发出信号,乙酰肝素酶可能通过生成HS的乙酰肝素酶切割片段来促进细胞因子的上调。为支持这一假设,缺乏关键TLR衔接分子髓样分化因子88(MyD88)的小鼠脾细胞在乙酰肝素酶刺激后细胞因子释放被消除。此外,TLR4缺陷的脾细胞对乙酰肝素酶处理的反应中细胞因子释放减少,这表明TLR4参与了这一反应。与这些观察结果一致,细胞因子上调所涉及的途径被确定为依赖核因子κB(NF-κB)。这些数据确定了乙酰肝素酶促进促炎细胞因子释放的一种新机制,这可能在调节细胞迁移和炎症中起重要作用。

https://cdn.ncbi.nlm.nih.gov/pmc/blobs/e2f4/4190175/4dca746100ed/pone.0109596.g001.jpg

文献AI研究员

20分钟写一篇综述,助力文献阅读效率提升50倍。

立即体验

用中文搜PubMed

大模型驱动的PubMed中文搜索引擎

马上搜索

文档翻译

学术文献翻译模型,支持多种主流文档格式。

立即体验